INTRODUCCION
En 1970, Grover describió la dermatosis acantolítica transitoria como una erupción pruriginosa consistente en pápulas y vesículas que afectaban al pecho, la espalda y los muslos de pacientes varones de edad avanzada1. Estas lesiones son habitualmente transitorias, de pocos días o semanas de duración, aunque posteriormente se ha observado que en algunos pacientes pueden persistir durante varios años. En 1977, Chalet et al2 describieron los cuatro patrones histopatológicos que pueden observarse, independiente o concomitantemente, en las biopsias de estos pacientes: enfermedad de Darier, enfermedad de Hailey-Hailey, pénfigo vulgar y patrón espongiótico. El patrón tipo enfermedad de Darier es el más común y el que se ha observado con más frecuencia en la variante persistente de la enfermedad de Grover. Se presenta un paciente con insuficiencia renal crónica en hemodiálisis que desarrolló una enfermedad de Grover con patrón histopatológico similar al de la enfermedad de Darier.
DESCRIPCION DEL CASO
Varón de 69 años de edad con antecedentes personales de infarto agudo de miocardio, enfermedad pulmonar obstructiva crónica, úlcera duodenal y carcinoma urotelial multicéntrico diagnosticado en 1991 que había requerido varios ciclos de quimioterapia, el último en febrero de 1998, y múltiples intervenciones quirúrgicas sucesivas (nefroureterectomía radical derecha en 1991, cistectomía radical con ureterectomía distal izquierda y ureterostomía cutánea en marzo de 1999 y nefrectomía izquierda en junio de 2000, por lo cual el paciente ingresó en programa de hemodiálisis). En 1998 había requerido sesiones de hemodiálisis aguda por insuficiencia renal progresiva complicada con edema agudo de pulmón que requirió ingreso en la unidad de vigilancia intensiva sin consecuencias dermatológicas en aquel momento.
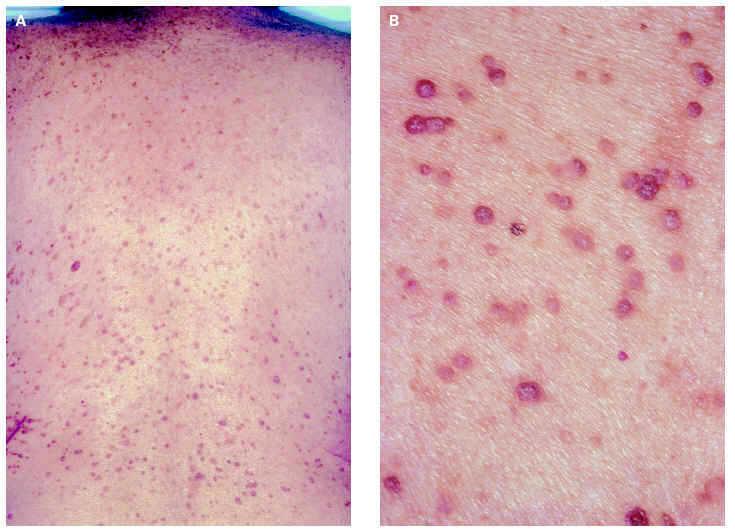
En septiembre de 2000 consultó por lesiones cutáneas asintomáticas consistentes en pápulas hiperqueratósicas de pocos milímetros de diámetro situada en el tronco y los brazos, que habían aparecido de forma progresiva en el último mes (fig. 1). No se observó afectación mucosa ni ungueal en la exploración física. El paciente refería que las lesiones surgieron aproximadamente 2 meses después de comenzar el tratamiento con hemodiálisis crónica. Se realizó biopsia y el estudio histopatológico mostró varios focos de disqueratosis acantolítica focal en la epidermis (fig. 2) estableciéndose el diagnóstico de enfermedad de Grover con patrón histopatológico de enfermedad de Darier. Se realizó estudio mediante inmunofluorescencia directa con resultados negativos para inmunoglobulinas y complemento. En el momento en que se inició el cuadro dermatológico el paciente estaba en tratamiento con carbonato de calcio, eritropoyetina, clopidogrel, parches de nitroglicerina, ranitidina, bromuro de ipratropio y budesonida inhalados, loracepam y pentoxifilina. El paciente negaba que existieran antecedentes en la familia de una dermatosis similar. Debido a que el paciente se encontraba asintomático se decidió adoptar una actitud expectante. Las lesiones tuvieron un curso estable y persistieron hasta el momento del fallecimiento del paciente por enfermedad metastásica en agosto de 2001.
