HISTORIA CLINICA
Un varón de 6 años de edad fue remitido a la consulta de dermatología de nuestro servicio por unas lesiones cutáneas en miembros inferiores y flanco izquierdo. Los antecedentes personales carecían de interés. La madre del paciente refería la aparición progresiva de lesiones en el niño. Éstas se habían iniciado en la raíz de muslos, y se habían extendido en el último año de forma gradual, afectando a ambos miembros inferiores y parte del tronco en el momento actual; asimismo, algunas de ellas habían aumentado de tamaño. Las lesiones eran persistentes, no tendían a la resolución con el tiempo, y eran asintomáticas.
Ninguno de los familiares de primer grado del paciente presentaba lesiones cutáneas similares o relevantes.
EXPLORACION FISICA
En la exploración física se apreciaron lesiones de pequeño tamaño, papulotuberosas, de coloración amarillenta y consistencia firme, distribuidas de forma simétrica en ambas extremidades inferiores y flanco izquierdo (figs. 1 y 2). El resto de la exploración física resultó normal.
Fig. 1.--Lesiones papulosas en el muslo.
Fig. 2.--Pápulas induradas en nalga.
EXPLORACIONES COMPLEMENTARIAS
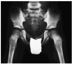
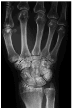
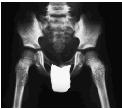
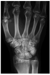
En una radiografía simple de caderas y miembros superiores se encontraron lesiones escleróticas de osteopoiquilosis en muñecas y pelvis (fig. 3). En el estudio radiológico efectuado a los padres y hermanos del paciente se hallaron lesiones óseas escleróticas en la madre, en las manos (fig. 4) y miembros inferiores.
Fig. 3.--Lesiones de osteopoiquilosis en las caderas del paciente.
Fig. 4.--Lesiones óseas escleróticas en muñeca y mano de la madre del paciente.
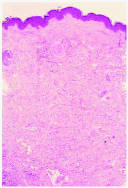
Se practicó una biopsia cutánea de una de las lesiones del paciente (fig. 5).
Fig. 5.--Colágeno maduro y compactado en dermis sin alteraciones inflamatorias. (Hematoxilina-eosina, x40.)
DIAGNOSTICO
Nevos de tejido conjuntivo y osteopoiquilosis (síndrome de Buschke-Ollendorff).
HISTOPATOLOGIA
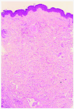
En el examen histopatológico se observa una epidermis normal, con una acumulación en la dermis de colágeno maduro y compactado, con ausencia de cambios inflamatorios, lo cual es compatible con nevos del tejido conjuntivo.
COMENTARIO
El síndrome de Buschke-Ollendorff es una entidad muy poco frecuente descrita por primera vez en 19281, de tipo hereditario, que se transmite con patrón de herencia autosómico dominante con expresividad variable. Asocia lesiones cutáneas de nevos de tejido conjuntivo (dermatofibrosis lenticular diseminada) con lesiones óseas de osteopoiquilosis, aunque existen casos de nevos de tejido conjuntivo sin osteopoiquilosis2.
Las lesiones de la piel se localizan con más frecuencia en las extremidades, y pueden ser únicas o múltiples, habitualmente bilaterales, con tendencia a confluir, y son asintomáticas3. Histológicamente, se observa un exceso de fibras elásticas, alargadas y entrelazadas en la dermis reticular, así como haces de colágeno engrosados y compactados4. En estudios de microscopia electrónica se ha encontrado un aumento de la densidad de las fibras de colágeno, así como ausencia de microfibrillas y fibras de anclaje. Los fibroblastos pueden mostrar signos de hiperactividad5.
La osteopoiquilosis es asintomática, y se presenta como zonas radioopacas en la radiografía de huesos largos y pelvis. Las localizaciones más frecuentes son falanges, metacarpianos, metatarsianos, huesos del tarso, pelvis y fémur. Suelen estar respetadas las costillas, el cráneo y las vértebras6. Se han descrito otras anomalías óseas, como exostosis, encondromas y osteofibromas5.
La etiopatogenia de este síndrome todavía no es bien conocida, aunque la causa puede ser la alteración en la síntesis o metabolismo de componentes del tejido conjuntivo y existen evidencias de que tanto la elastina como el colágeno son anormales en las lesiones cutáneas2. Se ha observado que existe un exceso en la acumulación de elastina producida por los fibroblastos de la piel7, y que fibroblastos localizados en las lesiones producen una mayor cantidad de precursor de elastina (tropoelastina) que los fibroblastos normales8. No se han descubierto alteraciones estructurales en el gen de la elastina en las familias afectadas, y algún trabajo muestra la ausencia de anomalías en los genes del colágeno2. La diversidad fenotípica de estos pacientes podría indicar la participación de numerosos factores genéticos, así como anomalías en los mecanismos de regulación de la expresión de genes del tejido conjuntivo4.
Se postula como norma general que el síndrome de Buschke-Ollendorff es una enfermedad con buen pronóstico, sin excesivas complicaciones. No obstante, existen diversas enfermedades asociadas que justifican el seguimiento de estos pacientes, así como la realización de consejo genético. Se describe la afectación del sistema auditivo por otoesclerosis9 o sordera por condensación del hueso petroso10. También se asocian cataratas, úlcera péptica3 o estenosis vertebral congénita9. Existe algún caso de compresión de nervios periféricos por atrapamiento11. Otras asociaciones descritas asimismo son talla baja, malformaciones dentales, costillas supernumerarias, diabetes, cataratas4, criptorquidia, infantilismo y retraso mental3. También se han encontrado en diversos casos alteraciones del metabolismo de fósforo y calcio, con un significado incierto12.
Aparte de esto, desde el punto de vista del tratamiento clínico es importante conocer la existencia de esta enfermedad en los antecedentes médicos del paciente para evitar errores diagnósticos, fundamentalmente en el campo de la radiología.







