INTRODUCCION
Los aspergilos son hongos habitualmente saprofitos que en determinadas circunstancias pueden ser patógenos para el hombre, afectando principalmente a pacientes inmunodeprimidos, siendo los enfermos hematológicos un grupo diana para estos agentes oportunistas1.
Aspergillus sp. es patógeno respiratorio; el pulmón y los senos paranasales son los órganos principalmente afectados, desde ellos la infección se extiende a otros órganos en un 30% de los casos, afectando a la piel en menos del 5% de los pacientes con enfermedad diseminada2, 3.
DESCRIPCIÓN DEL CASO
Mujer de 44 años diagnosticada de leucemia aguda mieloblástica sin alteraciones citogenéticas, sometida a tratamiento quimioterápico de inducción por el servicio de Hematología para posterior trasplante de médula ósea. El día 25 de la inducción, estando aún aplasiada, comenzó con fiebre alta, deterioro del estado general y aparición de lesiones cutáneas, motivo de consulta a nuestro servicio.
En la exploración la paciente presentaba lesiones papulonodulares de superficie eritematosa con tendencia a la necrosis central localizadas en tronco y extremidades de tamaño que variaba entre 3-4 mm a 2-3 cm de diámetro (fig. 1).
Fig. 1.--Lesión nodular eritematosa localizada en pierna con centro ulceronecrótico.
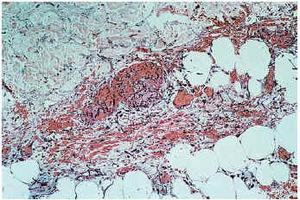
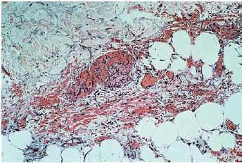
Se realizó biopsia de una de las lesiones y toma de muestra para cultivo microbiológico. El estudio histológico, confirmado con PAS, demostró la presencia de hifas tabicadas y ramificadas localizadas por toda la dermis e hipodermis con invasión masiva de los vasos (figs. 2 y 3). El cultivo microbiológico fue positivo para Aspergillus niger.
Fig. 2.--Presencia de múltiples hifas tabicadas y ramificadas en dermis profunda e hipodermis con invasión vascular (hematoxilinaeosina ×10).
Fig. 3.--Confirmación de las estructuras micelares mediante la tinción con PAS (×20).
Se realizó tomografía axial computarizada (TAC) torácica de alta resolución buscando un foco primario y se observó una lesión nodular en el lóbulo medio del pulmón derecho, de 1,5 cm de diámetro, considerándose, por tanto, la afectación cutánea secundaria a la diseminación pulmonar. La paciente comenzó tratamiento pautado por el servicio de Hematología con anfotericina liposomal a la dosis de 5 mg/kg/día por vía intravenosa, obteniéndose clara mejoría, y se sustituyó después por voriconazol vía oral, triazol de reciente aparición, con resolución total del cuadro infeccioso, desaparición de las lesiones cutáneas y del nódulo pulmonar como se comprobó en las pruebas de imagen realizadas posteriormente.
DISCUSION
Aspergillus sp. es un hongo saprofito, filamentoso, tabicado, ampliamente repartido en la naturaleza, con más de 300 especies descritas. Se ha encontrado colonizando la mucosa de las vías respiratorias, tracto gastrointestinal y conducto auditivo externo en personas sanas4-6.
Se comporta como agente patógeno en pacientes inmunodeprimidos (pacientes hematológicos, trasplantados, prematuros) o sometidos a tratamientos agresivos7. Son escasos los trabajos publicados de aspergilosis cutánea o visceral afectando a individuos inmunocompetentes8, 9. Sorprende la poca frecuencia con que la aspergilosis se presenta en pacientes con sida en comparación con otros grupos de pacientes inmunodeprimidos10-12.
La aspergilosis cutánea se presenta más frecuentemente como infección secundaria por diseminación desde otro foco primario, generalmente el pulmón. La afectación cutánea primaria es más rara, originándose a través de traumatismos locales como la inserción de catéteres intravenosos contaminados, quemaduras, heridas quirúrgicas o piel macerada
bajo apósitos12-14.
De todas las especies de aspergilos sólo 5 son las que comúnmente producen enfermedad15: A. fumigatus, A. flavus, A. niger, A. terreus y A. nidulans.
A. fumigatus es la especie más frecuentemente aislada en caso de aspergilosis cutánea secundaria16, seguida por A. flavus (siendo esta especie la causa más frecuente de aspergilosis cutánea primaria), y en menor porcentaje A. niger y A. terreus. A. niger, especie aislada en nuestra paciente, es la causa fundamental de otomicosis.
Las lesiones suelen comenzar como papulopústulas o nódulos eritematovioláceos que evolucionan a la ulceración y necrosis dada la tendencia de Aspergillus sp. a invadir vasos y producir trombosis cutáneas.
En la aspergilosis cutánea primaria las lesiones son únicas en el 60% de los casos y cuando son múltiples se localizan agrupadas en una misma zona4. En nuestra paciente las lesiones se encontraban diseminadas por todo el cuerpo, lo que se explica por la diseminación hematógena a partir del foco primario pulmonar, a pesar de que la paciente no cursó con clínica respiratoria previa a la aparición de las lesiones cutáneas.
En el estudio histológico de las lesiones cutáneas con la tinción de ácido periódico de Schif (PAS) o con metamina-plata se observan hifas tabicadas, ramificadas en ángulo agudo y con tendencia a la invasión y trombosis de los vasos, que es muy orientativa de infección por Aspergillus sp.; no obstante, hay que hacer el diagnóstico diferencial con otras micosis de la especie Fusarium sp. y Pseudallescheria boydii, por lo que el diagnóstico de confirmación se obtiene con el crecimiento del hongo en medio de Saboraud4, 17.
Estey et al18 llegan a la conclusión de que la infección por hongos supone el 40% de las infecciones graves durante el período inicial de inducción de la remisión en pacientes con leucemia, situación en la que también se encontraba nuestra paciente.
En conclusión, hemos presentado un nuevo caso de aspergilosis cutánea secundaria en una paciente con leucemia aguda mieloblástica en la que el estudio histológico de las lesiones cutáneas permitió sospechar precozmente la posible etiología de la infección, ya que a pesar de tener un foco primario en pulmón ésta no cursó con clínica respiratoria previa. Recordamos que la aspergilosis es la segunda causa de micosis visceral en inmunodeprimidos después de Candida sp.19 y que la afectación cutánea se da en menos del 5% de los casos de aspergilosis diseminada.





