INTRODUCCIÓN
La cromomicosis o cromoblastomicosis es una micosis que afecta a piel y tejido celular subcutáneo, de curso crónico, causada por hongos pigmentados de la familia Dematiaceae. A pesar de que ya en 1911, Pedroso comunicó en Sao Paulo (Brasil) el primer caso observado de esta enfermedad, hasta el año 1922 no se introdujo el término cromoblastomicosis para designar a este tipo de micosis1.
No obstante, a lo largo de la historia la terminología empleada para denominar los distintos tipos de micosis producidas por hongos demateáceos ha sido confusa. Por ello, en 1974, Allejo et al2 propusieron el término feohifomicosis para aquellas infecciones producidas por hongos demateáceos en su forma de hifas o pseudohifas, mientras que el concepto de cromomicosis implica que los hongos adopten una configuración típica en forma de «cuerpos escleróticos».
CASO CLÍNICO
Se trata de una mujer de 73 años, sometida a trasplante cardíaco en abril de 1997 como tratamiento de una cardiopatía dilatada de origen isquémico, con aparición de múltiples episodios de rechazo agudo durante el primer año postrasplante, que acudió a nuestra consulta por presentar una úlcera en pierna izquierda. Otros antecedentes personales a destacar son el desarrollo de diabetes esteroidea insulino-dependiente, el ingreso por varios procesos infecciosos pulmonares y un cuadro confusional agudo con ceguera cortical e hipertensión arterial secundaria a tratamiento con Tacrolimus®, que se resolvió al disminuir los niveles de dicho fármaco. La paciente tomaba, como medicación habitual, prednisona, tacrolimus y micofenolatomofetil.
En febrero de 2000, coincidiendo con un ingreso por neumonía basal derecha, la paciente fue derivada a nuestro servicio por presentar una úlcera en tercio inferior de pierna izquierda, tras un traumatismo moderado, de 9 meses de evolución. La paciente refería que la lesión se inició como una placa erosiva, exudativa, ligeramente dolorosa, que lentamente había aumentado de tamaño y adquirido un aspecto verrucoso. En los últimos meses había notado la aparición de pequeñas lesiones satélites en la proximidad de la lesión inicial.
En la exploración la paciente presentaba una placa eritematosa, verrucosa, de 6 x 4 cm de tamaño, de superficie queratósica, con áreas ulceradas, exudativas y fondo sucio. En la parte proximal de la lesión se observaban tres lesiones de menor tamaño (de 1 a 3 cm de diámetro) de similares características (fig. 1). No se palparon adenopatías regionales.
Fig. 1.--Lesión verrucosa de 6 x 4 cm de superficie queratósica, con áreas ulceradas y exudativas. Se observan tres lesiones satélites en la parte más proximal de la lesión inicial.
La analítica únicamente reveló una anemia de procesos crónicos (hemoglobina, 10,3 g/dl; VCM, 87 fl; reticulocitos, 17%) y una ligera leucopenia (4.720 leucocitos/ml), con fórmula normal. La velocidad de sedimentación globular fue normal. En el cultivo del exudado de la lesión se aisló un estafilococo dorado meticilinresistente, por lo que se instauró tratamien-to con teicoplanina (a dosis de 400 mg/día durante 7 días), obteniéndose sólo una mejoría parcial.
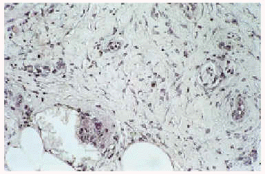
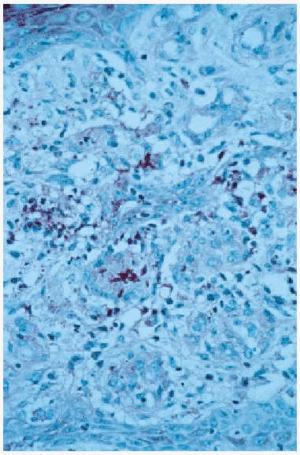
El estudio histológico de la lesión, con hematoxilina-eosina, mostró una hiperplasia epidérmica pseudoepiteliomatosa y en toda la dermis una intensa reacción inflamatoria de tipo granulomatoso, constituida por células epitelioides, células gigantes multinucleadas, plasmáticas y neutrófilos, formando en algunos puntos microabscesos (fig. 2). Asimismo se evidenciaba la presencia de abundantes formaciones esporuladas, de pequeño tamaño (entre 5 y 15 µm), pigmentadas, con gruesa pared y en algunas de ellas tabicación central, localizadas tanto en dermis como en microabscesos que se eliminaban hacia la superficie epidérmica (fig. 3). Dichas formaciones presentaron positividad en la tinción con PAS (fig. 4). En el cultivo de biopsia en agar de Sabouraud se aisló la especie Wangiella dermatitidis, lo que permitió establecer el diagnóstico de cromoblastomicosis.
