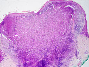
Una niña de 12 años, con fototipo II de Fitzpatrick acudió a la clínica ambulatoria de Dermatología con historia de 4 meses de nódulo rosa asintomático en el dorso de la mano izquierda. Se observó un nódulo exofítico blando y bien delimitado de 0,8cm×0,8cm (fig. 1).
Dermatoscopia de la lesión (fig. 2)
¿Cuál es su diagnóstico?
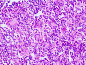
ComentarioLa dermatoscopia de la lesión reveló la presencia de una “nube” de zona amarilla más clara central, de la que partían vetas blancas brillantes, vasos lineales en la periferia, vasos en horquilla en el centro, y pocas escamas. Se extirpó la lesión con anestesia local, realizándose sutura discontinua simple de la herida quirúrgica. El diagnóstico diferencial incluyó nevus de Spitz, reticulohistiocitoma solitario, dermatofibroma y xantogranuloma juvenil (XJ). El examen histopatológico reveló principalmente la presencia de células gigantes multinucleadas de tipo Touton, escasos histiocitos mononucleados con gran citoplasma vacuolado eosinofílico y abundante infiltrado inflamatorio linfoplasmocitario (figs. 3 y 4). La inmunohistoquímica fue positiva para CD68 y S100, y negativa para CD1a, Sox 10. Dichos hallazgos, junto con la exploración clínica y la dermatoscopia, respaldaron el diagnóstico de XJ.
La forma más común de histiocitosis de células no Langerhans es XJ. Su presentación clínica son las lesiones papulonodulares amarillas, rojas o marrones, que se observan normalmente en individuos de las dos primeras décadas de vida, y que se resuelven espontáneamente a menudo1. La dermatoscopia demuestra ser valiosa a la hora de distinguir XJ de otras lesiones cutáneas, considerando sus diversas presentaciones clínicas a lo largo de las diferentes etapas de su evolución2,3. Histopatológicamente, el primer estadio de XJ se caracteriza por la proliferación diseminada de pequeñas células histiocíticas monomorfas. A medida que progresa hacia su estadio desarrollado xantomatizado las células gigantes de Touton se hacen más prominentes. Durante la etapa de transición, se observan reacciones moderadas de tejido fibrótico con incremento del número de células fusiformes2,3. El patrón dermatoscópico típico de “sol poniente” caracterizado por un fondo amarillento con eritema periférico sutil se observa principalmente durante las etapas temprana y desarrollada de la enfermedad. En la etapa de transición, son más comunes las “nubes” de zonas amarillas más claras, que representan posiblemente la evolución del fondo amarillo al aspecto de “sol poniente”2,3,5. Debido a la fibrosis dérmica en las etapas más tardías, pueden observarse vetas blancas brillantes o zonas blanquecinas con distribución estelada2,3. En todas las etapas de la XJ, se describen hallazgos vasculares, mientras que los vasos lineales, que pueden partir desde la periferia al centro, son los más frecuentemente observados. En ciertos casos, pueden presentarse vasos moteados, en forma de coma, en espiral, globulares, arboriformes y de tipo horquilla, e incluso vasos polimórficos2–6. También se han reportado características dermatoscópicas tales como red pigmentada, folículos, erosiones y escamas asociadas a esta entidad3,4.
Conflicto de interesesLos autores declaran la ausencia de conflicto de intereses.






