Una niña de 8años de edad fue remitida desde endocrinología al servicio de dermatología para la valoración de unas lesiones levemente pruriginosas y de larga evolución en ambas axilas, más intensas en el lado izquierdo. La paciente, cuyos padres eran naturales de Rumanía, estaba en seguimiento por endocrinología pediátrica por una pubarquia precoz, con testosterona discretamente elevada (test de Synatchen normal). Además, había presentado un episodio de gastroenteritis aguda con fallo hepático, que precisó seguimiento hasta los 3años.
A la exploración presentaba unas pápulas amarillentas de 1-2mm, de consistencia elástica, de distribución perifolicular agrupadas formando placas localizadas en ambas axilas, con una agrupación más parcheada en el lado izquierdo (figs. 1 y 2).
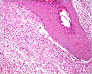
El estudio histológico de una biopsia en sacabocados de una de las lesiones mostró la dilatación del infundíbulo piloso y un agregado perifolicular de células espumosas (fig. 3), compatible con el diagnóstico de enfermedad de Fox-Fordyce (EFF).
La evolución clínica fue favorable, con una mejoría espontánea de las lesiones. Como única incidencia, su madre refería hipersudoración y bromhidrosis axilar, por lo que fue dada de alta con antitranspirantes locales a demanda (clorhidrato de aluminio al 15%). No se ha podido establecer una relación temporal entre su patología endocrinológica de base y la aparición de las lesiones, ni tampoco con la mejoría de las mismas.
La EFF, también denominada miliaria apocrina, fue descrita en 1902 por George Henry Fox y John Addison Fordyce. Se trata de una enfermedad crónica, poco frecuente, de aparición típica en mujeres pospuberales (15-35años)1. Su presentación en la edad infantil es excepcional2. La etiología es desconocida, y probablemente la causa sea multifactorial3. Se postula su asociación con factores hormonales, dado el rango de edad de aparición y la frecuente remisión de la enfermedad durante el embarazo y en la menopausia, aunque no se ha podido demostrar ninguna alteración hormonal en los pacientes1. Por ello, desconocemos si el antecedente de pubarquia precoz en nuestra paciente guarda relación. No hemos encontrado en la literatura asociación previa con un fallo hepático.
Se ha descrito la aparición de la enfermedad como un efecto secundario de técnicas de depilación con láser o luz pulsada intensa (IPL)4. En este caso, los hallazgos clínicos e histológicos son muy similares a la EFF primaria.
Clínicamente se presenta como pequeñas pápulas cupuliformes perifoliculares, color piel sana-amarillenta, pruriginosas. La localización más habitual son las axilas, pudiendo también originarse en la zona periareolar, en el área anogenital y, más excepcionalmente, en los muslos, el área periumbilical y la región esternal. Puede asociarse a una pérdida de pelo en las áreas afectadas, así como a una hipohidrosis.
Las lesiones mejoran con el embarazo y los anticonceptivos hormonales, y empeoran con el calor, el agua caliente, el estrés o el ciclo menstrual1.
La presentación clínica de la enfermedad es constante y similar. Sin embargo, los hallazgos histológicos son muy variados5. La formación de un tapón de queratina en el infundíbulo folicular que obstruye asimismo el conducto de la glándula apocrina podría ser el desencadenante del cuadro3. Como dato más consistente se observa dilatación del infundíbulo e hiperqueratosis del epitelio infundibular5. El hallazgo más específico es la xantomatosis perifolicular6.
Clásicamente se creía que en esta enfermedad solo se afectaban las glándulas apocrinas. Recientemente han salido a la luz hallazgos histológicos que sugieren que puede haber variantes ecrinas y no foliculares (que afecten a glándulas apocrinas)3.
El diagnóstico diferencial clínico de esta entidad debe plantearse fundamentalmente con siringomas eruptivos, liquen nítido, trichostasis spinulosa, síndrome de Grahan-Little-Piccardi-Lasseur y enfermedad de Darier1,7,8.
Al tratarse de una enfermedad poco frecuente, no existen estudios comparativos, y el tratamiento sigue estando poco claro. Se han descrito múltiples terapias, todas ellas con resultados variables. Los corticoides tópicos o intralesionales se han considerado el tratamiento de primera línea. También se han utilizado retinoides tópicos o sistémicos, antibióticos tópicos como la clindamicina, antitranspirantes, anticonceptivos orales e inhibidores de la calcineurina tópicos. En casos refractarios se han utilizado el curetaje y la electrocoagulación o técnicas modificadas de liposucción, y de forma más novedosa el láser fraccional CO2, el microondas o la toxina botulínica tipoA9-11.
La remisión espontánea, como en el caso de nuestra paciente, es anecdótica.
En resumen, se ha descrito un caso de EFF excepcional por la aparición en edad prepuberal y su evolución atípica, con una resolución espontánea de las lesiones. No podemos afirmar la relación causal con las alteraciones endocrinológicas, aunque probablemente jueguen un papel importante en el desarrollo de la enfermedad.
Conflicto de interesesLos autores declaran no tener ningún conflicto de intereses.