Fig. 2.--Hiperplasia epidérmica pseudoepiteliomatosa con intensa reacción inflamatoria de tipo granulomatoso en toda la dermis, constituida por células epitelioides, gigantes multinucleadas, plasmáticas y neutrófilos (hematoxilina-eosina, x40).
Fig. 3.--Detalle en el que se observan las formaciones esporuladas o «cuerpos escleróticos» en dermis (flechas) (hematoxilina-eosina, x200).
Fig. 4.--Positividad de las formaciones fúngicas en la tinción con PAS. Detalle de cuerpos de Wangiella en el interior de una célula multinucleada.
La radiografía de tórax reveló zonas de condensación del parénquima pulmonar en lóbulo inferior derecho, con patrón «en vidrio deslustrado», junto a un discreto derrame pleural derecho. El cultivo de esputo fue negativo para bacterias y micobacterias, detectándose únicamente crecimiento de Candida albicans en una de las muestras. La serología para Coxiella, Mycoplasma, Legionella y Rickettsia también resultó negativa. El cuadro respiratorio evolucionó de forma favorable con el tratamiento antibiótico instaurado al ingreso, previamente a que la paciente fuera vista en nuestro servicio, por lo que se consideró que se trataba de una neumonía de origen bacteriano.
Con todo ello, se estableció el diagnóstico definitivo de cromoblastomicosis cutánea sin afectación sistémica en una paciente inmunodeprimida. Se inició tratamiento con itraconazol a dosis de 200 mg/12 horas durante tres meses, obteniéndose una resolución completa de la lesión. En el seguimiento posterior durante los 15 meses siguientes no se han observado recurrencias.
DISCUSIÓN
La cromomicosis o cromoblastomicosis es una micosis cutánea profunda causada por hongos demateáceos, hongos imperfectos productores de pigmentos similares a la melanina. Existen varias especies reconocidas como agentes productores de cromomicosis (tabla 1); todos ellos poseen un bajo nivel de virulencia y producen una clínica similar. El agente etiológico más frecuente es Fonsecaea pedrosoi, seguido de Phialophora verrucosa y Cladosporium carrionii 3.
La enfermedad está ampliamente distribuida; no obstante, la mayoría de los casos se localizan en áreas tropicales y subtropicales4-6. En nuestro país, la incidencia de la enfermedad es muy baja. El primer caso publicado de cromomicosis autóctona en España data de 19857, siendo muy escaso el número de casos hallados en nuestra literatura hasta el momento actual8-10.
El reservorio natural de estos hongos son los suelos y los restos vegetales, y el mecanismo habitual de contagio es la inoculación traumática en piel de material orgánico contaminado11-13. Por ello, la enfermedad predomina en habitantes de zonas rurales, en quienes son frecuentes los pequeños traumatismos con astillas y vegetales. Sin embargo, ésta no parece ser la única vía de contagio, ya que se han descrito casos de lesiones cutáneas aparentemente secundarias a la diseminación hematógena de un foco primario respiratorio11, 12. Hasta el momento no se ha comprobado la transmisión interhumana.
Las lesiones suelen localizarse en extremidades (con mayor frecuencia en piernas)6, 14, 15. Habitualmente son asintomáticas; sólo un bajo porcentaje de casos presenta prurito o dolor4, 6, 16. La evolución es variable, siguiendo en la mayoría de los casos un curso crónico (entre unos meses y más de 30 años, según las series4, 5).
Aunque clásicamente se distinguían 5 formas clínicas diferentes, en la actualidad esta clasificación está en desuso, ya que simplemente hace referencia a estadios evolutivos de la misma lesión4, 17. La clínica más frecuente es en forma de placas anulares con atrofia y cicatrización central, o bien como papulonódulos que lentamente aumentan de tamaño hasta desarrollar lesiones de aspecto vegetante. Un rasgo clínico característico es la existencia en la superficie de las lesiones de pequeños «puntos negros», que representan la eliminación transepidérmica de las formaciones fúngicas en las áreas afectadas3, 17.
