Sr. Director:
La doxorrubicina es un agente quimioterápico que pertenece al grupo de las antraciclinas, eficaz frente a muchos tumores sólidos o hematológicos, cuyo uso está limitado por sus efectos adversos, sobre todo cardiotoxicidad y mielosupresión. Recientemente se empezó a utilizar la doxorrubicina liposomal pegilada (DLP), que se ha mostrado eficaz en el sarcoma de Kaposi y en el cáncer de ovario reduciendo los efectos adversos, pero con una toxicidad cutánea marcada que actúa como factor limitante de la dosis1. Las reacciones cutáneas habituales son la eritrodisestesia palmo-plantar (síndrome pie-mano)2,3 y la estomatitis, aunque en ocasiones aparecen una erupción folicular difusa o una erupción intertriginosa muy características4,5.
Aportamos un nuevo caso de una erupción intertriginosa causada por DLP, en una mujer 53 años con el antecedente personal de carcinoma de ovario de células claras, cuya histopatología mostró dismaduración epidérmica. Solo hemos encontrado tres casos similares con estudio histopatológico en la literatura dermatológica6–8.
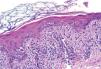
Se trata de una mujer de 53 años de edad con antecedentes personales de depresión, enfermedad fibroquística de mama, lumbociatalgia por protusiones discales L4-L5 y L5-S1, colecistectomía y apendicectomía. Ingresada por trombosis venosa profunda poplítea izquierda, se visualiza en una tomografía axial computarizada (TAC) abdómino-pélvica una masa lobulada localizada en la pelvis menor, con CA 15.3 de 189,4 U/ml (valores normales: 0,0-38,6) y CA 125 de 23,5 U/ml (valores normales: 0,0-30,0). Se realizó histerectomía total, doble anexectomía y omentectomía parcial. Se apreció una tumoración anexial izquierda de 8 cm de diámetro cuyo estudio histopatológico mostró un carcinoma de células claras pobremente diferenciado. La TAC tóraco-abdómino-pélvica posquirúrgica fue normal, pero con valores de CA 15.3 de 54 U/ml. Al tratarse de un estadio IA, inicia quimioterapia adyuvante con 4 ciclos de taxol y carboplatino, pero aumentaron los niveles de CA 15.3 (72 U/ml). Una nueva TAC fue normal, pero en la tomografía por emisión de positrones (PET) se observó un área de intensa captación que sugería un conglomerado adenopático en la región paraaórtica. Se inició una nueva línea terapéutica con DLP 50 mg/m2 cada 4 semanas. Tres semanas después del segundo ciclo de DLP desarrolló una erupción pruriginosa en los pliegues tratada con metilprednisolona aceponato al 0,1 % en emulsión durante 10 días. En ese momento acude a la consulta, donde se aprecian placas hiperpigmentadas con áreas eritemato-des-camativas, erosivas y costrosas dispuestas en axilas, ingles y cintura (fig. 1).
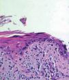
Se realizó una biopsia de una de las lesiones de la axila izquierda que mostró una epidermis con discreta hiperqueratosis y papilomatosis. Destacaba en la capa basal, e incluso en niveles medios, el aumento de tamaño de los queratinocitos con núcleos grandes, atípicos, a veces binucleados, nucleolos evidentes y mitosis. En la dermis papilar y media existía un infiltrado inflamatorio de distribución perivascular, compuesto por linfocitos y escasos neutrófilos, que contactaba en zonas con la capa basal, lo que provocaba discretas hendiduras, e incluso penetraba en pequeños grupos en la epidermis (figs. 2 y 3).
Se estableció el diagnóstico de erupción intertriginosa con dermatitis de interfase y dismaduración epidérmica causada por DLP y se decidió continuar con el fármaco reduciendo la dosis a 40 mg/m2, sin apreciar recurrencia del cuadro tras la tercera infusión.
La DLP a menudo causa toxicidad cutánea. La reacción más frecuente es la eritrodisestesia palmo-plantar, que ocurre en un tercio de los pacientes y consiste en el desarrollo de lesiones eritematosas en las palmas y las plantas, junto con sensación disestésica2,3. También puede presentarse un fenómeno de recuerdo en zonas de quemadura solar, de radioterapia previa o de extravasación de citostáticos9. Otros efectos incluyen nuevas máculas melanóticas, estomatitis, una erupción sintomática folicular difusa de predominio en la cara lateral de las extremidades o del tronco, y cuya histopatología muestra vacuolización de la capa basal y un infiltrado linfocitario en la dermis papilar4,5.
Aunque existen series de casos donde la DLP induce una erupción intertriginosa similar4,5, solo hemos encontrado tres artículos donde se describen los hallazgos histopatológicos (tabla 1)6–8. La denominan «dermatitis o erupción similar al intértrigo» para destacar su entidad morfológica independiente, aunque consideran que el mecanismo etiopatogénico puede ser idéntico al del síndrome pie-mano5,8. En todos los casos la DLP causa, varias semanas después de la última infusión, placas eritematosas a menudo con áreas erosivas, pruriginosas o dolorosas localizadas de forma bilateral en axilas, ingles y zonas de fricción con la ropa. El estudio histopatológico muestra una reacción de interfase con dismaduración epidérmica (atipia citológica con queratinocitos apoptósicos/disqueratósicos). La dismaduración epidérmica se presenta a menudo durante el tratamiento con otros agentes quimioterápicos como la ciclofosfamida10; últimamente abundan las publicaciones de erupciones cutáneas desencadenadas por DLP que presentan este patrón histológico7,11. Igual que en nuestro caso, la reducción de la dosis del fármaco resuelve las lesiones cutáneas dejando hiperpigmentación postinflamatoria residual y sin recurrencias posteriores6–8.
Pacientes con erupción intertriginosa secundaria a DLP y estudio histopatológico
| Referencias | Edad/sexo | Cáncer | Intervalo* | Localización | Hallazgos histopatológicos |
| Skelton et al6 | 83 años/M | Ovario | 21 días | Axilas e ingles | Dermatitis de interfase y queratinocitos apoptósicos |
| English iii et al7 | 64 años/M | Ovario | 11 días | Axilas, lateral de pechos e ingles | Dermatitis de interfase y queratinocitos apoptósicos |
| Korver et al8 | 60 años/M | Mama | 14 días | Axilas, ingles, abdomen inferior y mucosa oral | Dermatitis de interfase y queratinocitos disqueratósicos |
| Monteagudo et al (caso actual) | 53 años/M | Ovario | 21 días | Axilas, ingles y abdomen inferior | Dermatitis de interfase y queratinocitos disqueratósicos |
M: mujer.
Conflicto de intereses
Declaramos no tener ningún conflicto de intereses.






