INTRODUCCIÓN
El cáncer de mama es una neoplasia infrecuente en el varón. Aunque en el 25 % de los casos su primera manifestación es de carácter cutáneo 1 , los dermatólogos no estamos habituados a diagnosticarlo, ya que dicha afectación cutánea no siempre se incluye entre las manifestaciones clínicas del proceso y además existen escasas publicaciones al respecto 2 . El diagnóstico precoz mejora claramente el pronóstico, pues al contrario de las opiniones iniciales, los datos epidemiológicos, factores pronósticos, estadios de supervivencia, patrón de metástasis, tratamiento y respuesta al mismo son similares a las de las mujeres 3 . Se describen los casos de 2 varones con carcinoma de mama, trabecular en el primero y ductal infiltrante en el segundo, cuyos motivos de consulta fueron un eczema seborreico y una anemia secundaria a insuficiencia renal, respectivamente.
DESCRIPCIÓN DE LOS CASOS
Caso 1
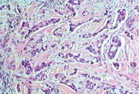
Un paciente de 54 años sin antecedentes familiares y personales de interés, consultó por eczema seborreico facial y torácico. En la exploración física se apreció en la mama derecha una zona empastada, deprimida, con retracción y desaparición completa de la areola mamaria, incluido el pezón (fig. 1), que el paciente relacionaba con un traumatismo fortuito sufrido 10 años antes, y que desde el principio experimentó un crecimiento lento, progresivo y asintomático. No cursaba con sintomatología sistémica. Se practicó biopsia cutánea, que mostró una infiltración epidérmica de tipo pagetoide, constituida por estructuras tubulares con características citológicas de malignidad, en el seno de un estroma fibrosodesmoplásico (fig. 2). La inmunotinción con c-erb-B2 mostró positividad difusa de membrana, los receptores estrogénicos dan positividad difusa nuclear, y el Ki-67 fue positivo en el 90 %.
Ante la presencia de un carcinoma trabecular de mama se realizó mastectomía derecha con márgenes de seguridad de 2 cm y vaciamiento axilar derecho, con posterior administración de seis ciclos de quimioterapia. El estudio de extensión no reveló datos de interés. Ocho meses después del diagnóstico y tratamiento no se observaron signos de recidiva ni metástasis sistémicas.
Fig. 1.Caso 1 . Zona empastada, deprimida, con retracción y desaparición de toda la areola mamaria, incluido pezón en mama derecha.
Fig. 2. Caso 1 . Infiltración epidérmica de tipo pagetoide, constituida por estructuras tubulares con características citológicas de malignidad en el seno de un estroma fibroso-desmoplásico de membrana. (Hematoxilina-eosina, ×100.)
Caso 2
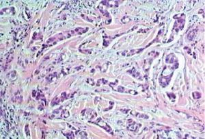
Un paciente varón, de 90 años, sin antecedentes familiares de interés y entre cuyos antecedentes personales destacaban: obesidad, hipertensión arterial, diabetes mellitus tipo 2, hiperplasia prostática, infecciones urinarias y cólicos nefríticos de repetición, insuficiencia renal terminal, aleteo auricular, tuberculosis y accidente cerebrovascular hacía más de 30 años, que presenta en la actualidad insuficiencia cardiaca y anasarca. Durante el ingreso se realizó consulta por una lesión papilomatosa en la mama derecha de años de evolución y de carácter asintomático, constituida por un nódulo fuertemente indurado que borraba parcialmente la areola mamaria (fig. 3). Se practicó biopsia cutánea en la que se observó una infiltración de la dermis profunda por un carcinoma pobremente diferenciado compatible con origen en carcinoma ductal infiltrante de glándula mamaria (fig. 4). El estudio de extensión realizado no mostró datos de interés. No se realizó ningún tipo de tratamiento por decisión familiar, dada la situación terminal del paciente.
Fig. 3.Caso 2. Lesión papilomatosa en mama derecha con nódulo fuertemente indurado que borra parcialmente la areola mamaria.
