INTRODUCION
El carcinoma de células de Merkel (CCM) es un tumor cutáneo infrecuente y agresivo, con tasas de recurrencias, capacidad metastásica y mortalidad comparables a la del melanoma o a las del carcinoma pulmonar de células pequeñas. Debido a su baja incidencia, el protocolo de estudio de extensión y las modalidades terapéuticas no están bien establecidos. En un futuro, habrá que determinar el valor de la tomografía por emisión de positrones (PET), biopsia de ganglio centinela (BGC), cirugía micrográfica de Mohs y de los distintos regímenes de terapia adyuvante en el tratamiento de esta neoplasia.
Presentamos un nuevo caso de carcinoma de Merkel en un paciente diagnosticado de leucemia linfática crónica (LLC). Proponemos el uso de la PET para el diagnóstico diferencial de la afectación ganglionar y para el correcto estadiaje tumoral.
DESCRIPCION DEL CASO
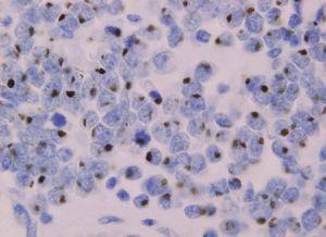
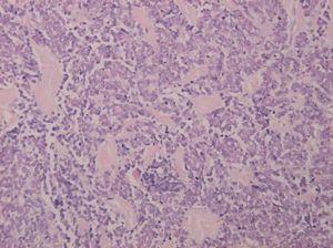
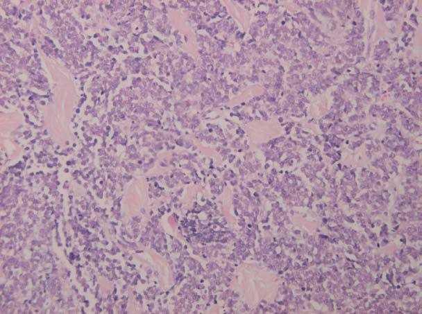
Un varón de 63 años, diagnosticado de proceso linfoproliferativo B crónico (LLC) estadio III, se encontraba en remisión parcial desde hacía 20 meses tras tratamiento quimioterápico de segunda línea con fludarabina. Anteriormente, había recibido quimioterapia tipo CVP (ciclofosfamida, vincristina, prednisona). Consultó por una lesión cutánea asintomática, de 2 o 3 meses de evolución y rápido crecimiento, localizada en la cara lateral externa del muslo izquierdo. A la exploración, se apreciaba una tumoración nodular eritematosa, de superficie lisa, consistencia firme, infiltrada en su base y de 2,5 cm de diámetro (fig. 1). Se palpaban adenopatías cervicales, axilares e inguinales, así como esplenomagalia, ya descritas previamente, y en probable relación con su leucemia. La biopsia de la lesión mostró una proliferación neoplásica en dermis constituida por células pequeñas, con núcleos hipercromáticos y escaso citoplasma (fig. 2). El tumor expresaba marcadores epiteliales (AE1, AE3, citoqueratina 20) y marcadores neuroendocrinos (neurofilamentos, cromogranina, sinaptofisina) con disposición globular paranuclear (figs. 3 y 4).
Fig. 1.--Tumoración nodular eritematosa, firme e infiltrada.
Fig. 2.--Células azuladas pequeñas de citoplasma escaso. (Hematoxilina-eosina,x200.)
Fig. 3.--Positividad para citoqueratina 20. Cúmulos globulares paranucleares. (x400.)
Fig. 4.--Neurofilamentos en cúmulos globulares paranucleares. (x200.)
En la tomografía computarizada (TC) se visualizaron adenopatías menores de 1 cm en la práctica totalidad de las cadenas ganglionares cervicales, adenopatías axilares, así como esplenomegalia sin lesiones focales, ya descrita en estudios previos. No existían alteraciones patológicas en el pulmón. La imagen con 18-fluorodesoxiglucosa-PET mostró una intensa captación de radionucleido a nivel de 3 ganglios linfáticos inguinales izquierdos.
