INTRODUCCION
El angiosarcoma es un tumor maligno, agresivo, y de muy escasa frecuencia. Puede aparecer de forma espontánea especialmente en la cara y el cuero cabelludo de ancianos, pero también puede surgir sobre un linfedema crónico del miembro superior, generalmente secundario a tratamiento quirúrgico y radioterápico por carcinoma de mama, lo que se ha denominado síndrome de Stewart-Treves. Mucho más rara es la aparición sobre un linfedema crónico de otra etiología.
Presentamos dos casos de angiosarcoma sobre linfedema, uno de ellos típico, otro extremedamente raro, proponiendo el término de síndrome de Stewart-Treves para todos los casos de angiosarcoma sobre linfedema, independientemente de la causa y la localización.
CASOS CLINICOS
Caso 1
Mujer de 83 años, con antecedente de cáncer de mama y tratada mediante mastectomía y radioterapia. Como consecuencia del tratamiento desarrolló un linfedema en el miembro superior derecho, ipsilateral a la mama mastectomizada. A los 10 años de este tratamiento, apareció sobre el linfedema una placa eritematoviolácea de 5 cm de diámetro, bien definida e indurada (fig. 1). El examen histológico reveló que la lesión correspondía a un angiosarcoma (confirmado por técnicas de hematoxilina-eosina y técnicas de inmuohistoquímica (CD34 positivo). Se instauró un tratamiento con radioterapia, con buena respuesta. La paciente presenta una lesión residual y continúa en seguimiento por nuestra parte y el servicio de oncología.
Fig. 1.--Angiosarcoma localizado, en paciente sometida a mastectomía y radioterapia.
Caso 2
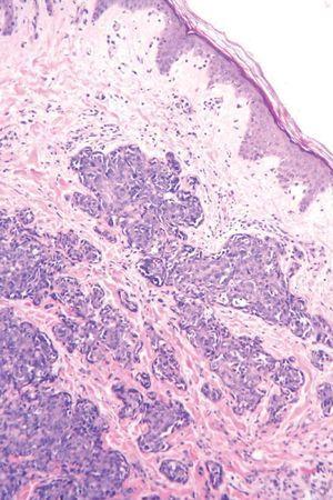
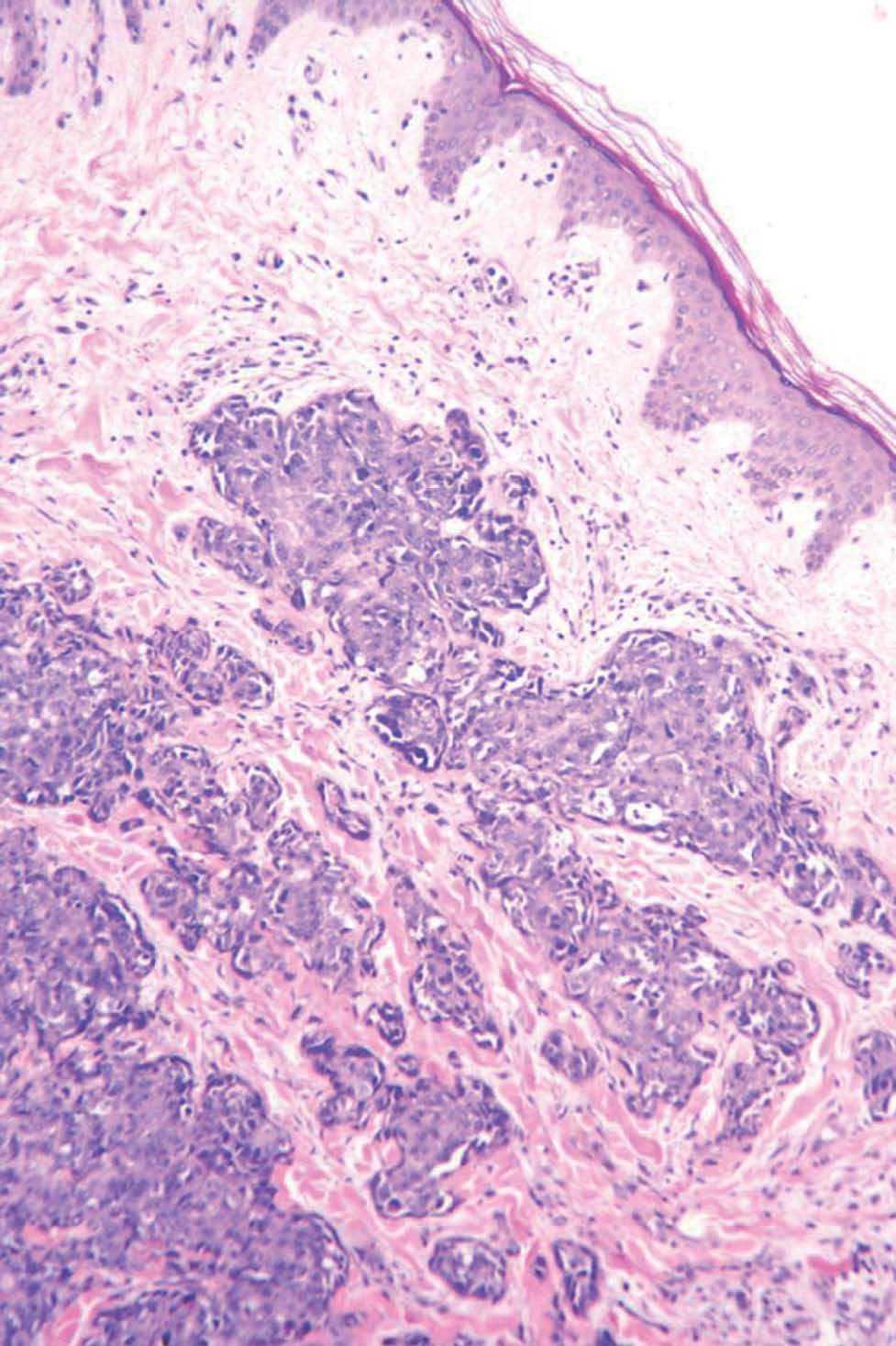
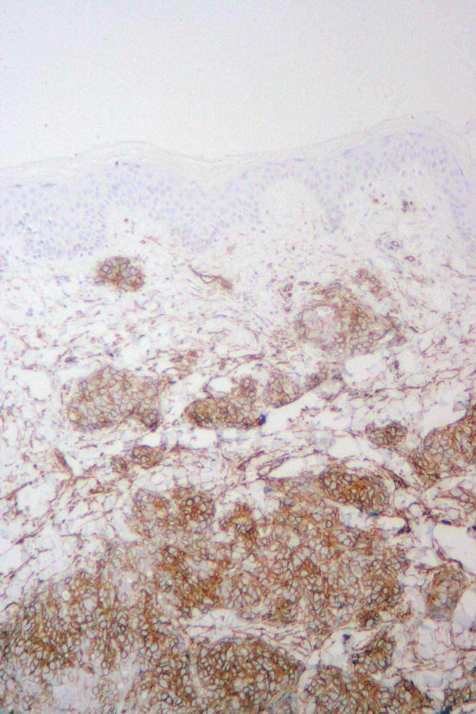
Varón de 42 años, intervenido a los 10 años de una lesión en la ingle derecha que el paciente definió como «lipoma» (no aportó informe anatomopatológico). A partir de dicha intervención desarrolló un aumento del diámetro de la extremidad inferior derecha (homolateral a la extirpación del lipoma), que se extendió al muslo y los genitales, siendo diagnosticado de linfedema secundario de miembro inferior derecho. Años después apareció una lesión eritematosa extensa y mal definida que abarcaba la mayor parte del territorio del linfedema, respetando