Erosive and oozing lesions of the nipple, especially when unilateral, should raise suspicion over malignant neoplasms, mainly Paget's disease or breast cancer.
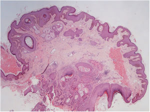
A 36-year-old woman presented with a scaly erosive plaque on the right nipple with serohematic irregular lasting more than a year. She was observed one week after childbirth. The lesion did not change during pregnancy and there was no history of exacerbation in relation with menstrual cycles before. There was also no family history of breast carcinoma. Physical examination revealed a friable and fissurated plaque on the nipple (Figure 1), without masses on the breasts and regional nodes. The biopsy of the nipple revealed a non-encapsulated tubular mass with glandular proliferation in dermis, lymphocytes on the stroma and no cytologic atypia (Figure 2). It was consistent with adenomatosis of the nipple.
It is an uncommon, benign proliferative process of lactiferous ducts of the nipple, most prevalent in middle-aged women. Clinically it is characterized by erosive, crusted erythema on the nipple with, occasionally, serous or hematic discharge. Complete surgical excision is curative but it is always necessary to exclude breast cancer in the differential diagnosis. These two entities can also rarely coexist in the same breast or in the contralateral, as reported by some authors.
Please cite this article as: Marcos-Pinto A, Soares-Almeida L, Borges-Costa J. Lesión erosiva y supurativa unilateral del pezón. Actas Dermosifiliogr. 2019;110:e14.




