La expresión «ampollas del coma» hace referencia a la presencia de ampollas cutáneas en pacientes con pérdida del nivel de conciencia. Fueron descritas inicialmente por Larrey en soldados intoxicados por monóxido de carbono en 18121. Desde entonces se han relacionado principalmente con sobredosis de fármacos y drogas depresoras del sistema nervioso central como barbitúricos, antidepresivos tricíclicos, opiáceos o alcohol; afecciones neurológicas como meningoencefalitis, enfermedad cerebrovascular o traumatismo craneoencefálico; o alteraciones metabólicas como hipercalcemia, hipoglucemia o cetoacidosis diabética2–4. Sin embargo, también se han descrito en pacientes sin alteración del nivel de conciencia, tras largos periodos de inmovilización o asociadas a granulomatosis de Wegener5–7.
Presentamos una mujer de 24 años de edad, con antecedentes de trastorno de la personalidad y consumo ocasional de cocaína y anfetaminas, que fue encontrada inconsciente en su domicilio. La paciente había ingerido múltiples comprimidos de su medicación habitual (topiramato, duloxetina, quetiapina y clorazepato).
A su llegada a Urgencias presentaba un bajo nivel de conciencia (Glasgow 6), con palidez cutánea y pupilas midriáticas reactivas. Tras estimulación física se observó una mejoría parcial (Glasgow 10), estableciéndose tratamiento con oxígeno, sueroterapia, lavado gástrico y carbón activado.
La TC craneal no mostró datos de afección aguda intracraneal. En el estudio analítico destacaba una creatina cinasa sérica de 5.590U/L, con función renal normal. El análisis de tóxicos en orina mostró niveles elevados de benzodiacepinas.
Durante las primeras 24h de su estancia en el hospital presentó lesiones cutáneas asintomáticas, localizadas sobre prominencias óseas. En la exploración se observaron placas eritematosas bien delimitadas sobre las que asentaban ampollas tensas de contenido seroso. (fig. 1A y B). Las lesiones mostraban una morfología artefacta y se distribuían de forma característica sobre zonas de presión (articulaciones metacarpofalángicas de la mano derecha, cadera derecha y rodilla izquierda).
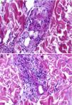
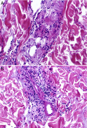
El estudio histopatológico mostró una ampolla subepidérmica con focos de reepitelización (fig. 2), así como focos de necrosis del epitelio glandular en los ovillos ecrinos, con infiltración periglandular neutrofílica (fig. 3A). Se observaron infiltrados dérmicos, perivasculares y perianexiales, de predominio neutrofílico, y focos de necrosis fibrinoide en la pared de pequeños capilares dérmicos con infiltración neutrofílica de esta (fig. 3B).
A) Focos de necrosis del epitelio glandular en los ovillos ecrinos con infiltración periglandular neutrofílica. Hematoxilina-eosina, ×20. B) Infiltrados dérmicos, tanto perivasculares como perianexiales, de predominio neutrofílico, y focos de necrosis fibrinoide en la pared de capilares dérmicos con infiltración neutrofílica de la misma. Hematoxilina-eosina, ×20.
Tras tratamiento con antibiótico tópico, las lesiones curaron en 3 semanas sin dejar cicatriz y sin presentar recurrencias.
Teniendo en cuenta el cuadro clínico y los hallazgos histopatológicos se estableció el diagnóstico de ampollas del coma.
Las ampollas del coma clínicamente se caracterizan por máculas o placas eritematovioláceas de tamaño variable, sobre las que se desarrollan ampollas tensas de contenido seroso o hemorrágico. Las lesiones aparecen típicamente en las primeras 24h tras la ingesta de los fármacos, y en las primeras 48-72h tras la pérdida del nivel de conciencia. Se localizan principalmente en zonas de presión, como dedos, codos, rodillas, maléolos o talones. Las lesiones son autolimitadas, curando en pocos días o semanas sin dejar cicatriz o atrofia, por lo que únicamente está indicado realizar tratamiento tópico para prevenir su sobreinfección2,8.
Su etiopatogenia se considera multifactorial, incluyendo la presión o fricción local, la hipoxia generalizada e isquemia tisular, la toxicidad directa de fármacos excretados en el sudor, mecanismos inmunológicos o cambios en el control vasomotor en los estados comatosos9.
Aunque las manifestaciones clínicas son suficientes para realizar el diagnóstico, el estudio histopatológico puede ser de gran ayuda. Los principales hallazgos son la presencia de ampollas subepidérmicas o intraepidérmicas, así como la necrosis de las glándulas ecrinas, principalmente de su porción secretora. Las células de ovillos y conductos ecrinos aparecen con citoplasma eosinofílico granular, núcleos fantasma y membranas irregulares. Sin embargo, debemos tener en cuenta que la ausencia de necrosis de las glándulas ecrinas no excluye el diagnóstico. Otros hallazgos pueden ser: exocitosis neutrofílica; necrosis dérmica, hipodérmica o de los anejos; infiltrados perivasculares de predominio neutrofílico; necrosis fibrinoide focal en la pared de pequeños capilares y arteriolas; o trombos en la luz de estructuras vasculares dérmicas10.
Es probable que el daño vascular observado en las ampollas del coma inducidas por fármacos sea más una consecuencia que un factor causal de estas. Además, la ausencia de infiltrado epidérmico y la presencia de trombos en los vasos dérmicos son dos hallazgos que se asocian principalmente con las ampollas del coma no inducidas por fármacos10.
En algunos casos publicados se ha realizado estudio de inmunofluorescencia directa, observándose una tinción intercelular parcheada de IgG, IgA y C3, así como depósitos de IgG, IgM y C3 en la pared de los vasos dérmicos y en los queratinocitos epidérmicos. Sin embargo, estos hallazgos son considerados como inespecíficos, más que como un mecanismo patogénico inmunológicamente mediado4,10.
Las ampollas del coma son, por tanto, un cuadro benigno y autolimitado que debemos sospechar en pacientes que, a las pocas horas de presentar una alteración en su nivel de conciencia, presentan ampollas en zonas de presión. Aunque su diagnóstico es fundamentalmente clínico, es necesaria una correcta correlación clínico-patológica para excluir otras dermatosis ampollosas.
Conflicto de interesesLos autores declaran no tener ningún conflicto de intereses.





