INTRODUCCION
Durante el embarazo se producen una serie de modificaciones vasculares, endocrinas, metabólicas e inmunológicas que hacen a la mujer embarazada especialmente susceptible a un grupo de cambios cutáneos, tanto fisiológicos como patológicos. Las dermatosis del embarazo se presentan como consecuencia de estas alteraciones. La afectación cutánea en una mujer embarazada puede ser consecuencia de los cambios fisiológicos del embarazo, de enfermedades exacerbadas durante el embarazo, enfermedades que solamente se presentan durante el embarazo y de las que son específicas del embarazo. Las enfermedades que se presentan durante el embarazo son aquellos cuadros clínicos que aparecen solamente durante el embarazo, encuadrándose dentro de este grupo al impétigo herpetiforme (una forma de psoriasis pustulosa) y a la colestasis del embarazo (CE) (un cuadro ocasionado primariamente por afectación hepática). Cuando se habla de dermatosis específicas del embarazo en sentido estricto nos referimos a aquellas enfermedades dermatológicas con características peculiares y que han sido descritas mayoritariamente durante el embarazo o el postparto inmediato. Las dermatosis específicas del embarazo descritas hasta la actualidad son: herpes gestationis (HG), erupción polimorfa del embarazo (EPE), prúrigo del embarazo (PE) y la foliculitis del embarazo (FE). La sutil distinción entre las enfermedades específicas del embarazo y las enfermedades que solamente se presentan durante el embarazo está recogida de diferente forma por diversos autores, lo que ocasiona algunas variaciones en términos de clasificación1, 2 (tabla 1).
La clasificación de las dermatosis del embarazo ha sido complicada lo largo del tiempo3, tanto por la propia complejidad y polimorfismo de los diversos cuadros como por la descripción recurrente de una misma entidad con distinta nomenclatura. La aparición de criterios distintivos para la catalogación de los distintos procesos y la consolidación a lo largo del tiempo han sido los factores que han contribuido a la simplificación en la clasificación de las dermatosis del embarazo. El mes de gestación en que aparece el cuadro, los hallazgos histológicos y los resultados de la inmunofluorescencia directa son los datos fundamentales que nos permitirán clasificar cada proceso.
La clasificación más aceptada y que ha demostrado su utilidad en estudios prospectivos es la realizada por Holmes et al4, 5. Sin embargo, siguiendo los criterios elaborados por estos autores todavía quedan enfermas sin un diagnóstico de certeza6, 7, pudiendo aparecer en un futuro nuevos procesos, o simplificarse la clasificación por solaparse cuadros que actualmente se consideran como distintos8. Shornick et al incluyen la FE como una forma de PE, mientras que nosotros preferimos mantenerla separada nosológicamente debido a la presencia de inflamación aguda folicular en aquélla y ausencia de cambios inflamatorios específicos en el PE8.
La verdadera incidencia de las dermatosis del embarazo es difícil de calcular debido a los diferentes criterios de inclusión, a la escasa frecuencia de algunos procesos y a que muchas pacientes no son referidas para su estudio y diagnóstico correcto por parte de los ginecólogos al dermatólogo. Así, la incidencia descrita para el HG ha sido muy variable, obteniéndose la mayoría de los datos por extrapolación. El estudio prospectivo más amplio ha sido el realizado durante un año por Roger et al7 de 3.192 embarazadas, que encontraron una incidencia del 0,5% de EPE, 0,5% de CE, 0,2% PE y muy pocos casos de HG y FE como para establecer cifras definitivas (dos casos de HG y uno de FE). En el estudio realizado por Vaughan Jones et al sobre 200 mujeres tratadas en una consulta dermatológica de referencia para dermatosis producidas durante el embarazo9 destaca el alto porcentaje de eccemas en contraposición al bajo de PE, señalando estos autores que en otras series algunas de estas pacientes pudieran estar catalogadas de forma distinta. En este mismo trabajo incluyen como FE cuadros que no presentan inflamación aguda folicular en la histología, añadiendo una dificultad más para establecer la incidencia real de las diversas dermatosis, pues no utilizan criterios comunes a otros autores9, 10.
