Introducción
La dermatomiositis (DM) es una dermatomiopatía inflamatoria idiopática, es decir, una entidad que participa de manifestaciones cutáneas y musculares como parte de un espectro que oscila entre la afectación estrictamente muscular (polimiositis) o cutánea (DM amiopática). Dicha entidad está definida por una serie de criterios clínico-analíticos objetivos (los más difundidos corresponden a Bohan et al1), que dotan de plausibilidad creciente a este diagnóstico.
La DM es una conectivopatía estrechamente relacionada con procesos neoplásicos de base, como demuestran estudios clásicos2,3, dicha asociación es particularmente llamativa con el carcinoma de ovario4.
Las queratodermias punctatas (sinónimo: papulosa o disseminata) son un conjunto de entidades de etiología variable, que presentan como manifestación común lesiones queratósicas de pequeño tamaño, salpicadas predominantemente en palmas y plantas. La queratodermia poroqueratósica punctata (QPP) es una de estas entidades, definida por su histología (presenta una estructura similar a la lamela cornoide observada en la poroqueratosis)5, siendo habitualmente esporádica, aunque hay casos paraneoplásicos comunicados6,7.
Caso clínico
Mujer de 72 años de edad con una erupción de dos semanas de evolución. En la exploración física se observaban en la raíz de ambos miembros inferiores y en el hombro izquierdo placas eritemato-purpúricas, edematosas e intensamente pruriginosas con una zona central atrófica y pigmentaria (fig. 1). También se observaban pápulas hiperqueratósicas de 2-5 mm alojadas en depresiones epidérmicas, distribuidas en ambas palmas y cara volar de varios dedos de las manos (fig. 2). Estas lesiones habían ido apareciendo en los últimos meses, pero no existían antecedentes familiares de queratodermia ni historia de exposición a arsénico.
Figura 1. Placa eritematoviolácea de centro poiquilodérmico, localizada sobre la cadera derecha.
Figura 2. Pápulas queratósicas de 2-3 mm de diámetro, localizadas en la cara volar de varios dedos de las manos.
Así mismo la paciente refirió pérdida de 7 kg de peso y una debilidad muscular progresiva que la incapacitaba para incorporarse sin ayuda en los últimos 3-4 meses.
Fueron practicadas analíticas básicas incluyendo bioquímica, hematología, coagulación, orina y estudio inmunológico (anticuerpos antinucleares [ANA], antígeno extraíble del núcleo [ENA], AntiDNA, C9) que no mostraron alteraciones. La determinación de enzimas musculares mostró elevación de creatinfosfocinasa (CPK) hasta valores de 2.999 UI/l (20-130), GOT 95 UI/l (5-45), lacticodeshigrogenasa (LDH) 435 UI/l (90-230) y aldolasa 46,8 UI (0,60-7,60). La realización de un panel de marcadores tumorales mostró niveles elevado de CA125: 670 UI/ml (límite superior 35 UI/ml), mientras el resto de los marcadores incluyendo bhCG, CA15.3 y CA19.9 fueron normales.
Un electromiograma mostró un patrón miopático discreto, sin embargo la biopsia muscular no evidenció alteraciones microscópicas.
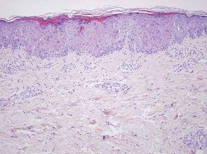
Se practicó una biopsia del borde activo de una de las placas de las caderas, observando un infiltrado linfohistiocitario en la unión dermo-epidérmica con vacuolización de la basal y queratinocitos necróticos a distintos niveles en la epidermis. También se observó un infiltrado perivascular-perianexial con reducción de las estructuras anexiales (fig. 3). Esta biopsia era compatible con el diagnóstico de DM.
Figura 3. Biopsia del margen activo de placa en cadera. Dermatitis de interfase con vacuolización parcheada de la basal y queratinocitos necróticos, infiltrado perivascular y perianexial en dermis (hematoxilina-eosina, x40).
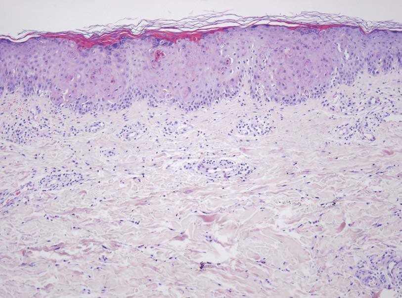
Se realizó otra biopsia de las lesiones hiperqueratósicas palmares, observando una columna compacta de hiperqueratosis paraqueratósica con hipogranulosis y un denso infiltrado inflamatorio perivascular subyacente (fig. 4). Esta biopsia dio el resultado de QPP.
