El tricoblastoma es una neoplasia cutánea benigna, con un aspecto clínico e histológico similar al carcinoma basocelular nodular. Comunicamos los hallazgos dermatoscópicos de 2 casos de tricoblastomas localizados en la cara. Un caso presentaba telangiectasias muy finas y cortas, poco ramificadas, sobre un fondo blanquecino perlado. El otro caso mostraba vasos cortos y poco ramificados dispuestos en corona, con estrías blancas y puntos similares a quistes de milium. Aunque las telangiectasias finas y poco ramificadas no son un criterio específico del tricoblastoma, pueden resultar útiles en el diagnóstico diferencial frente al carcinoma basocelular nodular.
Trichoblastoma is a benign cutaneous neoplasm that is clinically and histologically similar to basal cell carcinoma. We report the dermoscopic features seen in 2 cases of facial trichoblastoma. One case presented with very short, delicate, scarcely branching telangiectases against a pearly white background. In the second case, the veins were also short and scarcely branching, but they were arranged in a crown pattern, with white striae and milia-like cysts. Although dermoscopic evidence of fine, scarcely branching telangiectases is not specific to a diagnosis of trichoblastoma, these features may be useful for differentiating this neoplasm from nodular basal cell carcinoma.
El tricoblastoma es una neoplasia cutánea benigna que pueden aparecer sobre cualquier superficie con folículos pilosos, preferentemente en cuero cabelludo y cara. Habitualmente aparece como un nódulo solitario de color piel normal de 1-2cm, no ulcerado y que puede mostrar telangiectasias en superficie. Clínicamente el diagnóstico diferencial se debe establecer principalmente con el carcinoma basocelular1.
Casos clínicosCaso 1Se trata de un hombre de 68 años con antecedentes de múltiples carcinomas basocelulares en la cara. En una exploración rutinaria se observó una placa blanquecina de 9mm situada en la sien izquierda, de límites bien definidos y escasamente infiltrada. El estudio dermatoscópico mediante dermatoscopio de luz polarizada de contacto (DermLite FOTO, 3Gen LLC, Dana Point, California, EE. UU.), con gel de ecografía como interfase, mostró unas telangiectasias muy cortas y finas con algunas ramificaciones, situadas de forma aleatoria en toda la lesión, sobre un fondo blanquecino perlado (fig. 1).
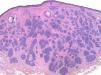
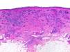
El estudio histopatológico mostraba nidos de tamaño variable de células basaloides con diferenciación pilosa situados en la dermis, sin conexión con la epidermis. El estroma tumoral era abundante y densamente fibrocítico (fig. 2).
Caso 2Mujer de 52 años que consultó por una pápula de 4mm en el mentón, de aproximadamente 8 meses de evolución. En el examen dermatoscópico destacaban unos vasos cortos escasamente ramificados dispuestos radialmente, adoptando una configuración en corona, que atravesaban una estructura anular con estrías blancas y puntos blancos similares a quistes de milium (fig. 3).
En el estudio histopatológico se apreciaban nidos tumorales de células basaloides que ocupaban la totalidad de la dermis, sin afectar la epidermis. El estroma era denso y contenía un elevado número de fibroblastos (fig. 4).
DiscusiónEl tricoblastoma es un tumor cutáneo benigno con diferenciación hacia células germinativas foliculares. Se considera que el tricoepitelioma, el tricoepitelioma desmoplásico y el linfadenoma cutáneo (tricoblastoma adamantoide) son variantes histopatológicas de tricoblastoma. Histológicamente se aprecia la formación de bulbos y papilas foliculares, así como un abundante estroma densamente fibrocítico1,2. Desde un punto de vista clínico e histopatológico el diagnóstico diferencial del tricoblastoma se plantea sobre todo con el carcinoma basocelular nodular.
La dermatoscopia es una herramienta diagnóstica muy útil en el diagnóstico de los tumores cutáneos. En los casos aquí descritos de tricoblastoma, la principal estructura dermatoscópica era la presencia de finas telangiectasias cortas y poco ramificadas. Las telangiectasias finas, cortas y poco ramificadas se han observado en otros tumores cutáneos de células basaloides, como el tricoepitelioma, el tricoepitelioma desmoplásico, el fibroepitelioma de Pinkus y, particularmente, en el carcinoma basocelular, así como en otras neoplasias cutáneas3,4 (ver tabla 1). En una muestra de 531 tumores cutáneos melanocíticos y no melanocíticos con un patrón vascular dermatoscópico, los vasos arboriformes se describieron en el 82,1% de los carcinoma basocelulares, el 16,7% de las hiperplasias sebáceas, el 3,2% de los nevus melanocíticos dérmicos o congénitos, el 2,4% de las queratosis seborreicas y el 0,7% de los melanomas5. Aunque las telangiectasias ramificadas sean un hallazgo común a un elevado número de neoplasias cutáneas, estas son de mayor calibre y más ramificadas en los carcinomas basocelulares nodulares, a diferencia de las neoplasias englobadas dentro del concepto de tricoblastoma (tricoblastoma, tricoepitelioma «clásico», tricoepitelioma desmoplásico), en que son finas y poco ramificadas6–8. El carcinoma basocelular superficial también presenta unas telangiectasias finas y cortas, en general sobre un fondo rojo blanquecino y con múltiples erosiones pequeñas, pero clínicamente no suele plantearse en el