Fig. 1.--Características clínicas de las lesiones; A: múltiples pápulas hiperqueratósicas de coloración marrón salpicadas por la espalda; B: detalle de las lesiones.
Fig. 2.--Histopatología de las lesiones. A: a pequeño aumento se observa una epidermis papilomatosa, con focos de acantólisis en su interior; B: a mayor aumento se observa uno de los focos de acantólisis con células disqueratósicas. C: a mayor aumento aún se comprueba la existencia de «cuerpos redondos» y «granos» similares a los de la enfermedad de Darier.
DISCUSION
Recientemente, Casanova et al3 han descrito una serie de 4 pacientes varones, de 48 años de edad media, con antecedentes de insuficiencia renal crónica de larga evolución de distintos orígenes, que habían desarrollado una erupción papulosa y queratósica en tronco y brazos 2 a 13 meses después del comienzo del tratamiento con hemodiálisis. En la mitad de los pacientes las lesiones tuvieron un curso transitorio y en uno de ellos remitió por completo al ser sometido a un trasplante renal. El examen histopatológico reveló la presencia de disqueratosis acantolítica focal correspondiente a una enfermedad de Grover con patrón histopatológico tipo enfermedad de Darier en tres de los casos y un patrón espongiótico en el otro caso (tabla 1). Previamente se había descrito un caso aislado de dermatosis acantolítica persistente que afectaba al cuello en un paciente varón de 53 años de edad con antecedentes de insuficiencia renal secundaria a glomerulonefritis crónica en hemodiálisis4 .
La patogenia de la enfermedad de Grover es desconocida. Se han propuesto como posibles orígenes de esta entidad, la exposición a la luz solar, la sudoración o calor excesivos, la oclusión, la xerosis, los medicamentos (sulfadoxipirimetamina, interleucina-4 humana recombinante, 2-clordesoxiadenosina), la radiación ionizante, los agentes infecciosos (Malassezia furfur, Demodex folliculorum), la inmunosupresión (sida, tratamientos inmunosupresores), la dermatitis alérgica de contacto, la dermatitis atópica, la irritación inespecífica, las neoplasias internas (hematológicas, renales, genitourinarias, carcinoma gástrico), la quimioterapia, y la radioterapia. La asociación entre enfermedad de Grover y neoplasias es controvertida, ya que ambas circunstancias se observan en pacientes pertenecientes al mismo grupo de edad5.
En el paciente que nosotros presentamos, además de la hemodiálisis, existen también otros factores que se han propuesto como posibles mecanismos patogénicos de la enfermedad de Grover, como el carcinoma urotelial multicéntrico y varios ciclos de quimioterapia. Sin embargo, la aparición de las lesiones cutáneas poco tiempo después de la instauración del tratamiento con hemodiálisis sugiere una clara relación temporal entre estas dos circunstancias.
El caso descrito en el presente artículo planteó el diagnóstico diferencial entre la enfermedad de Grover, la enfermedad de Darier y la dermatosis perforante reactiva adquirida. A diferencia de la enfermedad de Grover, la enfermedad de Darier es un trastorno de la queratinización de herencia autosómica dominante que se manifiesta antes de los 30 años de edad en la mayoría de los casos, suele afectar al cuero cabelludo y áreas seborreicas de cara y tronco y puede asociarse, entre otras, a alteraciones ungueales y queratosis punctata6. El término de dermatosis perforante reactiva adquirida alude a cuatro entidades relacionadas: la enfermedad de Kyrle, la foliculitis perforante, la colagenosis perforante reactiva y la elastosis perforante serpiginosa. Se han descrito numerosos casos de dermatosis perforante reactiva adquirida en pacientes con insuficiencia renal crónica. Las manifestaciones clínicas de estas dermatosis son similares a las de la enfermedad de Grover, es decir, pápulas queratósicas, a menudo pruriginosas, distribuidas en tronco y extremidades. Sin embargo, el estudio histopatológico revela la eliminación transepitelial de elementos de la dermis al exterior característica de las dermatosis perforantes7.