HERPES GESTATIONIS
El HG es una enfermedad ampollosa del embarazo y del puerperio, determinándose por extrapolación una frecuencia desde 1 por 4.000 hasta 1 en cada 50.000 embarazos6. Se ha asociado con mayor frecuencia con HLA DR2 y DR3 fenotipo C4 null11-13, no habiéndose encontrado diferencias raciales en su presentación.
La descripción del HG con este término la realizó Milton en 1872 en su capítulo sobre los pénfigos14. Hasta la descripción del depósito de C3 en la membrana basal por Provost y Tomasi en 197315 existió la controversia de su asociación con la dermatitis herpetiforme, el pénfigo o el penfigoide16.
Manifestaciones clínicas
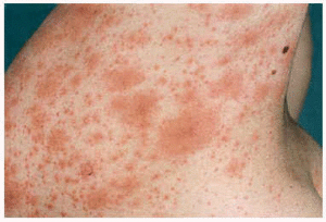
La clínica consiste en la aparición de prurito exasperante, asociado a lesiones urticariformes o ampollosas durante el segundo o tercer trimestre del embarazo. La localización preferente de las lesiones es el abdomen, a menudo alrededor o próximas al ombligo con posterior expansión al resto de la superficie corporal (fig. 1), la afectación de la cara es muy poco frecuente y la afectación mucosa se puede decir que inexistente. Las lesiones suelen progresar formando ve-sículas agrupadas y ampollas tensas (fig. 2). La evolución del cuadro y el grado de afectación son muy variables, normalmente hay una remisión parcial en la última parte de la gestación y una exacerbación en el momento del parto o inmediatamente después de éste5, 8, 17. En algunos casos hasta la resolución total del proceso se pueden presentar pequeños rebrotes premenstruales o en mitad del ciclo femenino18. Recurre en el 95% de los embarazos posteriores17, 19, siendo entonces la afectación más precoz y más intensa. No se ha podido determinar por qué en un 5% de los embarazos sucesivos no se desarrolla el cuadro. La enfermedad se reproduce tras la toma de anticonceptivos orales con contenido estrogénico en el 10% de las pacientes, no habiéndose descrito ningún caso de aparición espontánea por la toma de anticonceptivos sin que se haya presentado la erupción en un embarazo previo18, 20.
Fig. 1. Herpes gestationis. Lesiones en área abdominal de disposición preferente periumbilical.
Fig. 2. Herpes gestationis. Lesiones urticariformes y ampollosas confluentes.
Se ha descrito su presencia en pacientes con mola hidatidiforme y con coriocarcinoma, estando la intensidad del cuadro en relación con los niveles de gonadotropina coriónica (βHGC)21. Hasta la fecha no se ha asociado a coriocarcinoma testicular, lo cual sugiere la necesidad de tejido exógeno para su producción16, 22, 23.
Histología
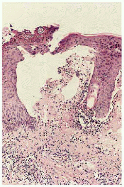
La histología en las lesiones urticarianas consiste en edema dérmico con infiltrado inflamatorio de linfocitos y eosinófilos de localización perivascular con algunos eosinófilos intersticiales. Previamente a la formación de la vesícula se pueden apreciar eosinófilos dispuestos linealmente y agregados a la unión dermo-epidérmica. Posteriormente se forma la ampolla de localización subepidérmica (fig. 3). En ocasiones se puede apreciar espongiosis eosinofílica. Algunos autores han descrito necrosis de queratinocitos en estadios iniciales. Se ha determinado depósito de las proteínas de los gránulos de los eosinófilos a nivel intersticial y adyacente a la membrana basal24. Con el microscopio electrónico aparte de los datos previos se puede apreciar que la ruptura de la membrana basal se localiza a nivel de la lámina lúcida8.
Fig. 3. Herpes gestationis. Histología: ampolla subepidérmica con cúmulo inflamatorio en unión dermoepidérmica (henatoxilina-eosina x20).
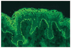
Los estudios de inmunofluorescencia directa muestran el criterio sine qua non del HG, que es el depósito de C3 con o sin IgG a nivel de la unión dermo-epidérmica (fig. 4). El uso de la técnica de piel hendida por inmersión en cloruro sódico 1 molar revela que los inmunorreactantes se depositan en el lado epidérmico con el mismo patrón que en el penfigoide ampolloso8. El microscopio electrónico los localiza preferentemente en los hemidesmosomas25. Por inmunofluorescencia indirecta se puede encontrar IgG circulante en el 25% de los casos, aunque este porcentaje aumenta si se emplean técnicas más refinadas26.
