Sr. Director:
La enfermedad de Behçet se caracteriza por la tríada de aftas orales y genitales, lesiones cutáneas y afectación ocular. También es posible observar afectación articular, neurológica, vascular, gastrointestinal o pulmonar1-3.
Una mujer de 38 años consultó por unas lesiones localizadas en las piernas aparecidas hacía 10 días. Se trataba de varios nódulos eritematosos, mal delimitados, calientes al tacto y dolorosos a la palpación (fig. 1). La paciente había desarrollado fiebre de hasta 38,5 °C desde 5 días antes de la consulta.
Figura 1. Nódulos eritematosos en la cara anterior de la pierna.
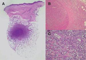
Se practicó una biopsia donde se pudo observar, bajo una epidermis y una dermis respetada, un vaso de mediano calibre trombosado. La pared de dicho vaso estaba necrosada y presentaba un intenso infiltrado inflamatorio compuesto predominantemente por neutrófilos, pero también por linfocitos y eosinófilos. El infiltrado inflamatorio se extendía hasta los lobulillos del tejido celular subcutáneo, en forma de paniculitis de predominio lobulillar (fig. 2). La tinción con orceína puso de manifiesto que se trataba de una arteriola. Estos hallazgos histológicos eran compatibles con una panarteritis nodosa.
Figura 2. A. Vaso de mediano calibre trombosado en el tejido celular subcutáneo. Hematoxilina-eosina, panorámica. B. Pared del vaso necrosada con infiltrado inflamatorio. Hematoxilina-eosina, 20. C. Abundantes neutrófilos en el infiltrado inflamatorio. Hematoxilina-eosina, 40.
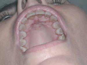
La paciente volvió a consulta antes de lo previsto, porque pocos días antes había desarrollado lesiones orales y genitales. Se trataba de varias lesiones en el paladar duro, en forma de úlceras dolorosas con membrana amarillenta en superficie sobre base eritematosa (fig. 3). En la vulva presentaba una lesión de 1 cm de las mismas características. La paciente refirió que había presentado brotes recurrentes de este tipo de lesiones dolorosas en mucosa oral y genital desde hacía tres años.
Figura 3. Aftas en el paladar.
Siguiendo los criterios diagnósticos establecidos se diagnosticó a la paciente de enfermedad de Behçet con lesiones cutáneas tipo panarteritis nodosa. Durante un año la paciente ha tenido brotes repetidos de lesiones cutáneas tipo eritema nodoso y papulopústulas y aftas orales y genitales, por lo que ha necesitado tratamiento oral con prednisona durante largos periodos de tiempo para controlar las lesiones y colchicina como tratamiento de mantenimiento.
Las lesiones tipo eritema nodoso son una manifestación cutánea frecuente en la enfermedad de Behçet. Se caracterizan clínicamente por nódulos eritematosos, calientes y dolorosos, localizados principalmente en la cara anterior de las piernas. Desde el punto de vista histopatológico estas lesiones no están del todo caracterizadas, pero existen distintos trabajos que ponen de manifiesto que este tipo de lesiones, que clínicamente son indistinguibles de un eritema nodoso típico, presentan una histopatología distinta a este tipo de paniculitis. Se suele encontrar un infiltrado inflamatorio en la dermis, paniculitis de predominio lobulillar, aunque también mixta, y vasculitis, tanto leucocitoclástica como linfocitaria4,5.
La panarteritis nodosa afecta a arterias de mediano y pequeño calibre y su histopatología característica consiste en vasculitis necrotizante con infiltrado de predominio neutrofílico y paniculitis lobulillar focal próxima a los vasos afectados. Son pocos los casos descritos de enfermedad de Behçet con lesiones tipo eritema nodoso donde la histopatología ponga de manifiesto hallazgos típicos de panarteritis nodosa6,7. En nuestro caso describimos una paciente que desarrolló lesiones cutáneas tipo eritema nodoso con características histológicas de panarteritis nodosa en el momento de su diagnóstico de enfermedad de Behçet. Las lesiones de panarteritis nodosa parecen ser un marcador de severidad en la enfermedad de Behçet7. Nosotros sugerimos que la aparición de este tipo de lesiones en nuestra paciente supuso un empeoramiento del curso de la enfermedad, que había pasado casi desapercibida hasta el momento de su aparición.





