INTRODUCCION
El carcinoma de células de Merkel es una rara neoplasia cutánea primaria y agresiva que se caracteriza por exhibir diferenciación neuroendocrina. Desde el punto de vista fisiopatológico su histogénesis es controvertida, ya que puede derivar de las células de Merkel epidérmicas, su equivalente dérmico, las células derivadas del sistema APUD y células madre pluripotenciales epidérmicas. Existen anomalías citogenéticas entre el 30 y el 47 % de los casos; la más frecuente es la pérdida de heterozigosidad debida a translocaciones y deleciones en el cromosoma 1. También se han descrito alteraciones en los cromosomas 3, 11, 13, 18, 22 y X. Es una neoplasia de baja incidencia (menos del 1 % de las neoplasias cutáneas diagnosticadas en Estados Unidos) y con tasas de supervivencia no superiores al 60 % a los 2 años del diagnóstico. Normalmente se localiza en cabeza y extremidades de pacientes de raza blanca entre la séptima y octava décadas de la vida1.
MATERIAL Y MÉTODO
Se realizó un estudio restrospectivo de los pacientes diagnosticados en el Servicio de Dermatología del Hospital Clínico San Cecilio en el período 1997-2001. Las variables estudiadas incluyeron: edad, sexo, localización, tiempo de evolución, tamaño inicial, estadio en el momento del diagnóstico, tratamiento inicial, metástasis cutáneas y a distancia y estado actual del paciente.
RESULTADOS
Seis pacientes fueron diagnosticados de carcinoma de células de Merkel en el período comprendido entre 1997 y 2001 en el servicio de dermatología de nuestro hospital. En ninguno de los pacientes el diagnóstico clínico inicial fue carcinoma de células de Merkel. Se consideraron los siguientes diagnósticos: carcinoma basocelular (2), carcinoma espinocelular (2) y linfoma cutáneo (2). En todos los casos el diagnóstico se estableció por el examen histológico. Una vez realizado el diagnóstico, en todos los pacientes se efectuó un estudio de extensión que incluyó: hemograma, bioquímica general, sedimento urinario elemental, ecografía hepática, radiografía de tórax, resonancia magnética (RM) cerebral y tomografía computarizada (TC) toracoabdominal, para poder determinar correctamente el estadio del carcinoma.
Cinco pacientes eran mujeres y uno era varón. El rango de edad de los pacientes estudiados estaba comprendido entre 62 y 81 años (media 71 años). En tres casos las lesiones se situaron en miembros inferiores (fig. 1) y en otros tres en cara (labio superior y mejilla). En el momento de consulta todos ellos presentaban un diámetro mayor superior a 0,75 cm. Cinco pacientes fueron incluidos en estadio IV y tan sólo en uno consideró que el proceso se encontraba en estadio III, puesto que fue el único que no presentó metástasis viscerales en el momento inicial de diagnóstico (paciente 4). El tiempo de evolución osciló entre 7 y 15 meses (media 11,2 meses).
Fig. 1.--Carcinoma de células de Merkel situado en cara anterior de pierna (diagnóstico inicial: carcinoma espinocelular).
En todos los pacientes el primer tratamiento planteado fue cirugía escisional con 2 centímetros de margen, con resolución quirúrgica apropiada a la localización anatómica donde asentaba el tumor primario. El tratamiento complementario fue pautado por el Servicio de Oncología de nuestro hospital y en 2 casos se optó por combinación de quimioterapia y radioterapia (cisplatino + etopósido con radioterapia en campo único 50 Gy). En un paciente se decidió administrar tan sólo radioterapia y en los dos restantes, por su estado general, no se administró ningún tratamiento oncológico complementario.
Todos los pacientes desarrollaron recidiva local de la enfermedad, pero en ninguno de ellos se volvió a plantear la cirugía por su estado general. En 5 pacientes existían metástasis viscerales en el momento inicial de diagnóstico y el paciente que inicialmente no las presentó, las desarrolló posteriormente en pulmón, siendo esta localización la que con más frecuencia fue diana de los émbolos metastásicos del tumor primitivo. El tiempo medio de supervivencia osciló entre 4 y 8 meses (media: 6 meses). Todos los datos comentados aparecen resumidos en la tabla 1.
La estadificación de este tipo de tumor se establece según los criterios establecidos por el Comité Americano para el estudio del Cáncer de Piel, que los clasifica en virtud del tamaño del tumor primario (T), afectación linfática regional (N) y metástasis a distancia (M) según se recoge en la tabla 2.