Figura 4. Biopsia de pápula queratósica palmar. Columna compacta de hiperqueratosis paraqueratósica delimitada de ortoqueratosis adyacente, hipogranulosis e infiltrado inflamatorio perivascular (hematoxilina-eosina, x40).
Fue solicitada una tomografía computarizada toraco-abdómino-pélvica, que mostró una masa ovárica en anejo izquierdo de aproximadamente 10 cm de diámetro, así como múltiples linfadenopatías retroperitoneales. Se practicó una histerectomía con doble anexectomía con diagnóstico histopatológico de cistoadenocarcinoma seroso ovárico (FIGO III).
Un mes después de la extirpación quirúrgica tumoral los cambios en las enzimas musculares y las lesiones en la raíz de los muslos desaparecieron, mientras que las pápulas hiperqueratósicas palmares mejoraron de forma llamativa.
Discusión
Presentamos un caso que cumple criterios suficientes como para considerar una DM con alta probabilidad (Bohan et al)1: exantema eritemato-purpúrico que afecta a las caras extensoras de los miembros (caderas, hombro), pruriginoso y con poiquilodermia asociada; dicho exantema además se asocia a debilidad muscular simétrica proximal, elevación de enzimas musculares y cambios electromiográficos. La ausencia de alteraciones microscópicas en la biopsia muscular ha sido observada en un 25 % de los casos de DM8.
La asociación de DM a tumores malignos es un fenómeno bien conocido, particularmente observado en pacientes mayores de 50 años. De hecho, los pacientes con DM tienen un mayor riesgo relativo de padecer una neoplasia oculta (en varones el riesgo relativo es de 2,4, mientras que en mujeres es de 3,4)2. Aunque el carcinoma ovárico ha sido considerado la neoplasia más frecuentemente asociada a DM, también se han descrito muchos otros tipos de tumores en asociación. En este sentido, varios estudios muestran que las mujeres con DM presentan 17 veces más riesgo de carcinoma ovárico que el grupo control (con la misma edad pero sin DM)8.
La QPP es una rara enfermedad descrita por Herman en 1973 y Friedman en 19885, incluida en el grupo de las llamadas queratodermias punctatas, un conjunto de enfermedades caracterizadas por pápulas queratósicas salpicadas, predominantemente en palmas y plantas. Se han descrito hasta la fecha menos de 14 casos de QPP7, la mayoría esporádicos, pero existen casos hereditarios con un mecanismo de transmisión autosómico dominante.
La asociación entre QPP y neoplasias malignas es un hecho extremadamente infrecuente, que se ha descrito hasta el momento sólo en relación con el carcinoma bronquial6,7. Sin embargo, hasta donde sabemos, no existen casos descritos de asociación entre QPP y carcinoma ovárico. Los casos en que la QPP se asocia a neoplasia tienden a desarrollarse en edades avanzadas (más allá de la quinta década de la vida) y a evolucionar de forma rápida en meses, como en nuestro caso.
Hay que considerar como posibles diagnósticos diferenciales de la QPP la enfermedad de Brauer-Buschke-Fisher (hereditaria, con comienzo en la adolescencia e hiperqueratosis ortoqueratósica en la histología), las queratosis arsenicales (con una histología próxima a la queratosis actínica), la poroqueratosis punctata (presenta lamela cornoide en la histología, pero con apariencia típicamente inclinada y queratinocitos disqueratóticos, a diferencia de QPP)5 y la hiperqueratosis palmar filiforme (caracterizada clínicamente por la apariencia espinulosa de las lesiones)9. Todas estas entidades se diferencian de la QPP por criterios clínico-histológicos.
Se podría plantear también un diagnóstico diferencial con manifestaciones de la DM ocasionalmente observadas en las manos, como las llamadas manos de mecánico; pero la apariencia clínica es diferente (aspecto de eczema crónico-psoriasiforme), y la histología constaría de una dermatitis de interfase (no observada en relación con las pápulas queratósicas biopsiadas) como corresponde a una manifestación de la DM.
En resumen, presentamos por vez primera el caso de una mujer de 72 años de edad que desarrolló una QPP y una DM como manifestaciones paraneoplásicas simultáneas de un carcinoma ovárico, ya que dichas manifestaciones se resolvieron (DM) o mejoraron de forma notoria (QPP) tras la extirpación de la neoplasia subyacente.
Conflicto de intereses
Declaramos no tener ningún conflicto de intereses.
Correspondencia:
Ricardo Valverde Garrido.
Servicio de Dermatología. Hospital Universitario 12 de Octubre.
Planta baja, Hospital Materno-Infantil.
Avda. de Córdoba s/n 28041. Madrid.
ri_valverde@hotmail.com
Aceptado el 12 de septiembre de 2006.






