HISTORIA CLÍNICA
Mujer de 36 años de edad, sin antecedentes personales ni familiares de interés, que consulta por presentar, desde hace años, una lesión maculosa hiperpigmentada y asintomática en la región preesternal. En los últimos 6 meses la lesión había aumentado de tamaño adquiriendo una morfología irregular, se había sobreelevado parcialmente y tenía una zona de pigmentación más oscura. Refería algún episodio de hemorragia con el roce.
EXPLORACIÓN FÍSICA
A la exploración en la región preesternal se observaba una lesión maculopapulosa, hiperpigmentada, de aproximadamente 0,6 cm de tamaño, bien delimitada, de morfología asimétrica y pigmentación irregular, con una zona inferior de tonalidad negruzca (fig. 1).
Fig. 1.--Lesión maculopapulosa hiperpigmentada, asimétrica, irregular, en región preesternal.
EXPLORACIONES COMPLEMENTARIAS
Se realizó un examen dermatoscópico (fig. 2) y exéresis de la lesión, con estudio anatomopatológico (fig. 3).
Fig. 2.--Dermatoscopia: quistes tipo milium (⇒), pseudoaperturas foliculares (→) y patrón en empedrado (*).
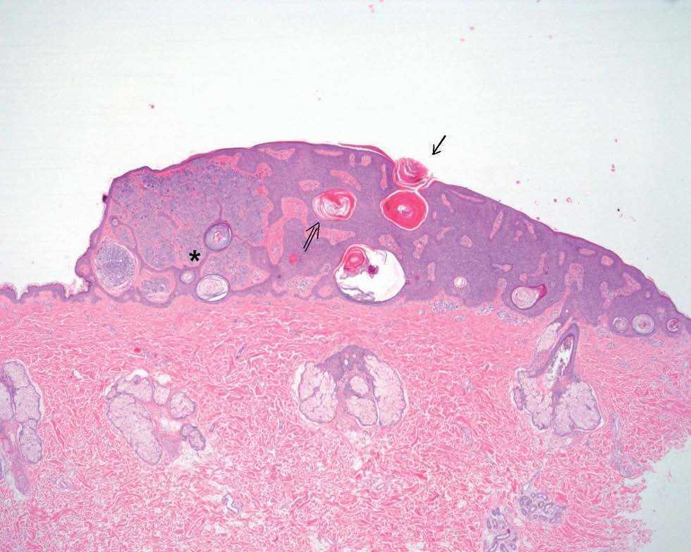
Fig. 3.--Cúmulos de queratina intraepidérmicos sin comunicación con el exterior (⇒) y abiertos a la superficie (→). Numerosas tecas de melanocitos en dermis (*).
DIAGNÓSTICO
Nevus melanocítico intradérmico asociado a queratosis seborreica.
DERMATOSCOPIA
El examen dermatoscópico mostró la presencia de criterios diagnósticos de dos tipos de lesiones diferentes combinadas en una misma lesión clínica (fig. 2): en la zona inferior se aprecian quistes tipo millium (estructuras circulares blanco-amarillentas de pequeño tamaño) y pseudoaperturas foliculares (estructuras de color marrón o negro circulares con aspecto de comedón); y en la zona superior se observan agregados de glóbulos marrones de pigmentación uniforme y tamaño variable formando un patrón en «empedrado».
HISTOPATOLOGÍA
En el estudio anatomopatológico se observaron hallazgos que se correlacionan con los encontrados en la dermatoscopia (fig. 3). La presencia de cúmulos de queratina intraepidérmica sin comunicación con el exterior corresponde a los quistes, y los que alcanzan la superficie cutánea a las pseudoaperturas foliculares. Los glóbulos marrones observados mediante dermatoscopia corresponden a los distintos nidos de melanocitos situados en la dermis.
COMENTARIOS
La dermatoscopia es una técnica diagnóstica no invasiva que permite observar in vivo patrones de pigmento en la epidermis y la dermis, entre otros. Esta técnica supone un paso intermedio entre la observación clínica y el estudio histopatológico de las lesiones pigmentadas; así, cada estructura observada mediante dermatoscopia se correlaciona con una estructura anatomopatológica 1. La dermatoscopia supone un complemento a la exploración clínica aumentando la precisión diagnóstica en las lesiones pigmentadas, especialmente en el caso del melanoma 2. También puede servir de ayuda al estudio anatomopatológico permitiendo seleccionar la zona más adecuada para realizar una biopsia en lesiones sospechosas de malignidad, heterogéneas y de gran tamaño 3.
La técnica diagnóstica dermatoscópica se realiza en dos etapas. En una primera etapa se diferencia entre lesión de origen melanocítica o no melanocítica, y en la segunda etapa se valora la naturaleza benigna o maligna de dicha lesión. En nuestro caso observamos criterios dermatoscópicos diagnósticos de lesión no melánica y sugestivos de queratosis seborreica en la zona superior de la lesión, y de lesión melánica en la zona inferior formando una lesión combinada. La presencia de glóbulos formando un patrón en «empedrado» nos lleva al diagnóstico de lesión melánica benigna, siendo este patrón característico de nevus dérmico o compuesto y correlacionándose histológicamente con el componente intradérmico del mismo.
La lesión combinada es aquella que está formada por dos o más lesiones cutáneas de distinto origen. En las lesiones combinadas no existe un patrón de asociación y en la mayoría de los casos es un hallazgo fortuito e inesperado. La dermatoscopia es de gran utilidad para el diagnóstico de estas lesiones, ya que se pueden observar estructuras y patrones característicos de cada tipo de lesión.
Generalmente el diagnóstico clínico de la queratosis seborreica no ofrece dificultad, sin embargo en los casos dudosos es donde la dermatoscopia supone una importante mejora del diagnóstico clínico (del 62 al 77 %) 4. La dermatoscopia ha demostrado su utilidad en el diagnóstico diferencial y seguimiento de las lesiones pigmentadas, especialmente en pacientes de alto riesgo, permitiendo la detección precoz del melanoma. Además el diagnóstico dermatoscópico de lesiones benignas, como queratosis seborreicas o angiomas, ayuda a evitar tratamientos innecesarios o excesivamente agresivos.
Declaración de conflicto de intereses
Declaramos no tener ningún conflicto de intereses.
Correspondencia:
S. Córdoba Guijarro. Servicio de Dermatología.
Camino del Molino, 2. 28942 Fuenlabrada. Madrid. España.
Correo electrónico: scordoba.hflr@salud.madrid.org
Recibido el 24 de mayo de 2005.
Aceptado el 14 de febrero de 2006.





