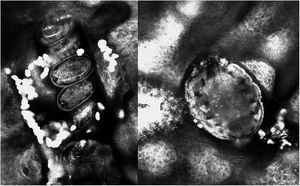
Una mujer de 23 años con antecedente de lupus eritematoso sistémico activo en tratamiento con antimaláricos consultó por prurito generalizado de 2 semanas de evolución, inicialmente atribuido a su enfermedad de base. A la exploración física presentaba, junto con lesiones cutáneas de lupus, múltiples excoriaciones y escasas lesiones interdigitales compatibles con surcos acarinos. Se realizó microscopia confocal (VivaScope® 3000) de una de las lesiones interdigitales (fig. 1), observándose huevos ovales dispuestos en paralelo, siguiendo el trayecto del surco, así como numerosas estructuras redondeadas hiperrefráctiles correspondientes a escíbalos. Además, se visualizó un ácaro de Sarcoptes scabiei en el extremo del surco. La paciente presentó curación de la escabiosis tras 2 aplicaciones de permetrina tópica al 5%.
La microscopia confocal ha demostrado utilidad en numerosas dermatosis infecciosas al permitir un diagnóstico de confirmación de forma rápida y no invasiva. En la escabiosis permite observar en tiempo real el ácaro, los huevos y los escíbalos sin necesidad de realizar un test de Müller. Esta técnica permitiría, además, monitorizar la respuesta al tratamiento, ya que se pueden observar indicadores de infección activa, como la presencia de huevos en los surcos o los movimientos peristálticos del tubo digestivo del ácaro.



