Introducción
El dermatofibroma es una lesión benigna de estirpe fibrohistiocitaria muy frecuente que suele aparecer en adultos jóvenes con predominio en el sexo femenino. La forma clínica más frecuente es la de un nódulo solitario asintomático de pocos milímetros y color parduzco con predilección por los miembros inferiores. A la palpación suele ser desplazable sobre planos profundos y es típico el signo del hoyuelo cuando se comprime lateralmente. No obstante, existen otras formas clínicas de presentación, que se resumen en la tabla 1.
Una de las formas clínicas de dermatofibroma más llamativa e infrecuente es la de dermatofibroma gigante, caracterizada por ser una lesión exofítica de gran tamaño en la que no suele sospecharse el diagnóstico clínico de dermatofibroma.
Presentamos el caso de un hombre de 52 años con un dermatofibroma gigante en el hombro derecho de 6 años de evolución y la revisión de los casos descritos en la literatura.
Caso clínico
Un varón de 52 años con antecedentes de etilismo crónico en tratamiento con Antabús consultó por una lesión tumoral en su hombro derecho de 6 años de evolución. Al parecer, había sido extirpada de forma incompleta 3 años antes por un cirujano sin diagnóstico histopatológico y con la sospecha clínica de un quiste epidermoide. Desde entonces, la lesión había sufrido un crecimiento progresivo sin ocasionar molestias. El paciente no recordaba ningún antecedente traumático en la zona. A la exploración se observó un tumor exofítico de 6 x 4 cm de diámetro de superficie brillante y coloración eritematoviolácea, presentando áreas más parduzcas y amarillentas y alguna telangiectasia (fig. 1). La lesión estaba bien delimitada y a la palpación era gomosa, no pareciendo estar adherida a planos más profundos. Se realizó una resonancia magnética de la zona que reveló una tumoración adyacente al músculo trapecio sin signos de infiltración del mismo. Bajo anestesia local se realizó la exéresis quirúrgica de la lesión.
Figura 1. Lesión tumoral de 6 x 4 cm en el hombro derecho.
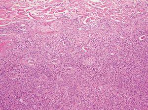
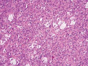
El estudio histológico mostró una tumoración bien delimitada, no encapsulada, localizada en dermis reticular y tejido celular subcutáneo (fig. 2). La lesión estaba compuesta por células de hábito fibrohistiocitario constituyendo áreas de densidad celular heterogénea. En la periferia de la lesión, las células fusiformes y ovoideas se entremezclaban con haces engrosados y bolas de colágeno eosinófilas (fig. 3). La zona central de la lesión estaba constituida por células poligonales xantomatizadas de mayor tamaño, de núcleo excéntrico y citoplasma repleto de grasa, rodeadas de un colágeno hialinizado que las individualizaba de otras células (fig. 4). La inmunohistoquímica resultó positiva para el antígeno fibrohistiocitario común (cd68) y al factor XIIIa, siendo negativo para el cd34.
Figura 2. Panorámica de la lesión. (Hematoxilina-eosina.)
Figura 3. Periferia de la lesión con células fusocelulares entremezcladas con haces de colágeno engrosados (Hematoxilina-eosina, x100).
Figura 4. Presencia de células xantomatizadas rodeadas de un estroma muy denso. (Hematoxilina-eosina, x200.)
El diagnóstico histológico fue compatible con un dermatofibroma xantomatizado, siendo, por su gran tamaño, compatible clínicamente con un dermatofibroma gigante.
Discusión
El dermatofibroma es una lesión dérmica muy frecuente de la que se han descrito diferentes variedades clínicas (tabla 1). El dermatofibroma gigante es una variedad poco frecuente, existiendo en la literatura 21 casos descritos (tabla 2), entre cuyas características se ha aceptado: a) tamaño $ 5 cm; b) aspecto pedunculado; c) comportamiento biológico benigno a pesar de su tamaño; d) características histopatológicas iguales que el dermatofibroma convencional13.
Suelen ser lesiones exofíticas y, hasta en la mitad de los casos, pedunculadas. La localización más frecuente son los miembros inferiores, seguidos de la espalda. El diagnóstico clínico de sospecha suele incluir lesiones malignas como dermatofibrosarcoma protuberans, carcinoma basocelular, carcinoma epidermoide o sarcoma. La histopatología, sin embargo, confirma el diagnóstico al mostrar las características típicas del dermatofibroma. Es frecuente la aparición de células xantomatizadas, estando presentes hasta en la mitad de los casos, y han sido descritos dermatofibromas gigantes con patrón de dermatofibroma aneurismático20, de células monstruosas17, atípico21, lipidizado15 y con un patrón histológico combinado16,18.
Existe un caso descrito de dermatofibroma gigante asociado a diabetes mellitus y necrobiosis lipoídica14 y uno de aparición durante el embarazo19.
No se ha registrado ninguna recidiva tras la completa exéresis quirúrgica de un dermatofibroma gigante.
El dermatofibroma de células xantomatizadas o lipidizado es una variedad de dermatofibroma poco frecuente. Aparece mayoritariamente en los miembros inferiores, sobre todo en el área del tobillo, afectando con mayor frecuencia a hombres en la quinta y la sexta década de vida. Los rasgos histológicos más característicos son la presencia de numerosas células xantomatizadas y la hialinización del estroma, que obligan al diagnóstico diferencial con el xantoma y el xantogranuloma juvenil. En esta última entidad, el mayor infiltrado inflamatorio y la presencia de células gigantes multinucleadas de tipo Touton pueden ayudar en su diagnóstico. Estas lesiones con predominio de células xantomatizadas son de mayor tamaño que otros dermatofibromas, siendo la mediana de 2,5 cm en una serie publicada de 22 casos15.
Como conclusión, el dermatofibroma gigante es una variedad clínica de dermatofibroma cuyas características distintivas son su gran tamaño y la presencia frecuente de células xantomatizadas, siendo su comportamiento biológico benigno, a pesar de su apariencia clínica y la exéresis quirúrgica curativa.
Conflicto de intereses
Declaramos no tener ningún conflicto de intereses.
Correspondencia:
Onofre Sanmartín Jiménez.
Servicio de Dermatología
Instituto Valenciano de Oncología.
Profesor Beltrán Báguena, 8.
46009 Valencia. España.
Correo electrónico: osanmartinj@gmail.com
Aceptado el 15 de septiembre de 2006.