Entre las posibles complicaciones destacan la sobreinfección bacteriana con la aparición de linfadenitis secundaria y, con menor frecuencia, el desarrollo de carcinomas espinocelulares sobre lesiones de muy larga evolución3, 4. La invasión sistémica es sumamente rara; no obstante, con relativa frecuencia se observan lesiones cutáneas satélites producidas por diseminación linfática15. En caso de diseminación hematógena las localizaciones más afectadas son los ganglios linfáticos, el sistema nervioso central (dado que son hongos neurotropos) y el pulmón6, 11.
A pesar de que tanto en la naturaleza como en los medios de cultivo los agentes causantes de cromomicosis son hongos filamentosos, cuando producen infección adoptan formas características (formas intermedias entre hifas y levaduras, que asemejan pequeñas monedas de cobre, de 5-15 µ, de color marrón, con pared gruesa y septos en su interior)3, 18, que reciben el nombre de «cuerpos escleróticos o muriformes». Estas estructuras representan formas adaptativas del hongo, que facilitan su supervivencia en el tejido huésped13. El hallazgo de estos «cuerpos muriformes» en la biopsia o raspado de las lesiones (con KOH) es patognomónico de cromomicosis3, 13 y permite hacer el diagnóstico diferencial con la feohifomicosis, causada por hongos demateáceos en forma de hifas6, 17.
La cromomicosis da lugar a una serie de respuestas en el tejido afectado con objeto de eliminar la infección, que en la mayoría de los casos no resultan eficaces, por lo que el proceso tiende a cronificarse. En el estudio histopatológico de las lesiones habitualmente se observa una hiperplasia epidérmica pseudoepiteliomatosa con fenómenos de eliminación transepidérmica del hongo y, bajo ella, una reacción inflamatoria de tipo granulomatoso en dermis y/o tejido celular subcutáneo13, 16. La histopatología de la cromomicosis se caracteriza por la presencia de los «cuerpos escleróticos», localizados tanto en el interior de células gigantes como en el tejido extracelular o en microabscesos de eliminación transepidérmica13.
Los hongos demateáceos crecen en medio de agar de Sabouraud; la identificación de la especie causante del cuadro en cada caso se basa en las diferentes formas de producción de conidias de cada grupo17, 19. Se han desarrollado procedimientos para la extracción y detección de exoantígenos específicos de algunas especies de hongos demateáceos19.
La característica morfológica que permite la identificación de Wangiella dermatitidis en el cultivo es la producción de conidias por medio de fiálides que carecen de collarines. La Wangiella dermatitidis habitualmente adopta la forma de hifa en las infecciones que produce, constituyendo uno de los principales agentes causantes de feohifomicosis; sin embargo, sólo en raras ocasiones produce cuadros de cromomicosis20.
En cuanto al tratamiento, a menudo resulta difícil, ya que la susceptibilidad y respuesta a los distintos antifúngicos varía en las especies aisladas4, 15, 21. En general, las recurrencias son frecuentes, por lo que se recomiendan tratamientos prolongados (entre 3 y 18 meses, según autores)4, 15, 17, 21.
La crioterapia, electrocoagulación y/o escisión quirúrgica se reservan para aquellos pacientes que presenten lesiones de pequeño tamaño3, 5, 6, 14, 16, 17. Los tratamientos antifúngicos constituyen la alternativa a los métodos quirúrgicos. La fluocitosina y el ketoconazol sólo se han demostrado eficaces en la mitad de los casos15, por lo que se prefieren los nuevos azólicos como el itraconazol (a dosis de 100-200 mg/día) con mejores respuestas terapéuticas3, 16. Igualmente, en estudios recientes, la terbinafina ha demostrado su eficacia a dosis de 500 mg/día, especialmente en casos de resistencia al tiabendazol5, 22. Nuestra paciente respondió satisfactoriamente a itraconazol oral a dosis de 400 mg/ día durante 3 meses, no habiéndose observado recidivas durante los 15 meses siguientes al tratamiento.
La baja incidencia del cuadro clínico en nuestro medio, así como la infrecuencia de Wangiella dermatitidis como agente etiológico y la favorable respuesta al tratamiento con itraconazol, justifican la publicación del caso.







