El cutis laxo (CL) es una enfermedad de la matriz extracelular, congénita o adquirida, que afecta a las fibras elásticas. Se manifiesta clínicamente como laxitud de la piel, que confiere aspecto de envejecimiento prematuro. La blefarocalasia es una forma adquirida de CL que afecta a la región periorbitaria, que normalmente comienza en la infancia o la adolescencia y se acompaña de episodios recurrentes de edema palpebral indoloro que dan lugar, tras varios brotes agudos, a una degradación de las fibras elásticas y laxitud en la piel de la región periorbitaria, lo que puede llegar a afectar al campo visual. La patogenia de la blefarocalasia o blefaroptosis sigue siendo incierta, si bien se ha señalado la implicación de mecanismos inmunopatógenos que dan lugar a la degradación de las fibras elásticas1,2. Grassegger et al.1 y Schaeppi et al.2 hallaron depósitos de inmunoglobulina A (IgA) alrededor de los vasos sanguíneos, glándulas sudoríparas y en la dermis papilar, mientras que Schaeppi et al.2 encontraron la IgA en las fibras elásticas perifoliculares. La histopatología muestra la presencia, en la dermis reticular, de fibras elásticas dispersas, fragmentadas y granulares.
El diagnóstico diferencial de la blefarocalasia incluye enfermedades inflamatorias (dermatitis de contacto, angioedema, blefaritis y angioedema hereditario), neoplasias (tumor retrobulbar o tumor/quiste de la glándula lacrimal), enfermedades sistémicas (enfermedad tiroidea y renal) y otras enfermedades de la matriz extracelular (síndrome de Ehlers-Danlos, pseudoxantoma elástico, elastolisis de la dermis media, anetodermia y elastolisis postinflamatoria) e incluso el envejecimiento fisiológico. Es posible, además, que forme parte de algún síndrome como sucede en el de Ascher (blefarocalasia, labio doble y gota atóxica).
El tratamiento de la blefarocalasia se basa en cirugías reconstructivas con propósito estético y terapéutico, si bien las recurrencias son frecuentes3.
El objetivo de este artículo es mostrar un caso de un paciente joven con blefarocalasia como presentación clínica de CL adquirido.
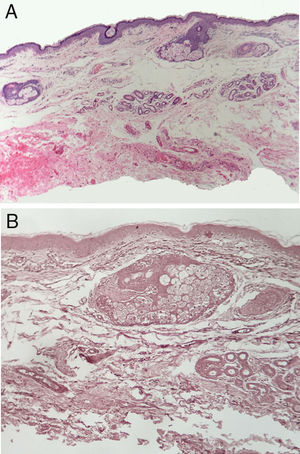
Un varón de 24 años acudió a consulta por flacidez en los párpados superiores con una evolución progresiva durante 8 años, que ocasionaba un importante daño estético. Informó de la aparición a lo largo de más de 2años de varios brotes de edema palpebral que sucedieron años antes de la aparición de la flacidez local y que no fueron tratados. El paciente no refería otros problemas. El examen dermatológico mostró laxitud de la piel de ambos párpados superiores, más acusado en el derecho, con ocultación parcial de las pestañas; la piel de la región palpebral superior estaba atrófica y de color violáceo (fig. 1). La blefaroptosis no afectaba al campo visual. Afirmó no haber utilizado ningún tipo de medicación para el tratamiento de la enfermedad. Las biopsias palpebrales (tinción hematoxilina-eosina) mostraron únicamente edema leve de la dermis superior. La tinción con orceína reveló la ausencia de fibras elásticas (fig. 2). La IgA fue positiva en el interior de las paredes de los vasos dérmicos. La tomografía computarizada de las órbitas, la placa de tórax y las pruebas de laboratorios fueron normales. Se realizó una blefaroplastia superior (fig. 3), con unos excelentes resultados estéticos y funcionales durante el seguimiento. El paciente manifestó haber experimentado un aumento en la amplitud del campo visual, en especial del superior al no estar ya cubiertos los ojos por los párpados superiores.
La blefarocalasia se caracteriza por episodios de edema bilateral indoloros, y se considera una presentación clínica rara del CL4. Por lo general es autolimitada y refractaria a los antihistamínicos y corticosteroides, y en su fase quiescente y tras varios brotes agudos evoluciona hacia una pérdida bilateral de la piel periorbitaria5. La presencia de color violáceo en los párpados superiores6 también fue observada en nuestro paciente y llevó a realizar un diagnóstico diferencial con la dermatomiositis.
La fisiopatología de la blefarocalasia sigue siendo desconocida. Se cree que los episodios inflamatorios dan lugar a una degradación de las fibras elásticas por aumento en la actividad de la elastasa o disminución de la función de la enzima inhibidora de la elastasa, lo que desencadena una elastolisis3. En la gran mayoría de los casos de blefarocalasia no se notificaron manifestaciones sistémicas7. De acuerdo con los hallazgos descritos previamente, los depósitos de IgA, que probablemente se encuentren implicados en la patogenia de la enfermedad, se localizaron, en nuestro caso, en las paredes de los vasos sanguíneos1.
Se ha descrito la posible existencia de agentes desencadenantes como, entre otros, el estrés, la fiebre y las infecciones del tracto respiratorio superior3. Parece existir un mecanismo inmunológico más específico relacionado con las metaloproteasas que degradan la elastina y el colágeno1.
El tratamiento recomendado en la literatura es la blefaroplastia con propósitos estéticos o terapéuticos. Se aconseja que dicha cirugía se realice cuando la enfermedad está en la fase quiescente8. A diferencia de la mayoría de las enfermedades que afectan al tejido conjuntivo, el CL no suele interferir en la recuperación tras la cirugía9. Sin embargo, debido a la posibilidad de recurrencia, se hace necesario realizar un seguimiento del paciente10.
Es muy importante incluir la blefarocalasia entre los diagnósticos diferenciales de las dermatosis que afectan a la región periorbitaria, teniendo en cuenta la relevancia de realizar un diagnóstico correcto que facilite el tratamiento adecuado y el seguimiento del paciente.
Conflicto de interesesLos autores declaran no tener ningún conflicto de intereses.