Fig. 4. Herpes gestationis. Estudio de inmunofluorescencia directa. Depósito de C3 en unión dermoepidémica.
Laboratorio
Los datos de laboratorio son poco específicos, se encuentra eosinofilia en un alto porcentaje de casos y se sugiere que podría estar en relación con el grado de enfermedad. Se ha encontrado aumento en suero de las proteínas de los gránulos de los eosinófilos24, 27. Las pacientes presentan anticuerpos circulantes contra la membrana basal, predominantemente de tipo IgG1 y en menor medida IgG3 con gran capacidad para fijar complemento28, 29. Debido a que inicialmente no se reconoció como inmunoglobulina la proteína capaz de fijar complemento en la membrana basal, ésta fue denominada como herpes gestationis factor30.
Los estudios de inmunogenética han demostrado un aumento de frecuencia de antígenos HLA DR3 y HLA DR4 así con el fenotipo C4 null en las pacientes con HG, de forma semejante a otros cuadros autoinmunes. También se ha determinado un leve aumento de frecuencia de HLADR2 en las parejas de las pacientes afectas de HG12.
Patogenia
La enfermedad parece ser autoinmune, producida por la síntesis de anticuerpos antimembrana basal durante el embarazo. Se ha demostrado que los anticuerpos circulantes del HG se dirigen contra una proteína transcitoplasmática de 180 Kd, localizada fisiológicamente en los hemidesmosomas con el terminal amino situado en el citoplasma y el terminal carboxílico localizado extracelularmente. Esta proteína es idéntica al antígeno menor del penfigoide ampolloso (180-BP)31, 32. Patogénicamente se cree que los anticuerpos se fijan a la membrana basal y son capaces de activar complemento, fundamentalmente por la vía clásica33, 34. La quimiotaxis de eosinófilos y posterior degranulación de sus enzimas proteolíticas sería posteriormente la responsable de la disolución de la unión dermoepidérmica24, 27.
Los estudios realizados en placentas normales y de pacientes con HG han demostrado que los anticuerpos del HG se fijan en la membrana basal del amnios, hecho esperado dado que éste procede del ectodermo fetal. Otro hallazgo es que las placentas de las pacientes con HG presentan un infiltrado inflamatorio con aumento de expresión de moléculas HLA DR, DP, con ba-ja expresión de moléculas DQ. Este patrón de inflamación es el que se aprecia en las reacciones alogénicas autoinmunes35. En la placenta de las pacientes con HG el antígeno de 180 Kd está presente en el contexto de una reacción alogénica mediada por las moléculas HLA paternas, y como tal puede no ser reconocido como una molécula propia y desencadenarse la respuesta inmune36; mientras que exista este estímulo inmune (por la persistencia de la placenta) se mantendrá la enfermedad35, 37.
Riesgo fetal y materno
El recién nacido puede estar afecto con una erupción moderada en un 10% de los casos, típicamente la afectación es autolimitada, resolviéndose en unos días o semanas17. La afectación subclínica debe ser frecuente, ya que la inmunofluorescencia en la piel del recién nacido ha sido positiva en aquellos casos que se ha buscado38.
Parece confirmarse que hay una tendencia a la prematuridad y a bajo peso para la edad gestacional de los neonatos; no se han confirmado los estudios previos que encontraban un aumento de mortalidad fetal20, 39-41. El uso de corticoesteroides durante el embarazo no parece modificar el riesgo20.
Enfermedades asociadas
Se ha descrito que las pacientes con HG presentan con mayor frecuencia enfermedades autoinmunes, quizá debido a una mayor coincidencia con el HLA DR2 y DR3. Se ha encontrado una asociación clara con enfermedad de Graves (presente en el 10% de las pacientes con HG) y con la presencia de anticuerpos para las células parietales del estómago. También se ha documentado un aumento de frecuencia de enfermedad tiroidea y de anemia perniciosa en los familiares de las pacientes con HG42.