pequeñas zonas como la raíz del muslo (figs. 2 y 3). En el diagnóstico histológico, la tinción de hematoxilina-eosina (fig. 4) mostraba pocas luces vasculares por tratarse de un angiosarcoma poco diferenciado. Por esta razón, el diagnóstico fue confirmado por las técnicas inmunohistoquímicas: citoqueratina negativa (que tiñe las células epiteliales, y por tanto esta neoplasia no está constituida por células derivadas del epitelio), vimentina positiva (que tiñe células tumorales) y CD34 positivo (este último marcador es diagnóstico, pues es específico del endotelio vascular del que deriva esta neoplasia) (fig. 5). Se realizó estudio de extensión (tomografía axial computarizada [TAC] toracoabdominal y resonancia magnética [RM] de miembro inferior derecho) que resultó negativo. Se inició un tratamiento con ifosfamida más adriamicina, recibiendo un total de cuatro ciclos. En la respuesta clínica se observó una disminución del edema y eritema. Se trató posteriormente con adriamicina liposomal con nula respuesta y desarrollando complicaciones como fenómenos isquémicos distales y sobreinfección. Debido a la mala evolución se decidió la amputación del miembro con desarticulación de la cadera e injerto en muñón. Actualmente se ha confirmado la progresión de la enfermedad con afectación cutánea, localizada en el flanco izquierdo y está recibiendo quimioterapia de segunda línea.
Figs. 2.--Angiosarcoma difuso sobre linfedema idiopático en varón joven.
Figs. 3.--Detalle de la lesión correspondiente al angiosarcoma, donde se observa una pequeña zona respetada.
Fig. 4.--Tinción hematoxilina-eosina. Se observan pocas luces vasculares (poco diferenciado).
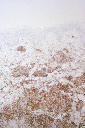
Fig. 5.--Técnicas de inmunohistoquímica: CD34 positivo. Muy específico del endotelio vascular del que deriva el angiosarcoma, marcaje que da el diagnóstico.
DISCUSION
El angiosarcoma, también llamado angioendotelioma maligno, es un proceso neoplásico muy agresivo y de muy baja frecuencia 1, siendo su localización cutánea más frecuente la cara y el cuero cabelludo de pacientes ancianos 2. En algunas ocasiones, aparece sobre una mama tratada con radioterapia y de manera más infrecuente puede hacerlo sobre un linfedema crónico 3.
