Introducción
La dermatosis neutrofílica del dorso de manos es un cuadro clínico de descripción reciente. Tanto la presentación clínica como los datos de laboratorio, los hallazgos histopatológicos y la respuesta a corticoides sistémicos sugieren que esta entidad se trata en realidad de una variante localizada del síndrome de Sweet (SS) y que sería idéntica al pioderma gangrenoso (PG) atípico cuando éste se presenta en las manos1.
Caso clínico
Presentamos el caso de una mujer de 35 años que acudió a urgencias por unas lesiones ampollosas de contenido hemorrágico y de distribución lineal en dorso de muñeca derecha que habían aparecido de forma eruptiva. Asimismo presentaba pequeñas lesiones papulovesiculosas en dorso de ambas manos (fig. 1); la paciente negaba trauma previo. Entre sus antecedentes destacaba que era alérgica a la penicilina y consumo de benzodiacepinas debido a un acontecimiento familiar estresante. La sospecha diagnóstica inicial fue de picaduras, pautándose tratamiento con agua sulfatada, -macrólido vía oral y mupirocina tópica. A las 48 horas el cuadro había empeorado con la aparición de erosiones exudativas en la zona de la muñeca, pústulas y nódulos eritematovioláceos en dorso de ambas manos de contorno edematoso, algunos de ellos con ulceración central (fig. 2). Además, en la frente presentaba una placa eritematosa edematosa de reborde sobreelevado (fig. 3). La paciente se mantuvo apirética en todo momento y con buen estado general sin clínica sistémica ni adenopatías asociadas. En la analítica destacaba una leucocitosis de 14.500 células con 10.800 neutrófilos y una velocidad de sedimentación globular (VSG) de 54 mm/h. Se realizó una biopsia que mostró un infiltrado polimorfonuclear denso en dermis sin presencia de vasculitis leucocitoclástica (fig. 4). El diagnóstico definitivo fue de dermatosis neutrofílica del dorso de manos con lesiones a distancia. Se pautó tratamiento con prednisona por vía oral a dosis de 1mg/kg/día, con resolución inmediata de las lesiones (fig. 5). El resto de pruebas complementarias, bioquímica, anticuerpos antinucleares, serología de virus, marcadores tumorales, poblaciones linfocitarias, hormonas tiroideas y radiografía de tórax no detectaron anomalías, salvo un sedimento de orina patológico que mostraba una infección de orina asintomática. Actualmente la paciente permanece en vigilancia sin tratamiento y hasta el momento no ha experimentado recidivas.
Figura 1. Ampollas de contenido hemorrágico y distribución lineal en la muñeca derecha. Lesiones papulovesiculosas de pequeño tamaño en dorso de ambas manos.
Figura 2. Nódulos violáceos con ulceración central en dorso de ambas manos con edema asociado.
Figura 3. Placa edematosa en frente de borde sobreelevado.
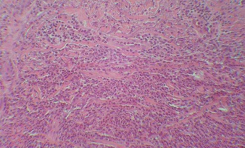
Figura 4. Infiltrado polimorfonuclear denso en dermis en ausencia de vasculitis leucocitoclástica. (Hematoxilina-eosina, x200.)
Figura 5. Resolución de las lesiones después del tratamiento con corticoides sistémicos.
Discusión
En 1995 Strutton2 et al acuñaron el término de vasculitis pustulosa del dorso de manos para referirse a un cuadro de lesiones nodulares eritematovioláceas dolorosas con pústulas y ampollas localizadas en dorso de manos. Los pacientes se presentaban con o sin clínica sistémica asociada. A nivel histopatológico destacaba un denso infiltrado inflamatorio polimorfonuclear asociado a vasculitis leucocitoclástica. En el año 2000, Galaria3 et al presentaron 3 pacientes con un cuadro de lesiones similares refractarias a antibioterapia y que respondían bien a corticoides sistémicos. Las recurrencias eran tratadas eficazmente con dapsona. La anatomía patológica mostraba un infiltrado polimorfonuclear en ausencia de vasculitis leucocitoclástica, por lo que los autores prefirieron el término de dermatosis neutrofílica del dorso de manos (DNDM) sugiriendo que podría tratarse de una variante localizada del SS o una superposición SS-PG. Sharareh4 utiliza el término pioderma gangrenoso del dorso de manos para referirse a esta entidad y la incluye dentro de las manifestaciones atípicas del PG. En una revisión reciente de Walling et al1 en la que incluyen 52 casos publicados en la literatura, el porcentaje de neoplasias asociadas fue del 27 %. El 21 % correspondía a neoplasias hematológicas. El 15 % de los pacientes asociaban enfermedad inflamatoria intestinal. La mayoría presentaban o fiebre o leucocitosis y/o aumento de la VSG. El 71 % respondieron a corticoides sistémicos. La mayoría de los casos publicados fueron diagnosticados inicialmente como cuadros de tipo infeccioso con fallo del tratamiento antibiótico.
Si este cuadro clínico representa una variante del SS, PG, una superposición de ambos o si constituye una entidad propia se desconoce en la actualidad. Sin embargo, Walling et al piensan que la DNDM es una variante del SS y sería idéntica al PG atípico y la vasculitis pustulosa de las manos, por ello proponen que el término DNDM es el más adecuado para referirse a este cuadro clínico, prefiriéndolo al de dermatitis neutrofílica de las manos, propuesta por Weening5, para reflejar la localización primaria en la mayoría de los casos.
Conflicto de intereses
Declaramos no tener ningún conflicto de intereses.
Correspondencia:
Cecilia Laguna.
Servicio de Dermatología.
Hospital General Universitario de Valencia. España.
Avda. Tres Cruces, s/n. 46014 Valencia.
Correo electrónico: cecipru@comv.es
Aceptado el 2 de agosto de 2006.







