Historia clínica
Mujer de 30 años de edad, con el antecedente personal de síndrome ansioso depresivo, ingresada en el servicio de medicina interna por un cuadro de tromboembolismo pulmonar y trombosis venosa profunda proximal en el miembro inferior derecho. Es remitida a nuestro servicio para valorar una erupción cutánea dolorosa localizada en la ingle derecha de 2 semanas de evolución.
Exploración física
En la exploración se apreciaron cientos de pápulas, algunas de aspecto vesiculoso, agrupadas sobre placas eritematovioláceas, induradas, que se localizaban en el tercio proximal del muslo, ingle y labio mayor derechos, y en el área suprapúbica (figs. 1 y 2). Además se palparon adenopatías a nivel inguinal derecho.
Figura 1.
Figura 2.
Histopatología
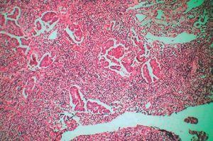
El estudio histopatológico de una de las lesiones cutáneas puso de manifiesto, a nivel de la dermis superficial y media, vasos linfáticos dilatados ocupados por una proliferación neoplásica de estirpe epitelial constituida por células cúbicas de citoplasma eosinófilo y gran núcleo redondeado con nucleolo prominente, que focalmente presentaba una disposición papilar. Llamaba la atención la elevación de la epidermis suprayacente (fig. 3).
Figura 3. Hematoxilina-eosina, x400.
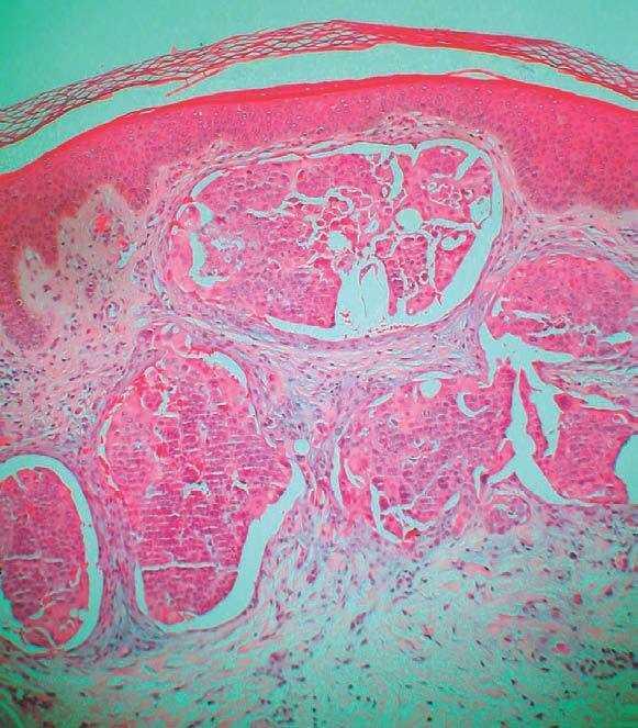
El estudio de la adenopatía de la región inguinal derecha evidenció un ganglio linfático que tenía los senos con focos de una tumoración epitelial con patrón papilar (fig. 4).
Figura 4. Hematoxilina-eosina, x200.
¿Cuál es su diagnóstico?
Diagnóstico
Metástasis cutáneas de adenocarcinoma de ovario.
Evolución y tratamiento
Se realizó un control analítico donde destacaba un valor de CA 125 U/ml de 10.633. La tomografía axial computarizada (TAC) toracoabdominal mostró evidencias de múltiples adenopatías retroperitoneales que conformaban conglomerados y se localizaban en el área celíaca, porto-cava, interaortocava, paracava, paraórticas izquierdas, ilíacas internas y externas, con desplazamiento de las estructuras vasculares, así como compresión de la cava, con ectasia y desplazamiento de ambos uréteres por compresión adenopática. El estudio torácico demostró defecto de repleción de vasos periféricos del lóbulo pulmonar inferior derecho.
El estudio realizado en el servicio de ginecología no pudo confirmar el origen ovárico del cuadro, pero consideró la enfermedad irresecable. Se inició tratamiento de quimioterapia con carboplatino y taxol, y posteriormente, ante la nula respuesta, se instauró una segunda línea de quimioterapia con adriamicina liposomal. La paciente falleció a los 5 meses por un cuadro de tromboembolismos de repetición.
Comentario
Es importante el diagnóstico de las metástasis cutáneas, ya que pueden ser el primer signo de un cáncer interno, con frecuencia en el cáncer de pulmón, renal y de ovario ayudan a estadiar el tumor, y su localización y su morfología puede sugerir el origen primario del cáncer1.
La mayor parte de las metástasis cutáneas aparecen como tumores firmes, no dolorosos, de color eritematoso o violáceo y de crecimiento progresivo, otras muchas simulan procesos benignos como linfangioma, morfea, alopecia areata, granuloma piogénico, erisipela, queratoacantoma, cilindromas múltiples, chancro, hidradenitis supurativa, herpes zóster, sarcoma de Kaposi, quistes sebáceos, etc.1,2.
Las metástasis cutáneas por un carcinoma de ovario son muy infrecuentes y cuando se observan indican normalmente un estado avanzado de la enfermedad3. La vía metastásica más utilizada por estos tumores genitales es la linfática, las células tumorales llegarían a la piel perineal, inguinal y del abdomen inferior por la vía linfática retrógrada desde los ganglios pélvicos e inguinales obstruidos3,4.
Las lesiones de apariencia vesiculosa en el seno de metástasis cutáneas ha recibido distintas denominaciones en la literatura: lesiones herpetiformes3, zosteriformes5,6 o tipo linfangioma4,7,8. No está claro a qué sustrato histológico se debe el aspecto vesiculoso de las lesiones. En nuestro caso parece causado por la infiltración y obstrucción de los vasos linfáticos por émbolos tumorales a nivel de la dermis papilar, elevando la epidermis suprayacente respecto al nivel general de la piel (fig. 3).
Conflicto de intereses
Declaramos no tener ningún conflicto de intereses.
Correspondencia:
Benigno Monteagudo Sánchez.
Rosalía de Castro, 38, 3.ºB.
15706 Santiago de Compostela. La Coruña.
benims@hotmail.com
Aceptado el 15 de noviembre de 2006.






