INTRODUCCION
La eritrocianosis es uno de los cuadros clínicos encuadrables dentro de las lesiones causadas por el frío; consiste en la presencia de pápulas, placas e incluso lesiones nodulares de coloración cianótica que aparecen en nalgas y muslos de mujeres jóvenes1. Se relaciona con una exposición prolongada a bajas temperaturas, el uso de prendas de vestir ajustadas y una susceptibilidad individual al frío2, 3. Según Garretts et al la primera descripción fue hecha por Klingmüller en 1921, quien estudió los aspectos clínicos de la eritrocianosis y la incluyó dentro del grupo de las perniosis4.
DESCRIPCION DE LOS CASOS
Caso 1
Mujer de 31 años, fumadora de 30 cigarrillos al día. Acudió a la consulta de Dermatología por presentar, desde hacía 5 años, coincidiendo con la época invernal, brotes de lesiones pruriginosas en cara superoexterna de muslos, que desaparecían en la primavera, dejando una hiperpigmentación residual. Entre sus antecedentes personales destacaba que la paciente no disponía de calefacción central en su vivienda y utilizaba a diario pantalones vaqueros ajustados. A la exploración física observamos lesiones eritematovioláceas, papulosas, que en determinadas zonas confluían formando placas con una superficie descamativa; alrededor de las mismas se apreciaban signos de queratosis pilar (fig. 1). A la palpación notamos la presencia de lesiones nodulares y una menor temperatura en la zona afecta. El resto de la exploración física fue normal.
Fig. 1.--Lesiones eritematovioláceas a nivel de cara superoexterna de muslo.
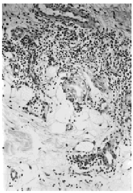
No se encontraron alteraciones en la analítica general ni en el estudio inmunológico, que incluía autoanticuerpos, anticuerpos anticardiolipina, complemento, inmunoglobulinas, factor reumatoide y estudio de crioglobulinas y crioaglutininas. La serología frente a hepatitis fue negativa. El estudio histopatológico reveló un infiltrado inflamatorio perivascular de predominio linfocitario a nivel de dermis superficial y profunda, afectando notablemente la interfase dermohipodérmica y en menor medida el tejido celular subcutáneo en el que el infiltrado aparecía preferentemente a nivel septal (fig. 2). La inmunofluorescencia directa fue negativa.
Fig. 2.--Infiltrado linfocitario en la interfase dermohipodérmica.
Caso 2
Mujer de 27 años que vivía en el campo, trabajaba en una granja y pasaba mucho tiempo al aire libre. Consultó para valoración de unas lesiones que desde hacía tres años aparecían en brotes coincidiendo con las épocas más frías y que presentaban las mismas características clínicas y evolutivas que en el caso anterior. Tampoco encontramos alteraciones en la analítica general y el estudio inmunológico; sin embargo, la histología mostró la existencia de un infiltrado inflamatorio linfohistiocitario perivascular en dermis super- ficial y media, que no afectaba la interfase dermohipodérmica ni el tejido celular subcutáneo (fig. 3).
Fig. 3.--Infiltrado linfocitario perivascular en dermis superficial y media.
DISCUSIÓN
La eritrocianosis es una entidad incluida dentro de los trastornos causados por el frío, que consiste en la existencia de lesiones de coloración cianótica que aparecen en áreas con una gruesa capa de grasa subcutánea, como nalgas y muslos de niñas adolescentes y mujeres jóvenes1, 5. Inicialmente aparecen pápulas eritematosas, pruriginosas, que van progresando hacia la formación de lesiones induradas en forma de placas y nódulos de coloración rojo-violácea; se puede acompañar de ulceración, eritema, queratosis pilar y descamación difusa, y como manifestaciones tardías pueden aparecer edema y fibrosis. Se resuelve en unas semanas, dejando una hiperpigmentación residual. El resto de la exploración física es normal, no apareciendo lesiones en zonas acras6. El principal factor etiológico es una exposición prolongada al frío, aunque también influyen el uso de prendas de vestir ajustadas, no aislantes, un tipo de circulación especial y una susceptibilidad individual al frío2, 3.
Los estudios complementarios, tales como analítica completa de sangre y orina, estudio inmunológico, incluyendo crioglobulinas y crioaglutininas y serología frente a hepatitis no muestran alteraciones2, 7. En el estudio histológico observamos un infiltrado inflamatorio perivascular de predominio linfocitario, que puede afectar únicamente a dermis o distribuirse en dermis e hipodermis; por este motivo la eritrocianosis es un concepto en discusión, ya que para unos autores sería una forma de paniculitis por frío si afecta al tejido celular subcutáneo2 o una perniosis si se localiza exclusivamente en dermis8. Sin embargo, teniendo en cuenta las manifestaciones clínicas, las paniculitis por frío descritas en la literatura presentan una localización y una edad de aparición diferentes, ya que se dan en niños pequeños en área submentoniana y mejillas2, 9, y las lesiones pernióticas se localizan característicamente en zonas acras. Por el contrario, la eritrocianosis afecta a mujeres jóvenes en unas zonas concretas como son nalgas y muslos.
El tratamiento se basa en adoptar medidas preventivas frente al frío como ropas de abrigo, realización de ejercicio y disminución de peso para reducir la capa aislante de tejido adiposo subcutáneo responsable de mantener de forma sostenida una temperatura más baja. Es importante una calefacción apropiada en el hogar. Se ha intentado el uso de vasodilatadores y luz ultravioleta, aunque se ha comprobado que son ineficaces2, 6.





