Skin incision constitutes the first step in any surgery for the excision of cutaneous tumors and is performed using cutting instruments such as the conventional scalpel (cold scalpel) and the electrosurgical scalpel (electrocautery). While the former acts by applying a cutting force through a sharp blade, the latter generates an electrical current that, due to tissue resistance to its passage, produces heat and thermal tissue damage. In cut mode, the electrosurgical scalpel produces explosive vaporization of the tissue and its consequent fragmentation. Although the use of electrodes with an ultrafine tip allows a precise cut with slight hemostasis, the thermal dispersion generated may diffuse to adjacent tissue, making complete tumor removal more difficult, which is the primary endpoint in cancer surgery.1,2
With the aim of comparing the histological resection margins obtained after incision with electrocautery versus incision with a conventional scalpel, we designed a randomized study in which we included patients with tumors dermoscopically diagnosed as basal cell carcinoma (BCC) located on the trunk and extremities, candidates for surgical excision. These patients were consecutively randomized into two parallel intervention groups: incision with electrocautery (tungsten, ultrafine tip, Valleylab FT10, Medtronic®) in pure cut mode at 10W or conventional scalpel. Under local anesthesia and dissecting down to the hypodermis, the excisions were performed interchangeably by two dermatologic surgeons, delimiting the clinical surgical margins with a lateral margin of at least 3mm on both sides of the lesion.3 The surgical specimens were sent to the department of pathology, where, using digital pathology, a detailed analysis of the margins in H&E was performed. Demographic, clinical, and histological variables were collected. Histological resection margins were defined as the straight-line distance from the nearest tumor focus to the resection edge of the surgical specimen, including the closest margin in all cases. IBM SPSS Statistics 26 software was used for statistical analysis.
Of the 78 excised skin tumors, 64 tumors were diagnosed as BCC: 32 BCCs were excised using electrocautery and 32 BCCs using a conventional scalpel (in this group, 6 BCCs were excluded due to incorrect orientation during specimen sectioning). Demographic, clinical, and histological variables were evenly distributed between both groups (Table 1). The mean resection margin when the incision was performed with electrocautery was 1.74mm vs 2.13mm when performed with a conventional scalpel. All tumors were completely excised. No statistically significant differences were found between both groups (P=.068) at a significance level of 0.05 (Student's t test for independent samples). Other descriptive statistical data are summarized in the boxplot diagram shown in Fig. 1.
Demographic, clinical, and histological variables of both intervention groups.
| Conventional scalpel | Electrosurgical scalpel | |
|---|---|---|
| F (%) | F (%) | |
| Sex | ||
| Male | 12 (46.2%) | 18 (56.3%) |
| Female | 14 (53.8%) | 14 (43.8%) |
| Age (years) | ||
| Mean (SD) | 61 (9) | 63 (10) |
| Location | ||
| Posterior trunk | 14 (53.8%) | 11 (34.4%) |
| Anterior trunk | 6 (23.1%) | 12 (37.5%) |
| Upper limb | 4 (15.4%) | 8 (25.0%) |
| Lower limb | 2 (7.7%) | 1 (3.1%) |
| Phototype | ||
| II | 10 (38.5%) | 18 (56.3%) |
| III | 16 (61.5%) | 14 (43.8%) |
| Tumor size (mm) | ||
| 0–10 | 14 (53.8%) | 15 (46.9%) |
| 11–20 | 11 (42.3%) | 14 (43.8%) |
| 21–30 | 1 (3.8%) | 3 (9.4%) |
| Surgeon | ||
| Surgeon 1 | 18 (69.2%) | 21 (65.6%) |
| Surgeon 2 | 8 (30.8%) | 11 (34.4%) |
| BCC histological variant | ||
| Nodular BCC | 17 (65.4%) | 17 (65.6%) |
| Superficial BCC | 6 (23.1%) | 7 (21.9%) |
| Infiltrative BCC | 2 (7.7%) | 4 (12.5%) |
| Basosquamous BCC | 1 (3.8%) | 0 (0.0%) |
| Distance to the lateral margin (mm) | ||
| Mean (SD) | 2.13 (0.87) | 1.74 (0.73) |
| Total | 26 | 32 |
F, absolute frequency; %, percentage; SD, standard deviation; BCC, basal cell carcinoma.