El linfedema es el resultado de una acumulación de líquido intersticial rico en proteínas, causado por un fallo en el drenaje linfático normal. El origen de este edema puede ser congénito o adquirido, siendo éste último secundario a infección, radiación, traumatismo, o cirugía 4.
Stewart y Treves fueron los primeros en describir la aparición de un angiosarcoma sobre un linfedema crónico. En sentido estricto, se denomina síndrome de Stewart-Treves al angiosarcoma que se desarrolla sobre un linfedema secundario al empleo de cirugía y radioterapia en el tratamiento de un carcinoma de mama y se localiza en la extremidad superior homolateral 5.
Existen recogidos en la literatura más de 100 casos de síndrome de Stewart-Treves, pero se incluyen pacientes con angiosarcoma sobre linfedema, en la extremidad superior contralateral o en extremidades inferiores. La mayoría de los casos se refieren al síndrome inicialmente descrito y por lo tanto aparecen en pacientes sometidas a cirugía y radioterapia 6. El desarrollo de la neoplasia surge entre los 5-11 años del tratamiento. En la mayoría de los casos de angiosarcoma post-tratamiento del cáncer de mama se relaciona su origen con la radioterapia 7. Sin embargo, se ha demostrado que el linfedema puede ser secundario a la radiación, a otras intervenciones quirúrgicas distintas a la mastectomía más linfadenectomía, o incluso secundario a causas diferentes a las mencionadas anteriormente como infecciones o traumatismos, y sobre estos linfedemas también puede aparecer el tumor. Por tanto el desarrollo de un angiosarcoma secundario a linfedema crónico es un concepto más amplio al definido inicialmente por Stewart y Treves. Así los casos descritos en miembros inferiores suelen asentar sobre un linfedema idiopático 8 y existen formas de angiosarcoma en los que éste no está presente 7.
Billings et al establecen una variante en este concepto que han denominado «angiosarcoma cutáneo postrradiación de mama», cuyas diferencias más importantes con el síndrome clásico son un menor período de latencia desde el tratamiento y la falta de asociación con el linfedema 5.
Nuestro primer caso corresponde con el típico angiosarcoma localizado, desarrollado sobre un linfedema en una paciente mastectomizada, mientras que el segundo, localizado en miembro inferior, es extremadamente raro según la literatura, coincidiendo con ésta en que la presentación de la neoplasia suele ser en forma difusa, en contra de la forma localizada que asienta sobre el miembro superior 8.
Aunque la etiopatogenia no está bien establecida, las teorías patogénicas actuales destacan que al desarrollarse el linfedema, independientemente de que la causa sea la radiación, la cirugía, o cualquier otra, se produce un estímulo angiogénico en el territorio del edema, que da lugar a la neoformación de vasos linfáticos y sanguíneos colaterales. Debido a ese estímulo angiogénico continuo, podrían llegar a desarrollarse algunos procesos malignos como el síndrome de Stewart-Treves o el sarcoma de Kaposi 4.
El angiosarcoma asociado a linfedema es una neoplasia altamente agresiva, de muy mal pronóstico, la mayoría de los pacientes mueren en un corto período de tiempo desde su presentación 9. Con relación a la agresividad de este proceso y la baja supervivencia, diferentes autores insisten en la necesidad de realizar precozmente la biopsia en pacientes que presentan nuevas lesiones cutáneas tras la radioterapia por cáncer de mama 7.
Con respecto al tratamiento unos resaltan la necesidad de un tratamiento agresivo combinando la cirugía local y la quimioterapia sistémica adyuvante en el tratamiento del angiosarcoma en mama irradiada 10. Más controvertido es el tratamiento del angiosarcoma asociado a linfedema, sobre todo en el caso de angiosarcoma difuso que nos ocupa, donde el único tratamiento quirúrgico es la amputación por la imposibilidad de la cirugía local. En nuestro paciente el tratamiento empleado fue la poliquimioterapia sin cirugía. En lo referente a la quimioterapia adyuvante, ha mostrado beneficio en angiosarcomas poco diferenciados, pero no en los bien diferenciados 11 y sólo el paclitaxel ha mostrado cierto resultado frente al angiosarcoma localizado fuera de cabeza y cuello 12. Finalmente hay autores que reclaman estudios de investigación en el futuro sobre terapias adyuvantes para prevenir la aparición de esta neoplasia 13.
Correspondencia:
A. Rodríguez Bujaldón.
Servicio de Dermatología M-Q y Venereología. Edificio de consultas externas, 2.ª planta.
Hospital Universitario Reina Sofía. Avda. Menéndez Pidal, s/n. 14004 Córdoba. España.
alfonsobujaldon@yahoo.es
Recibido el 24 de enero de 2006.
Aceptado el 27 de junio de 2006.







