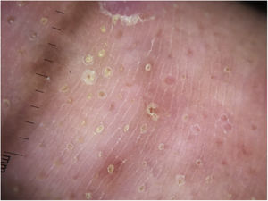
A male in his 20s presented with a 1-month history of itchy red patches over both his palms. Examination revealed multiple, non-tender erythematous plaques and pale papules (Fig. 1). On close inspection, few plaques over the fingers had a purpuric element interspersed with tiny skin-colored papules and minimal scaling. There were no similar skin lesions elsewhere on the body.
DermoscopyImages – Polarized dermoscopy examination showed multiple yellowish plugs within oval pits and empty depressions with peripheral scaling distributed over palms along the dermatoglyphics in a back ground of erythema (Fig. 2). Higher magnification showed areas of punctate hemorrhages also (Fig. 3).
What is the diagnosis?
Lichen Nitidus of Palms
CommentLichen nitidus is an uncommon dermatosis characterized by discrete, minute, skin-colored, or pale-colored monomorphic shiny papules. Children and young adults are most often affected. The trunk and external genitalia are commonly involved sites. Lesions may be pruritic or asymptomatic. Dermoscopic features include ill-defined hypopigmentation or white structureless areas without skin markings. Diffuse erythema with linear vessels is present within the lesion with peripheral scaling. The presence of a brown shadow inside the white areas has also been described.1 Histopathology examination is confirmatory with a typical “claw clutching aball” appearance due to lymphohistiocystic infiltrate enclosed by acanthotic rete ridges.2
Palms, soles, mucosa, and nails are only rarely affected, and isolated palmar involvement is rarer still. Palmar lesions can be hard to differentiate from eczema, pompholyx, perforating type of lichen planus, and porokeratotic eccrine and ostial dermal duct nevus (PEODDN).3
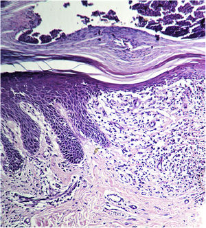
Dermoscopy showed multiple oval depressions and pits with yellowish plugs along the dermatoglyphics of the palm in a background of erythema (Fig. 2). There was circumferential scaling and short linear vessels in some areas. Some foci had areas of punctate hemorrhages as well (Fig. 3). These findings agreed with the dermoscopic features previously described in palmar lichen nitidus.4 The diagnosis was confirmed by histopathology examination of biopsy sample from a finger lesion (Fig. 4). Parakeratosis, thinning of supra-papillary plate and loss of granular layer was seen. The elongated and acanthotic rete ridges enclosed circumscribed collection of lymphohistiocytic infiltrate which give rise to the yellowish areas seen on dermoscopy. Dilated capillaries were also present in the dermis which can contribute to the background erythema. Punctate hemorrhages on dermoscopy can be secondary to scratching of the lesions.
In contrast, cases of pompholyx show only featureless areas and vesicles on dermoscopy.5 Lichen planus lesions invariably have a violaceous hue and Wickham's striae even when presenting as hyperkeratotic pitted plaques. Adult-onset PEODDN may also affect the palms, but the classical dermoscopic description is of white pinhead sized lesions over an erythematous background.6
Lichen nitidus on palms can be difficult to diagnose, especially in adults, and dermoscopy can be a useful auxiliary tool.