Fig. 4.Caso 2. Infiltración de la dermis profunda por carcinoma pobremente diferenciado, compatible con origen en carcinoma ductal infiltrante de glándula mamaria. (Hematoxilina-eosina, ×100.)
DISCUSIÓN
El cáncer de mama en el varón representa el 0,5 % de todos los carcinomas mamarios, y entre el 0,2-1 % de los carcinomas en el varón, siendo la causa de muerte en éstos del 0,08 %1,2,4 En Estados Unidos se diagnostican de 1.000 a 1.500 casos al año, presentan metástasis en una tercera parte de los casos y fallecen anualmente 300 pacientes4 . El paciente tipo se encuentra en la sexta década de la vida, y presenta una masa subareolar, dura y dolorosa, situada en el centro de la mama que causaría asimetría de la misma y que en muy pocas ocasiones origina algún tipo de alteración cutánea en la areola4 lo que obviamente retrasa tanto la consulta médica como el diagnóstico. Entre los factores de riesgo destacan edad avanzada, ginecomastia, obesidad, hepatopatías, síndrome de Klinefelter, enfermedades testiculares, terapia estrogénica, tratamiento hormonal para cáncer de próstata, historia familiar de carcinoma mamario y radioterapia en la juventud2,4 .
La combinación entre una correcta exploración física y la punción-aspiración con aguja fina, con o sin mamografía, en la mayoría de las ocasiones suele ser suficiente para establecer el diagnóstico y descartar procesos mamarios benignos que en modo alguno son infrecuentes en el varón5,6 . Sin embargo, en muchas ocasiones, la biopsia es imprescindible7 . Histológicamente, al igual que en la mujer, el tipo más frecuente es el carcinoma ductal. En el 75-85 % de los casos se detectan receptores de estrógenos y proges-terona2,4 , aunque ello no se correlaciona con una mayor supervivencia4 . Las manifestaciones clínicas más frecuentes son masa mamaria, dolor mamario, adenopatía axilar, empastamiento muscular y otros que cursan con cambios cutáneos que afectan al pezón y a la areola, como retracción, ulceración, exudación y eczema2 . Estas manifestaciones cutáneas se producen por contigüidad4 y no parecen modificar el pronóstico1 , que presenta una tasa de supervivencia a los 5 años del 22-72 % para todos los estadios1 , que es similar al cáncer de mama en la mujer3 . En términos generales el pronóstico, tanto en el varón como en la mujer, depende del tamaño del tumor, de la existencia de adenopatías axilares afectadas2,3,6 , y de la precocidad del diagnóstico, siendo este último dato el que empobrece el pronóstico en el hombre2 , dado que la ausencia de cribados de población y la menor sensibilidad del hombre ante este trastorno hace que se retrase mucho su consulta.
El tratamiento consiste en mastectomía radical con vaciamiento ganglionar, asociado o no a quimioterapia, radioterapia y tratamiento antiestrogénico2 . Es importante examinar a las hermanas e hijas del varón afectado, ya que algunos autores han encontrado que en el 15 % de los casos hay algún familiar de primer grado con igual patología8 , y otros establecen tres veces más riesgo de padecer cáncer de mama entre los familiares4 . La presencia de historia familiar no afecta a la edad de presentación, la duración de los síntomas, el estadio de la enfermedad en el momento del diagnóstico ni la supervivencia global8 .
Hemos presentado dos pacientes en los que el hallazgo cutáneo ha sido el motivo del diagnóstico del cáncer de mama. Ambos presentaban factores de riesgo, como el traumatismo mamario en el primero, que aunque no han sido descritos en varones, sí son factores etiológicos en mujeres 9 así cómo la edad avanzada en el segundo.
Correspondencia:
José Frías-Iniesta. Hospital Universitario Virgen de la Arrixaca. Servicio de Dermatología. Ctra. Madrid-Cartagena, s/n. 30120 El Palmar. Murcia. España. jfrias@arrixaca.huva.es
Recibido el 21 de julio de 2004. Aceptado el 1 de septiembre de 2004.