Tratamiento
Normalmente los corticosteroides tópicos y los antihistamínicos son insuficientes. El tratamiento de elección lo constituyen los corticosteroides orales a una dosis estándar inicial de 0,5 mg/kg/día y dosis menores de mantenimiento. Se ha utilizado sulfona, ritodrina, piridoxina y ciclosporina43-45 como alternativa o complemento de los corticosteroides, y el oro, ciclofosfamida, plasmaféresis, inmunoglobulina intravenosa y análogos de la LHRH en situaciones especiales o de persistencia posparto6,46,47. En los casos asociados a coriocarcinoma el metrotexate es de elección.
Relación con el penfigoide
Debido a la semejanza clínica y de inmunofluorescencia entre el HG y el penfigoide ampolloso ha habido diversos autores que han propuesto el término de penfigoide gestacional (pemphigoid gestationis)48. Sin embargo, aun aceptando el término «herpes» como anacrónico, hay otros autores que apoyan su supervivencia basándose en el distinto contexto clínico (enfermedad del embarazo), predisposición genética (asociación con el HLA) y falta de reactividad con el antígeno BP-230 Kd del penfigoide ampolloso6.
ERUPCIÓN POLIMORFA DEL EMBARAZO
La EPE es la dermatosis más frecuente del embarazo, estimándose su incidencia en 1 de cada 150 embarazos7, 49. La variada morfología clínica de esta enfermedad ha ocasionado que a lo largo del tiempo se le hayan atribuido diferentes denominaciones que incluyen prúrigo tardío, rash toxémico y pápulas y placas urticarianas pruriginosas del embarazo. Ante la confusión terminológica, fue Holmes quien propuso este término, utilizado especialmente por los dermatólogos europeos49-51.
El cuadro se presenta habitualmente en primigestas durante el último trimestre del embarazo (preferentemente en el último mes)52, 53 con lesiones muy pruriginosas. Las lesiones pueden ser papulosas de pocos milímetros de tamaño, localizadas preferentemente en las estrías (fig. 5), en placas urticariformes (fig. 6) o de disposición folicular (fig. 7), no siendo infrecuente que una misma paciente presente simultáneamente lesiones de distinto tipo19, 54-56. Ocasionalmente se pueden ver lesiones en diana y vesículas de pequeño tamaño49. La erupción es autolimitada, no presenta recurrencias en partos posteriores ni con la toma de anticonceptivos orales. El pronóstico materno y fetal es bueno, y es curioso con respecto al sexo de los neonatos que los hombres duplican a las mujeres9.
Fig. 5. Erupción polimorfa del embarazo. Lesiones dispuestas preferentemente en las estrías de distensión.
Fig. 6. Erupción polimorfa del embarazo. Lesiones urticariformes diseminadas.
Fig. 7. Erupción polimorfa del embarazo. Lesiones de localización preferente perifolicular.
Fig. 8. Prúrigo del embarazo: lesiones escoriadas en extremida- des inferiores.
La histopatología es inespecífica, apreciándose un infiltrado inflamatorio perivascular superficial linfocitario. El número de eosinófilos es variable y pueden ser abundantes27. Dependiendo del tipo de lesión clínica biopsiada y de la evolución de ésta se pueden apreciar áreas de espongiosis en las lesiones iniciales y acantosis con paraqueratosis en las más tardías. La inmunofluorescencia es consistentemente negativa57.
La patogenia de la enfermedad es desconocida, la localización de las lesiones en las estrías sugiere que el cuadro debiera tener relación con la distensión abdominal58, 59. Algunos autores han relacionado la presencia de EPE con existencia de embarazos múltiples60, ganancia de peso materno y ganancia de peso fetal, datos que corroborarían la hipótesis anterior. Aractingi et al61 han encontrado presencia de ADN fetal en la epidermis de mujeres diagnosticadas de EPE; sin embargo, ellos mismos postulan la necesidad de realizar estudios más finos para comprobar el verdadero valor patogénico de este hecho. La desproporción en el sexo de los neonatos de las mujeres con EPE a favor de varones sugiere, asimismo, que pudiera haber factores hormonales maternos que influirían en el desencadenamiento del cuadro9, 62.
