Los dermatofitos son hongos patógenos, típicamente queratinofílicos. En pacientes inmunocompetentes raramente invaden dermis y tejido celular subcutáneo debido a la existencia de mecanismos inmunológicos de defensa tanto inespecíficos (neutrófilos y macrófagos) como específicos (humorales y celulares).
En pacientes inmunodeprimidos las lesiones pueden ser atípicas y existe el riesgo potencial de diseminación sistémica. Trichophyton rubrum es la especie más frecuentemente aislada en pacientes con SIDA. Nuestro caso es atípico, tanto por la presentación clínica como por el agente causal, Microsporum canis, que ha sido aislado de forma excepcional en los pacientes con infección por el VIH.
DESCRIPCION DEL CASO
Hombre de 37 años de edad, ex ADVP, que vivía como indigente; había sido diagnosticado de infección por el VIH en estadio C3 (CD4:1), con infección diseminada por citomegalovirus y estaba en tratamiento con antirretrovirales, cotrimoxazol, myambutol y gamciclovir. Acudió a nuestra consulta con lesiones faciales de 4 meses de evolución.
En la exploración se observaba nódulos asintomáticos, de 1 cm de diámetro, de superficie lisa, bien delimitados, no adheridos a planos profundos. Se localizaban en área submentoniana y regiones preauriculares, con distribución simétrica (Fig. 1). No existía afectación palmoplantar, ni ungueal, ni en otras localizaciones cutáneas. El paciente se encontraba afebril y sin sintomatología general acompañante.
FIG. 1.--Nódulos de aproximadamente 1 cm de diámetro, de superficie lisa, localizados en área submentoniana.
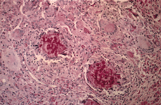
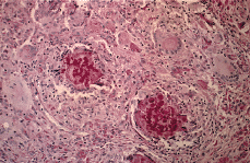
Con el diagnóstico de sospecha de micobacteriosis o micosis profunda se realizó estudio histológico y cultivo para bacterias, micobacterias y hongos. En la biopsia se observó, por debajo de una epidermis normal, una densa infiltración dérmica granulomatosa, constituida por células gigantes multinucleadas, macrófagos y linfocitos (Fig. 2). Con la técnica de PAS se observaron algunas hifas tabicadas y artroeonidias en el centro de los granulomas. El resultado del cultivo fue positivo para M. canis.
FIG. 2.--Granulomas dérmicos constituidos por células gigantes multinucleadas, células epitelioides y escasos linfocitos mostrando en el centro acúmulos de hifas (PAS).
Se realizó exploración exhaustiva de cuero cabelludo y piel lampiña, así como exposición a la luz de Wood y nuevo cultivo micológico, no evidenciándose ninguna lesión micótica superficial. Se repitió el cultivo de uno de los nódulos que fue nuevamente positivo, con colonias disgónicas de M. canis, parduscas en el centro, blancoalgodonosas alrededor, caracterizadas por crecimiento muy lento y dificultoso. Se instauró tratamiento con fluconazol (200 mg/día) durante 1 mes, presentando una discreta mejoría. El paciente no acudió a posteriores revisiones, por lo que no pudimos conocer la respuesta final al tratamiento.
DISCUSION
Las infecciones superficiales por dermatofitos, en sus diferentes formas clínicas, constituyen una de las manifestaciones dermatológicas más frecuentes en pacientes con infección por el VIH, en los que pueden presentarse con formas clínicas atípicas y tener una elevada tendencia a la recidiva. Aun en los casos de inmunosupresión marcada, estas infecciones, si bien muy extensas, se mantienen a nivel superficial y sin tendencia a la diseminación profunda debido a la actuación de mecanismos de defensa inespecíficos y específicos (sobre todo celulares) que evitan la invasión de tejidos más profundos. No obstante, la alteración del sistema inmune puede ser responsable en algunos casos de formas invasivas de dermatofitosis, con afectación de dermis y tejido graso subcutáneo, y se ha sugerido que las lesiones dérmicas podrían ser debidas a la progresión del dermatofito desde el folículo hasta la dermis. La mayoría de las infecciones invasivas están precedidas por una infección crónica superficial (1).
Trichophyton rubrum es el dermatofito implicado con mayor frecuencia en pacientes inmunodeprimidos y concretamente en SIDA (1); sin embargo, M. canis, un dermatofito zoofílico, también es responsable en algunas ocasiones de invasión dérmica. En la literatura revisada hemos encontrado dos casos en pacientes con infección por VIH (2, 3), tres pacientes con lupus eritematoso y tratamiento inmunosupresor (4), un caso en trasplantado de corazón-pulmón (5) y otro en un paciente infectado tras un trasplante hepático (3).
Con respecto a M. canis y SIDA, se han descrito infecciones mixtas con otro dermatofito como Tricophyton mentagrophytes (6) y también infecciones inusuales como Tinea capitis y onicomicosis (7).
Desde el punto de vista clínico, la infección dérmica profunda por M. canis puede originar cuadros muy típicos que plantean serias dificultades diagnósticas, así se han descrito cuadros similares a angiomatosis bacilar (4), lesiones que simulan sarcoma de Kaposi (8) y erupciones papulosas diseminadas (9).
El tratamiento de este tipo de infecciones no ha sido establecido de forma absoluta dada la escasa experiencia, consecuencia de la rareza de estas presentaciones. No obstante, el fluconazol parece ser el tratamiento de elección para las infecciones invasivas por M. canis dado que se ha demostrado una concentración dérmica más alta de este fármaco en comparación con la de otros antifúngicos utilizados anteriormente (2).
Caso como éste ilustran el riesgo de desarrollo de infecciones cutáneas atípicas, potencialmente graves, en pacientes con SIDA, en los que pueden estar implicados patógenos débiles, como en este caso los dermatofitos y que deben ser estudiados de forma exhaustiva desde el punto de vista dermatológico.
Nuestro paciente, enfermo de SIDA terminal, presentaba una infección cutánea profunda por M. canis, manifestada por lesiones atípicas no descritas previamente en la literatura y sin evidencia de afectación micótica superficial concomitante que justificase la vía de diseminación de las lesiones dérmicas; si bien asumimos que éstas se iniciaron a partir de una probable infección superficial previa, por la que el paciente no consultó con anterioridad.