Con el diagnóstico de CCM, estadio II, se realizó una extirpación amplia (3 cm de margen lateral y hasta plano fascial incluido), individualización y estudio preoperatorio del último ganglio de la cadena, más linfadenectomía locorregional. El estudio histológico de los ganglios extirpados demostró que la afectación por carcinoma neuroendocrino se circunscribía a los 3 ganglios marcados por el isótopo, siendo el resto, 19 ganglios, incluido el último ganglio de la cadena, compatibles con infiltración por LLC. Como tratamiento coadyuvante se empleó la radioterapia sobre el lecho quirúrgico y sobre la cadena ganglionar extirpada. Para realizar el seguimiento se ha propuesto el uso de la PET.
DISCUSION
El CCM fue inicialmente descrito por Toker 1 en 1972, bajo la denominación de carcinoma trabecular. Este raro tumor neuroendocrino tiene un comportamiento agresivo, con altas tasas de recurrencias locales (30 %), metástasis ganglionares frecuentes (30-60 %) y riesgo importante de metastatizar a distancia (piel, hígado, pulmón, hueso y cerebro) 2. La mortalidad supera el 20 %, siendo, por tanto, uno de los tumores cutáneos más letales.
La etiopatogenia del CCM no se conoce con exactitud, aunque tres factores parecen influir de manera decisiva en el desarrollo del tumor: la fotoexposición, la inmunosupresión (se ha asociado a trasplantes, infección por el virus de la inmunodeficiencia humana [VIH], medicación inmunosupresora y quimioterapia) y la presencia de una segunda neoplasia 3. La relación entre CCM y LLC se ha descrito en muy pocas ocasiones aunque, en nuestro caso, también habría que sumar el efecto inmunosupresor de la quimioterapia que recibió el paciente 4,5.
El sistema de estadiaje más aceptado fue propuesto por Yiengpruksawan 6 en 1991. El estadio I corresponde a la enfermedad localizada (estadio IA: tumor < 2 cm; estadio IB: tumor > 2 cm), el estadio II a la afectación ganglionar regional, y el estadio III a la enfermedad metastásica. El pronóstico depende, fundamentalmente, del estadio tumoral, por lo que el diagnóstico precoz y el correcto estadiaje son las formas más eficaces de aumentar las tasas de supervivencia. Otros factores de mal pronóstico son la edad avanzada (> 65 años), el sexo masculino, la localización en el tronco, la inmunosupresión y la existencia de una segunda neoplasia 3.
El diagnóstico del CCM es, en la mayor parte de las veces, histológico, ya que su aspecto clínico no permite diferenciarlo de otros tipos de tumores cutáneos 7. El estudio inmunohistoquímico es fundamental para realizar el diagnóstico diferencial con otros tumores cutáneos de células pequeñas, especialmente con la metástasis del carcinoma pulmonar oat cell.
El estudio de extensión debe incluir una exploración física detallada, una analítica básica y pruebas de imagen para descartar metástasis o carcinoma pulmonar de células pequeñas. Actualmente se prefiere la TC a la radiología convencional, ya que es mucho más sensible y específica. Hay estudios anecdóticos que avalan la utilidad de la PET, tanto en el estadiaje inicial, como en el seguimiento 8,9 y, probablemente, en un futuro cercano, sustituya o complemente a la TC en el estudio de extensión del CCM y de otras neoplasias cutáneas. En nuestro paciente, la PET fue una prueba fundamental para poder diferenciar la afectación ganglionar por carcinoma neuroendocrino (intensa captación de radionucleido) de la afectación leucémica (escasa captación isotópica), permitiendo el abordaje quirúrgico locorregional más adecuado. De igual manera, la PET será fundamental en el seguimiento para diagnosticar de forma precoz las posibles recidivas ganglionares.
El protocolo terapéutico del CCM no está claramente definido ni consensuado, debido a la escasa incidencia de esta neoplasia, y a la ausencia de estudios prospectivos aleatorizados que comparen las distintas modalidades terapéuticas y establezcan el valor real de la cirugía micrográfica de Mohs 10, la BGC 11, la radioterapia 12 y de los distintos regímenes de quimioterapia 13. En la tabla 1 se resumen las opciones terapéuticas según el estadio de Yiengpruksawan 6.
Correspondencia:
Iván Cervigón. Escorial, 26.
28950 Moraleja de Enmedio. Madrid. España.
icervigon@sescam.jccm.es
Recibido el 27 de julio de 2005.
Aceptado el 24 de marzo de 2006.