El tratamiento es sintomático y consiste en corticosteroides tópicos de elevada potencia aplicados varias veces al día, así como emolientes y antihistamínicos sedantes.
PRURIGO DEL EMBARAZO
El término PE engloba procesos previamente descritos como «prúrigo gestationis de Besnier» y «prúrigo temprano del embarazo». Fue Nurse63 el primero en separar esta entidad basándose en la cronología de su aparición durante el segundo trimestre del embarazo. Clínicamente se caracteriza por presentar lesiones escoriadas muy pruriginosas tipo prúrigo en superficies extensoras, pero que ocasionalmente pueden ser diseminadas (fig. 8). No se ha encontrado un incremento en el riesgo fetal ni materno. La frecuencia de aparición descrita es variable ya que muchos cuadros diagnosticados como eccema se pudieran catalogar como PE9. Roger et al7 estiman una frecuencia de aparición de 1 en 450 embarazos. La histopatología es inespecífica, predominando los fenómenos propios del rascado. La inmunofluorescencia siempre es negativa.
Algunos autores describen el cuadro preferentemente en mujeres que presentan rasgos personales o familiares de atopia y se considera que su aparición se debería a la unión de una predisposición personal junto a los cambios propios del embarazo. En una aproximación estiman que si un 18% de las embarazadas padecen fisiológicamente prurito, y que un 10% de la población presenta rasgos de atopia, sería de esperar que alrededor de un 2% de los embarazos cursaran con PE5. Sin embargo, otros autores no encuentran la asociación con atopia7.
El tratamiento propuesto es sintomático, con corticosteroides tópicos, emolientes y antihistamínicos.
FOLICULITIS DEL EMBARAZO
Descrita inicialmente por Zoberman y Farber10, es muy infrecuente. Clínicamente se presenta como una erupción monomorfa, papulosa, folicular que aparece desde el cuarto al noveno mes del embarazo, resolviéndose después del parto y recurriendo en embarazos posteriores. En la histopatología se aprecia una foliculitis aguda, con infiltrado neutrofílico y cultivos bacterianos negativos.
Debido a su morfología el cuadro se ha interpretado como una «reacción acneiforme» producida por las alteraciones hormonales propias del embarazo. Hay autores que han detectado un aumento de andrógenos circulantes, hecho no corroborado por otros9, 64,. Se ha tratado con peróxido de benzoilo y con corticosteroides tópicos con buena respuesta5, 64.
IMPÉTIGO HERPETIFORME
El impétigo herpetiforme es un cuadro descrito inicialmente por Hebra en 1872, sobre el que a principios del siglo XX había gran controversia con respecto a su nosología65. Actualmente se considera una forma peculiar de psoriasis pustulosa que se presenta durante el embarazo, habiéndose descrito tanto en pacientes ya diagnosticadas de psoriasis como en pacientes sin lesiones previas. Clínicamente se carac-teriza por presentar placas eritematosas con borde pustuloso localizadas preferentemente en flexuras. Presenta recidiva en embarazos posteriores y con la toma de anticonceptivos con componente estrogénico. Se puede asociar con hipocalcemia, y en la época preesteroidea, con alteración metabólica pronunciada. Previamente a la utilización de prednisona oral comportaba gran riesgo para la madre y para el feto66.
COLESTASIS DEL EMBARAZO
Se está detectando un aumento de su incidencia, quizá debido a una mayor vigilancia e investigación. Clínicamente se presenta durante el tercer trimestre del embarazo con prurito intenso (a diferencia del prurito fisiológico que suele presentarse durante los primeros meses) y en ocasiones erosiones debidas al rascado8. El prurito comienza muchas veces en palmas y plantas y posteriormente se extiende a brazos, piernas, tronco y cara. En los casos extensos puede afectar oídos, párpados y boca67. Las pacientes pueden presentar ictericia, coluria y malabsorción de grasas. Los síntomas desaparecen en 24-48 horas después del parto y la ictericia en 1 ó 2 semanas1, 8.
Los estudios histopatológicos de la piel son completamente inespecíficos; el estudio hepático de los casos intensos puede mostrar inflamación leve con conductos biliares dilatados y depósito de pigmentos biliares. Estos cambios son reversibles tras el parto. Siempre hay un aumento de enzimas hepáticas y, a veces, de la bilirrubina en sangre que confirman el diagnóstico67.