diagnóstico diferencial por tratarse de lesiones planas y no nodulares, como los tricoblastomas. Las ramificaciones del carcinoma basocelular esclerodermiforme tienden a ser más finas y menos ramificadas que las telangiectasias arboriformes típicas del carcinoma basocelular nodular o quístico. Además, en el carcinoma basocelular esclerodermiforme estas telangiectasias se localizan sobre un fondo blanquecino de límites poco definidos, en contraste con el fondo rosado, traslúcido y bien definido del carcinoma basocelular sólido o quístico9,10. El fibroepitelioma de Pinkus es generalmente considerado como una variante del carcinoma basocelular, aunque algunos autores consideran que el fibroepitelioma de Pinkus encaja mejor en el concepto de tricoblastoma «fenestrado», o una variante retiforme de tricoblastoma, que en el de carcinoma basocelular11. En el fibroepitelioma de Pinkus es una constante la presencia de vasos arboriformes finos, más delgados y menos ramificados que las telangiectasias de los carcinomas basocelulares. Son muy frecuentes las estrías blanquecinas, líneas septales blancas que traducen la intensa fibrosis del fibroepitelioma de Pinkus. También es habitual la presencia de vasos puntiformes más típicos de lesiones melanocíticas, que aquí aparecen en la periferia de la lesión y siempre asociados a vasos arboriformes finos, así como los quistes de milia asociados a las queratosis seborreicas12,13. El angiohistiocitoma o el poroma intraepidérmico pueden mostrar telangiectasias arboriformes, incluso estructuras en hojas, que los hacen clínica y dermatoscópicamente casi idénticos al carcinoma basocelular14. También se han observado vasos arboriformes en los quistes epidérmicos, aunque en estos casos su aspecto quístico, el poro central y el color homogéneo ofrecen pistas claras para el diagnóstico correcto10.
Características dermatoscópicas de neoplasias cutáneas con telangiectasias ramificadas
| Tumor | Patrón vascular | Otras características dermatoscópicas |
|---|---|---|
| Tricoblastoma | Telangiectasias arboriformes finas y pequeñas, vasos en corona | Fondo blanco perlado, quistes de milia, estrías blancas, ulceración, glóbulos marrones |
| Tricoepitelioma desmoplásico | Telangiectasias arboriformes pequeñas y delgadas, o prominentes | Fondo blanco perlado o marfileño, áreas blancas brillantes, quistes de queratina |
| Tricoepitelioma «clásico» | Telangiectasias arboriformes finas y pequeñas | Fondo blanco brillante, quistes de milia |
| Fibroepitelioma de Pinkus | Vasos arboriformes finos, vasos puntiformes | Estrías blancas, áreas desestructuradas gris-marrón asociadas con puntos azul-gris, quistes de milia, úlceras, comedones, imagen en negativo de hojas de arce y de ruedas radiadas |
| Carcinoma basocelular | Telangiectasias arboriformes, telangiectasias superficiales finas y cortas | Úlceras, pequeñas erosiones múltiples, hojas de arce, ruedas radiadas, estructuras concéntricas, patrón en arcoíris, rosetas, semitranslucencia, áreas brillantes rojo lechosas, áreas blancas brillantes, estrías y líneas blancas. Lesiones pigmentadas: nidos ovoides azul-gris, múltiples puntos o glóbulos azul-gris, múltiples puntos o glóbulos marrón-negro, velo azul-blanco |
En los tricoblastomas aquí descritos también se ha observado la presencia de vasos en corona, fondo blanco perlado, quistes de milia y estrías blancas brillantes. Todas estas estructuras dermatoscópicas también se han descrito previamente en otros tumores cutáneos de células basaloides, de modo que ningún hallazgo dermatoscópico puede considerarse patognomónico del tricoblastoma.
La presencia de estructuras blancas observada en estos tricoblastomas parece la traducción dermatoscópica de su estroma densamente fibroso, al igual que ocurre en el tricoepitelioma, el fibroepitelioma de Pinkus o el carcinoma basocelular esclerodermiforme. Aunque se ha señalado que el fondo blanco perlado o marfileño puede ser una característica de los tricoepiteliomas desmoplásicos frente al fondo blanco brillante de los tricoepiteliomas «clásicos», se trata de un hallazgo dermatoscópico difícil de diferenciar y para el cual no se ha estudiado la concordancia entre observadores15.
ConclusionesLas estructuras dermatoscópicas presentes en los 2 tricoblastomas descritos han sido observadas en otras neoplasias de células basaloides como el tricoepitelioma, el tricoepitelioma desmoplásico, el fibroepitelioma de Pinkus y, particularmente, el carcinoma basocelular. En los 2 casos presentados de tricoblastoma, el único hallazgo dermatoscópico común es la presencia de telangiectasias finas, cortas y poco ramificadas. Aunque este patrón vascular se ha observado en diferentes neoplasias clínicamente similares a los tricoblastomas, puede resultar de interés en el diagnóstico diferencial frente al carcinoma basocelular nodular.
Responsabilidades éticasProtección de personas y animalesLos autores declaran que para esta investigación no se han realizado experimentos en seres humanos ni en animales.
Confidencialidad de los datosLos autores declaran que han seguido los protocolos de su centro de trabajo sobre la publicación de datos de pacientes.
Derecho a la privacidad y consentimiento informadoLos autores declaran que en este artículo no aparecen datos de pacientes.
Conflicto de interesesLos autores declaran no tener ningún conflicto de intereses.







