Sr. Director:
La Neurorradiología vascular intervencionista posee actualmente un gran número de procedimientos endovasculares cuyos efectos secundarios cutáneos están escasamente recogidos en la literatura y, habitualmente, están infradiagnosticados y son poco conocidos. La alopecia rectangular transitoria, considerada una forma peculiar de radiodermitis, es una entidad conocida por los dermatólogos desde hace escasamente 10 años, existiendo apenas una decena de casos publicados.
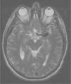
Aportamos el caso de un varón de 39 años, sin antecedentes de interés, que presentaba desde hacía dos meses cefalea frontal izquierda de carácter opresivo, recalcitrante a múltiples tratamientos y que se acompañaba de afectación retroocular homolateral, siendo el resto de la exploración neurológica normal. En la resonancia magnética nuclear se halló un aneurisma fusiforme gigante en la arteria cerebral media (fig. 1), por lo que se decidió realizar la embolización del mismo mediante un coil (espiral de platino) desprendible de Guglielmi tridimensional (Matrix2). El procedimiento angiográfico se llevó a cabo mediante dos sesiones separadas por 5 días, realizándose 12 series de imágenes de sustracción digital en la primera sesión y 20 en la segunda. El tiempo de fluoroscopia total fue de 90–100 minutos y la dosis total aproximada fue de 3Gy. Los principales planos utilizados fueron postero-anterior y oblicuo izquierdo-derecho. Al finalizar todo el procedimiento se consiguió formar un coágulo alrededor de la espiral que bloqueó la luz del aneurisma (figs. 2 y 3). El paciente mejoró de la cefalea, pero dos semanas más tarde acudió a la consulta de Dermatología por una placa de alopecia rectangular parieto-occipital izquierda sin signos de inflamación (fig. 4). No se observaron pelos en signos de exclamación y la maniobra de pilo-tracción fue intensamente positiva. El paciente evolucionó hacia una alopecia completa en dicha zona. Los pulsos arteriales superficiales bilaterales estaban conservados y los parámetros analíticos fueron estrictamente normales. Al estar localizada la placa en la zona de máxima radiación se relacionó con el procedimiento endovascular, por lo que no se pautó tratamiento y se citó mensualmente al paciente para comprobar la evolución. A los 5 meses se obtuvo la repoblación completa.
La alopecia postradioterapia de cabeza y cuello está ampliamente documentada en la literatura; sin embargo, la alopecia tras procedimientos diagnósticos y terapéuticos endovasculares está escasamente recogida e infradiagnosticada. Se considera una forma peculiar de radiodermitis debido a la gran sensibilidad de los folículos pilosos en anagén a la radiación1. El comienzo suele desarrollarse unas dos o tres semanas tras la embolización, siendo más frecuente en los casos de alteraciones vasculares complicadas, de gran tamaño 2 o de lesiones rotas3.
Puede aparecer como única manifestación de los efectos adversos ocasionados por la radiación, o puede acompañarse de otra sintomatología, fundamentalmente de tipo neurológico 4. Existen una serie de factores relacionados con una mayor probabilidad de aparición de esta alopecia5, como son: tiempo total de escopia (más de 100 minutos), dosis total recibida (alopecia cicatricial si supera los 7Gy, transitoria si oscila entre 3–5Gy), área predominante de radiación y factores biológicos (edad, nivel de oxígeno, densidad capilar, estado hormonal, factores genéticos, diferencias étnicas, etc.).
El diagnóstico diferencial debe realizarse fundamentalmente con la alopecia por presión6, debida a hipoxia y asociada con tiempos largos de anestesia general (más de 4 horas) y con la alopecia areata7.
Este tipo de alopecia no precisa tratamiento, ya que la repoblación se produce de forma espontánea en un tiempo medio de 12 a 14 semanas. La prevención únicamente podría realizarse mediante la monitorización de la dosis de radiación durante la angiografía. En este sentido se ha publicado recientemente un estudio8 sobre 103 pacientes, en el cual se comprobó que si los diferentes parámetros (dosis cutánea acumulada durante la radio-embolización, tiempo total de fluoroscopia, dosis total acumulada y número de series de imágenes de sustracción digital) no superaban un umbral determinado el porcentaje de efectos adversos era indetectable. Por lo tanto, sería importante que los Servicios de Radiología Intervencionista establecieran una serie precauciones para evitar estos efectos indeseables.
Este tipo de alopecia se describió por primera vez en el año 1994 en una revista de Radiología9, y no fue hasta el año 1998 cuando se publicó por primera vez en una revista dermatológica, Hautarzt, por el grupo del alemán Krasovec10. Un año después Tosti et al publicaron tres casos más7. Posteriormente se han publicado sólo una decena de casos en revistas de interés dermatológico, el último en el año 200811, por lo que parece que es una entidad mejor conocida por neurorradiólogos y neurocirujanos que por dermatólogos.
Podemos decir que la alopecia transitoria postembolización es un fenómeno infrecuente y escasamente conocido. Sin embargo, debido al auge de los procedimientos endovasculares mínimamente invasivos para el diagnóstico y tratamiento de alteraciones vasculares, es posible que aumente su incidencia. Por ello se debería informar a los pacientes e incluir esta patología en el listado de posibles complicaciones de esta técnica, tal y como figuran ya los efectos adversos locales, sistémicos y cerebrales.
Conflicto de intereses
Declaramos no tener ningún conflicto de intereses.