ESTUDIO HISTOLOGICO
El estudio macroscópico de todos los casos reveló lesiones nodulares bien circunscritas de un tamaño medio de 1,5 por 1,1 cm de dimensiones máximas y coloración blanquecina, dos de ellas ulceradas.
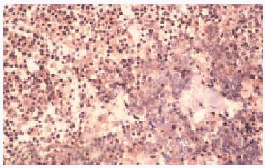
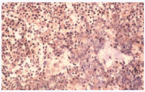
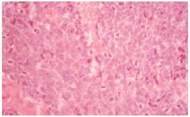
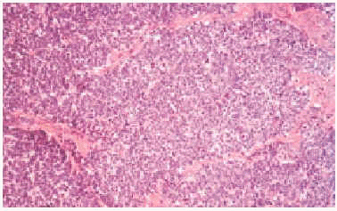
Histológicamente mostraron una disposición dérmica en sábanas o racimos que afectaba a epidermis, en algunos casos. Se registraron 2 casos de invasión linfática. En la mayoría de los casos el tumor estaba formado por pequeñas células basófilas con núcleo redondo y vesicular con cromatina dispersa y nucléolos pequeños periféricos junto con escaso citoplasma (figs. 2 y 3). Las figuras mitóticas fueron en todos los casos muy notables, acompañadas por fenómenos de apoptosis. El estroma presentaba proliferación vascular en forma de fino entramado capilar con endotelios reactivos. En uno de los casos (paciente 2), la histología presentó características peculiares con un patrón epitelioide fusocelular y disposición en trabéculas.
Fig. 2.--Patrón histológico del carcinoma de células de Merkel.
Fig. 3.--Patrón histológico del carcinoma de células de Merkel (HE, x200).
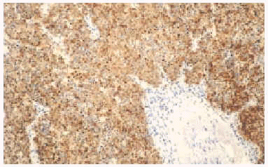
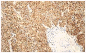
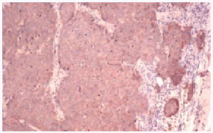
Tras la realización de técnicas de inmunohistoquímica, se observó positividad frente a queratinas de bajo peso molecular (citoqueratina 20) en el 66 % de los casos (fig. 4), con disposición característica de punteado perinuclear, así como una amplia positividad a los marcadores neuroendocrinos con el 100 % a la cromogranina (fig. 5) y el 82 % a la enolasa neuronal específica (fig. 6).
Fig. 4.--Tinción positiva para citoqueratina 20.
Fig. 5.--Tinción positiva para cromogranina A.
Fig. 6.--Tinción positiva para enolasa neuronal específica.
DISCUSION
El carcinoma de células de Merkel fue descrito por primera vez por Toker2 en 1972, como una neoplasia de elevada agresividad que se origina a partir de las células de Merkel. Estas células se sitúan en la unión dermoepidérmica y funcionan como receptores neurotáctiles de origen epidérmico con características neuroendocrinas. Normalmente se localiza en áreas fotoexpuestas de personas de edad (cabeza, cuello y extremidades inferiores) y se ha descrito su presentación tras radiación, terapia inmunosupresora o en asociación con otros tumores3. Es una neoplasia con elevada tasa de recidiva local (26-50 %), afectación linfática regional (45-91 %) y metástasis a distancia (12-50 %), con una tasa de mortalidad elevada (35-47 %)4,5.
La exposición crónica a la radiación ultravioleta se propone como principal factor etiopatogénico para el desarrollo de este carcinoma, lo cual se sustenta en la mayor incidencia en pacientes de raza blanca y su desarrollo en localizaciones fotoexpuestas. Walsh6 redunda en esta idea y expone recientemente el elevado índice de asociación que presenta con el carcinoma espinocelular. Desde el punto de vista clínico, el carcinoma de células de Merkel se presenta como una lesión solitaria de carácter nodular, bien como una placa indurada, de extensión variable, que no sobrepasa los 2 cm de diámetro mayor, de coloración rojo-violácea, o bien discretamente eritematosa7. Es común que las lesiones primitivas presenten ulceración en su superficie. Sus características clínicas están bien definidas, pero puede presentar gran similitud macroscópica e histológica con otras lesiones, como el linfoma no hodgkiniano, el melanoma amelanótico, el carcinoma basocelular o el dermatofibrosarcoma protuberans. De hecho, en nuestra serie, ninguno de los diagnósticos clínicos iniciales era carcinoma de células de Merkel, tal y como se ha comentado previamente. La asociación con el carcinoma espinocelular y con el basocelular están bien documentadas, y pueden coexistir incluso en la misma lesión.