El pronóstico fetal es malo, con aumento de la mortalidad fetal y prematuridad; en casos graves el déficit de vitamina K puede ocasionar hemorragia intracraneal, estando indicada la inducción prematura del parto. Además del riesgo de malabsorción y coagulopatía por déficit de vitamina K no parece haber aumento de morbilidad ni mortalidad materna. Existen recurrencias en al menos el 50% de los embarazos posteriores y con el uso de anticonceptivos orales. La patogenia de la enfermedad es desconocida. Ha sido descrita más frecuentemente en los países nórdicos y en Chile, con historia familiar del mismo proceso en un 50% de los casos, habiéndose encontrado en familiares de las pacientes (tanto hombres como mujeres) alteración en el aclaramiento hepático de bromosulftaleína inducido por estrógenos. Asimismo se ha encontrado una asociación elevada con el HLA B8 y BW168.
Los casos leves pueden responder a tratamiento emoliente, pero en la mayoría de los casos se requiere tratamiento con resinas de intercambio iónico como la colestiramina o el ácido ursodeoxicólico, que incluso mejora el riesgo fetal. Otros tratamientos empleados han sido la ultravioleta B (UVB) y el epomediol1, 8, 67.
OTROS CUADROS
Muchos casos de «dermatosis de embarazo» se han basado en aportaciones individuales, que con el paso del tiempo han quedado englobados en otro cuadro más definido, a pesar de lo cual han quedado per-petuadas incluso en libros de texto. La «dermatitis IgM lineal del embarazo» se refiere a un caso aislado descrito en 1988, caracterizado por lesiones foliculares, sin foliculitis en el estudio histológico y un depósito denso lineal de IgM en el estudio de inmunofluorescencia68. Otros autores han encontrado pacientes con una erupción compatible con EPE y anticuerpos IgM circulantes antimembrana basal detectables por inmunofluorescencia indirecta69. Posteriormente estos mismos autores no han encontrado valor patogénico a este hallazgo al encontrar este mismo hecho en mujeres sanas embarazadas y no embarazadas70. Spangler et al71 sugirieron la existencia de otra entidad que ellos denominaron «dermatitis papulosa del embarazo», y destacan que pudiera estar asociada a un aumento considerable del riesgo fetal. Clínicamente el cuadro se caracterizaba por presentar lesiones diseminadas por un aumento en la gonadotropina coriónica urinaria y disminución del cortisol plasmático y estriol urinario. Reevaluados sus casos se puede apreciar que los criterios de inclusión con respecto a la mortalidad fetal están sobrestimados, sin presentar controles con respecto a las anormalidades bioquímicas aportadas, y que la descripción clínica de sus pacientes pudiera corresponder a los cuadros más floridos de la EPE o del PE5.
COROLARIO
La valoración de una dermatosis en una mujer embarazada conlleva una cierta carga de ansiedad debido a la posible morbilidad fetal y materna, por lo que la actuación del dermatólogo en el diagnóstico de certeza se hace cada vez más necesario. Sin embargo, dado que existe una mentalidad de padecimiento en las embarazadas, pudiera ser que los casos menos floridos no consulten al dermatólogo, quedándose con un tratamiento sintomático por parte del ginecólogo. Cuando se evalúa un proceso cutáneo en una embarazada se debe valorar si el cuadro cutáneo por el que se consulta corresponde a un proceso relacionado o no con el embarazo. En ocasiones los dermatólogos somos requeridos para descartar una enfermedad parasitaria. Una vez hecha la primera aproximación clínica es inexcusable la realización de análisis bioquímicos que descarten afectación hepática, y puede ser muy necesaria la realización de biopsia con estudio de inmunofluorescencia. Algunos autores han subestimado la necesidad de estudio histológico y de inmunofluorescencia para la EPE; sin embargo, existen numerosos casos en los que no se puede llegar a una distinción clara con respecto al HG, debiendo ser responsabilidad nuestra adelantar el pronóstico con respecto a posibles embarazos posteriores y afectación neonatal72.












