El carcinoma de células basales no es solo la neoplasia cutánea más frecuente, sino que puede ser considerada como una de las más frecuentes de la economía corporal. Si bien su diagnóstico no suele presentar excesivas dificultades, existen múltiples variantes morfológicas que pueden dar lugar a diversos, y a veces comprometidos, diagnósticos diferenciales. Es el caso del patrón o fenotipo cilindromatoso, descrito en escasos trabajos de la literatura y no reflejado en los principales libros de texto de dermatopatología1–3.
Varón de 91 años de edad, con fenotipo cutáneo II, que consultó en el servicio de dermatología por la presencia de una pápula eritematosa no ulcerada en la mejilla izquierda de 4 meses de evolución, y que medía 1cm de diámetro máximo. Con el juicio clínico de carcinoma basocelular, se decidió realizar la exéresis lesional. El estudio histológico demostró una epidermis sumamente adelgazada, monoestratificada, focalmente presionada por la presencia, a nivel dérmico, de numerosos nódulos geográficos basaloides que se extendían en profundidad hasta la unión dermo-hipodérmica (0,5cm) (fig. 1). Los nidos geográficos proliferantes se unían en superficie con el estrato basal epidérmico, del que parecían originarse. Las células lesionales mostraban atipia leve-moderada, y se disponían constituyendo empalizadas en la periferia de los nódulos, estando estos rodeados de artefacto de retracción (fig. 2). Mientras que algunos nódulos basaloides mostraban cambios quísticos en su seno, llamaba poderosamente la atención la presencia de un patrón cilindromatoso en otros. Este último patrón estaba definido por la presencia de un estroma intensamente colagenizado e hialinizado en torno a los nódulos tumorales, con presencia de prolongaciones hialinas hacia el centro de los mismos, formando auténticos cilindros a nivel terminal, y dando lugar a una imagen similar a aquella característica de los cilindromas (fig. 3). Con la aplicación de técnicas del PAS-azul alcián, se tiñeron las estructuras cilindromatosas de un tono magenta, mientras las estructuras quísticas se tiñeron de azul, demostrando contenido mucinoso. El estroma peritumoral mostraba un intenso infiltrado linfocitario. Con tales hallazgos se emitió el diagnóstico de carcinoma de células basales nodular con fenotipo cilindromatoso. La exéresis lesional con márgenes libres, tratamiento recomendado, fue suficiente. El paciente no ha tenido recidivas lesionales durante un año de seguimiento.
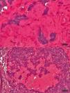
Carcinoma de células basales con patrón cilindromatoso. Detalle de un nido neoplásico constituido por células basaloides que conforman empalizadas periféricas rodeadas de artefacto de retracción. En el seno tumoral se observa gran cantidad de material amorfo, hialino tipo membrana basal (H&E ×100).
La presencia del componente cilindromatoso puede agregarse a la de cualquiera de los patrones «clásicos» del carcinoma de células basales, que orientarán al correcto diagnóstico4–6. En ocasiones, el componente cilindromatoso será mayoritario (como en nuestro caso) e incluso el único presente. En tal caso es conveniente examinar la atipia nuclear, leve-moderada en el caso del carcinoma basocelular, y ausente en el cilindroma común, principal entidad con la que se debe de realizar el diagnóstico diferencial histológico. La presencia de formación de empalizadas periféricas, y la presencia de artefacto de retracción en torno a los nidos neoplásicos, aunque inespecífica, es útil para realizar el diagnóstico diferencial con lesiones anexiales que exhiban fenotipo cilindromatoso1. A este respecto merece la pena destacar el carcinoma cilindromatoso que, como suele ser frecuente en las neoplasias malignas anexiales, mostrará un mayor pleomorfismo celular, frecuentes figuras de mitosis, algunas atípicas y focos de necrosis, hallazgos infrecuentes en el carcinoma de células basales. Las técnicas inmunohistoquímicas no parecen jugar un importante papel diagnóstico en casos de neoplasias con patrón cilindromatoso1–3.