Las manifestaciones histológicas de los carcinomas neuroendocrinos son variables. La lesión se presenta con un patrón nodular o difuso, que histológicamente recuerda a un linfoma, o con un patrón fusocelular y de células que se disponen formando trabéculas y cordones8. Normalmente suele respetarse la epidermis y puede existir epidermotropismo con crecimiento pagetoide de células tumorales. El marcador neuroendrocrino más constante es la expresión de enolasa neuronal específica. Se trata de células que tienen propiedad para expresar marcadores epiteliales (citoqueratina 7, 8, 18, 20) y neurales (neurofilamento L y polipéptido M). La citoqueratina 209 suele ser un buen marcador para diferenciar los carcinomas neuroendocrinos cutáneos y los tumores neuroendocrinos pulmonares metastásicos. Asimismo, pueden expresar sinaptofisina y cromogranina A. No suelen detectarse proteína S-100, proteína ácida fibrilar glial, actina no vimentina. El diagnóstico fiable se establece por la conjunción de la expresión de enolasa neuronal específica, cromogranina A y la coexpresión globular paranuclear de las citoqueratinas epiteliales simples y proteínas neurofilamentosas10.
La intervención quirúrgica constituye el tratamiento de elección del carcinoma de células de Merkel y, dado que se trata de una neoplasia con elevada tasa de recidiva local (en nuestra serie la desarrollaron todos los pacientes), el margen de exéresis quirúrgica debe ser amplio aunque no hemos encontrado en la literatura médica ningún documento de consenso que especifique los centímetros necesarios que deben regir el tratamiento quirúrgico inicial. Por otro lado, dado el comportamiento linfotropo de este tumor, el desarrollo de la biopsia selectiva del ganglio centinela en este tipo de pacientes adquiere cada día más consistencia11. El propósito de esta técnica es equivalente al desarrollado en otras neoplasias, como el melanoma maligno, y consiste en la determinación de micrometástasis tumorales en los ganglios linfáticos regionales que, por un lado, ayudará a la correcta estadificación del paciente y, por otro, a evitar la disección ganglionar innecesaria en aquellos casos donde la biopsia sea negativa.
Medina-Franco et al12 han realizado una revisión de 1.024 casos, analizando las diferentes opciones terapéuticas que pueden emplearse en este tumor. Queda claro que el principal factor pronóstico es el estadio inicial en el momento del diagnóstico, con una supervivencia media de 97 meses en pacientes en estadios I y II, a diferencia de los 15 meses estipulados para los pacientes en estadios III y IV. En nuestra serie, ningún paciente fue encuadrado en los estadios I y II. El tiempo medio de supervivencia fue de 6 meses, lo cual denota el comportamiento agresivo de este tumor y una demora importante a consultar con su especialista (media 11,2 meses). Estos autores, y otros consultados, afirman que la radioterapia reduce el riesgo de recidiva local, mientras que el papel terapéutico de la quimioterapia no está bien determinado, ya que en la actualidad no existe ningún régimen quimioterápico efectivo para el carcinoma de células de Merkel. No obstante, la mayoría de los autores coincide en que aquella debe reservarse para pacientes que no son candidatos a intervención quirúrgica o bien se encuentran en estadios muy avanzados de su enfermedad.
Kay y Arnold13, dado el carácter neuroendocrino del tumor, optaron por el tratamiento de éste con sandostatina, en casos en los que el paciente no era candidato a cirugía, previa aplicación de octreoscan (gammagrafía con 111In-pentetreótido). Todos los casos experimentaron mejoría de sus lesiones sin aumento de tamaño durante el tratamiento, lo cual puede abrir una posibilidad terapéutica interesante que debe considerarse en pacientes con un estadio inicial avanzado.
Por otra parte, no puede olvidarse que se han descrito casos de remisión completa espontánea, donde tanto el tumor como las metástasis linfáticas regionales regresaban en un período no superior a 3 meses. Connelly et al14 sugieren que los mecanismos inmunológicos del huésped fueron determinantes en el proceso y que, de manera análoga al melanoma, la terapia inmunológica debe tenerse en cuenta en un futuro no muy lejano.
En conclusión, se presenta una serie de 6 casos de carcinoma de células de Merkel, en estadios avanzados, con infausto pronóstico, cuyas características básicas coinciden con las series previamente publicadas, si bien añadimos que, lógicamente, el tiempo de evolución de la lesión (y por ende la mayor o menor rapidez en consultar) resulta fundamental de cara al tratamiento y pronóstico de éstos (tabla 3).











