Un varón de 79 años, con historia clínica de hipertensión arterial y dislipidemia, acudió a consulta por lesión de rápido crecimiento en el curso de seis meses en la región inguinocrural derecha. La exploración física reveló la presencia de una mancha eritematosa bien delimitada de >5cm de diámetro, con nódulos sangrantes ulcerados en el centro, siendo dolorosos y friables al tacto (fig. 1). La dermatoscopia confirmó la presencia de zonas desestructuradas de color rojo brillante y bien delimitadas, rodeadas de zonas homogéneas de color naranja cubiertas por escamas marrones dispersas (fig. 2).
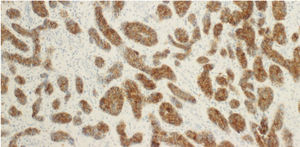
HistopatologíaLa biopsia cutánea de grosor total de un nódulo reveló la presencia de acumulaciones celulares semejantes a células basales epidérmicas (núcleos redondos, cromatina densa y citoplasma basofílico escaso), con centros sólidos (totalmente rellenos de células) y capas periféricas con núcleos perpendicularmente dispuestos – núcleos empalizados. La inmunohistoquímica de BerEP4 fue fuertemente positiva, con tinción intensa de anticuerpos por parte de las acumulaciones celulares (fig. 3).
Cuál es su diagnóstico?
DiagnósticoCarcinoma basocelular.
Curso y tratamiento de la enfermedadDebido a la extensión de la lesión, el paciente fue tratado primeramente con pomada tópica neoadyuvante de Imiquimod 12,5mg/250mg una vez al día durante cinco días consecutivos por semana durante 6 semanas, como única terapia. Se reportaron resultados funcionales y cosméticos excelentes, y como la biopsia de seguimiento resultó negativa para células tumorales tras dicho periodo, decidimos mantener al paciente bajo observación estrecha, evitando la cirugía.
ComentarioEl cáncer cutáneo no melanocítico representa cerca de 1/3 de todas las neoplasias diagnosticadas a nivel mundial cada año. En particular, el carcinoma basocelular es el cáncer humano más común de todos ellos1. La edad es un factor de riesgo independente (ya que la tasa de incidencia se duplica entre las décadas vitales 4ª y 7ª) siendo más prevalente en varones, con un ratio hombre-mujer de 1,5–2. Puesto que su incidencia está al alza (y seguirá creciendo probablemente dado el envejecimiento de la población con exposición a los UV en el pasado y la actualidad), también lo están la carga y los costes asociados, lo cual constituye un problema de salud pública2.
Por otro lado, el carcinoma basocelular afecta principalmente a las zonas fotoexpuestas (mayormente la cabeza, mejillas y nariz, y menos frecuentemente al tronco y las extremidades)3. Sólo el 1% de las lesiones aparecen en los genitales y la zona perineal4. Como tal, su diagnóstico podría pasar inadvertido al abordar las lesiones en estas zonas. El hecho de que se trata de una entidad paucisintomática (ya que los pacientes exhiben prurito mínimo o sangrado ocasional) contribuye a la demora de su diagnóstico. Algunos de los factores implicados en el desarrollo del carcinoma basocelular en zonas no fotoexpuestas incluyen maceración crónica, traumatismo, inmunosupresión, exposición al arsénico, y radiación ionizante4.
Se consideraron primeramente otros diagnósticos, tales como angiosarcoma, linfoma cutáneo, carcinoma de células escamosas y metástasis cutánea procedente de tumor primario desconocido. Las pruebas de biopsia cutánea e inmunohistoquímica dieron posteriormente lugar al diagnóstico definitivo de carcinoma basocelular.
Este caso destaca la importancia de considerar el carcinoma basocelular en pacientes mayores con lesiones con presentaciones atípicas. Aunque raramente es fatal -dado que la enfermedad sistémica y las metástasis son infrecuentes- de no tratarse puede invadir profundamente la piel y los tejidos blandos circundantes, siendo altamente destructivo y disfigurante5, contribuyendo a una mala funcionalidad, discapacidad y carga de la enfermedad. Su diagnóstico y tratamiento adecuados son esenciales para evitar dichos malos resultados.
Conflicto de interesesLos autores declaran no tener ningún conflicto de intereses.