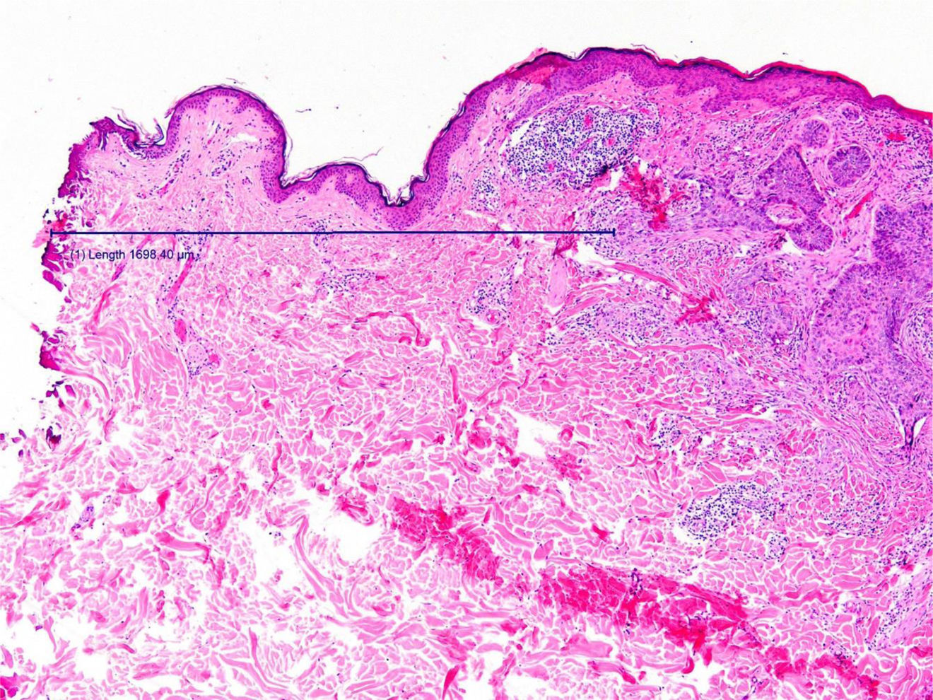
Former studies have compared these two cutting instruments according to different parameters such as speed, safety, and aesthetic outcome.4 However, studies comparing these instruments in the excision of skin tumors and their impact on resection margins were lacking. In our study, the resection margin was on average approximately 0.4mm closer to the carcinoma when the incision was performed with electrocautery. This difference is expected given the intrinsic mechanism of action of electrocautery. Histologically, tissue damage due to thermal dispersion is observed as coagulative necrosis in the form of an irregular eosinophilic band in the tissue (Fig. 2), whose thickness was not quantified as this was not the objective of the study.5 However, despite this artifact, no statistically significant differences were found in the resection margins between the two procedures. Therefore, although the use of electrocautery as a cutting instrument in the epidermal–dermal plane is often argued against because of the artifacts that thermal tissue damage may produce in the tissue, it has been observed that the application of recommended safety margins, rather than the cutting instrument per se, is what may guarantee a detailed histopathological analysis.
Image of the surgical specimen resected with an electrosurgical scalpel after H&E staining. The line represents the distance between the lateral edge of the tumor and the lateral resection edge, that is, the resection margin. Of the two resection margins resulting from transverse sectioning of the surgical specimen, only the closest margin was included in all cases. Note the coagulative necrosis in the form of an irregular eosinophilic band generated by the ultrafine-tip electrosurgical scalpel.
We note that, despite prior marking of the margins, the mean histological resection margin was <3mm in both groups. This discrepancy could be explained by the well-known phenomenon of surgical specimen shrinkage from the time of excision until fixation in formalin.6 Additionally, in some cases, the infiltrative variant of BCC may expand deeply within the dermis without dermoscopic expression.7
Among the strengths of the study, we highlight the exclusive participation of two dermatologic surgeons, reducing inter-operator variability. Among the limitations, we highlight the absence of a sample size calculation prior to the study.
In conclusion, incision with electrocautery allowed the excision of BCC while maintaining adequate histological resection margins, without hindering their histopathological analysis compared with incision with a conventional scalpel. Additional studies are required on tumors located in high-risk areas or areas with greater cosmetic implications to confirm the usefulness of this surgical instrument in dermatologic surgery.
Conflict of interestThe authors declare no conflict of interest.




