La dermatosis discoide facial (DDF) se caracteriza por la presencia de pápulo-placas principalmente faciales. Se ha relacionado con la psoriasis, la dermatitis seborreica y la pitiriasis rubra pilaris. Este estudio retrospectivo y multicéntrico incluyó a 13 pacientes diagnosticados de DDF en España (2014-2022). Se recopilaron datos demográficos, clínicos e histopatológicos, así como resultados del tratamiento.
La DDF se manifiesta con pápulas y/o placas eritemato-anaranjadas, descamativas, numulares, localizadas predominantemente en la región facial. El análisis histopatológico reveló un patrón de hiperplasia psoriasiforme con paraqueratosis confluyente, sin neutrófilos en las capas epidérmicas.
Este trabajo proporciona información sobre las características principales de la DDF en una cohorte mayoritariamente caucásica. La presencia de signos clínicos distintivos y hallazgos histológicos constantes resalta su singularidad. No obstante, la variabilidad histológica y la persistencia de las lesiones, a pesar de diversos tratamientos tópicos, subrayan la necesidad de investigaciones adicionales para comprender su patogénesis y desarrollar terapias efectivas.
Facial discoid dermatosis (FDD) is a condition characterized by papules-plaques primarily affecting the face. FDD has been associated with psoriasis, seborrheic dermatitis, and pityriasis rubra pilaris. We conducted a retrospective multicenter study with 13 patients diagnosed with FDD in Spain (2014-2022). Patient demographics, clinical presentations, histopathological findings, and treatment outcomes were collected.
FDD shows as erythematous-orange, nummular papules and/or plaques with dry scales that primarily affect the facial region. Histopathological analysis revealed a consistent pattern of psoriasiform hyperplasia with confluent parakeratosis, without neutrophils within the epidermal layers.
This study provides essential insights into the clinical and histopathological features of FDD within a predominantly Caucasian patient cohort. The presence of distinct clinical features and consistent histological findings underscores the uniqueness of FDD. However, the variability in histological features and persistence of lesions despite various treatments highlight the need for further research to better understand the pathogenesis of FDD and develop effective therapies.
La dermatosis discoide facial (DDF) es una entidad descrita por primera vez por Ko et al. en 2010. Aunque su etiología sigue siendo desconocida, se ha postulado una relación con la psoriasis, la dermatitis seborreica y la pitiriasis rubra pilaris (PRP)1. Desde el punto de vista clínico, la DDF se caracteriza por la presencia de pápulas y/o placas, eritematosas-anaranjadas, numulares y con presencia de escamas secas en la superficie, que afectan principalmente la región facial, aunque también se ha descrito afectación en el cuello2. Histológicamente, las biopsias de DDF revelan paraqueratosis, acantosis psoriasiforme leve e infiltrado linfocitario perivascular; algunos autores consideran este trastorno como una variante de la PRP basándose en algunas de sus características histopatológicas1,3.
Los rasgos distintivos clínicos son su falta de respuesta a tratamientos tópicos y un curso crónico de la enfermedad1–4. Antes de establecer un diagnóstico de DDF, es esencial excluir otras afecciones que presenten características clínicas e histológicas similares.
Presentamos una serie de casos de DDF con el objetivo de proporcionar una comprensión integral de las características clínicas e histológicas de la DDF, principalmente en individuos de ascendencia caucásica.
Material y métodosSe llevó a cabo un estudio retrospectivo multicéntrico que incluyó a 13 pacientes de 4 centros españoles diagnosticados con DDF entre 2014 y 2022.
El criterio de inclusión fue pacientes con diagnóstico final de DDF con base en criterios clínicos y/o histológicos.
Se realizó una recopilación exhaustiva de variables demográficas y clínicas, que incluyeron: género, edad, presentación clínica cutánea (incluyendo inicio de la enfermedad y localización de las lesiones), análisis de laboratorio, hallazgos histopatológicos, tratamientos y evolución de la enfermedad.
ResultadosSe incluyeron un total de 13 pacientes, con predominio femenino (11/13; 85%). Diez pacientes eran de etnia caucásica, mientras que 2 eran de ascendencia latinoamericana y uno de origen afrocaribeño. La edad media en el momento del diagnóstico fue de 33,2 años (rango: 18-46), y una proporción elevada (76,9%; 10/13) presentó lesiones restringidas a la cara, mientras que 3 pacientes presentaron además lesiones en cuello (2/13) y tronco superior (1/13).
Desde un punto de vista clínico, la mayoría de los pacientes presentaron pápulas y/o placas eritematosas-anaranjadas, descamativas y numulares, a excepción del paciente de origen afrocaribeño, cuya presentación clínica fue diferente, con tonalidad oscura y acentuación folicular, reforzando así la sospecha clínica de lupus eritematoso (fig. 1).
Características clínicas. a-f. Se aprecian numerosas pápulas-placas de morfología numular, eritematosas-anaranjadas, con descamación seca en la superficie, principalmente en mejillas y frente, en los pacientes 2, 3, 4, 9, 11 y 13, respectivamente. Presencia de lesiones cervicales en el paciente 3 (b).
Entre las pruebas complementarias realizadas en todos los pacientes, se incluyó análisis sanguíneo con perfil general y de autoinmunidad (ANA, anti-ADN, Ro, La, Sm, RNP y niveles de complemento), sin alteraciones significativas. Las pruebas para anticuerpos anti-Dsg1 y anti-Dsg3 realizadas en 3 pacientes, aquellos con acantólisis en la histología, fueron negativas.
Además, 3 pacientes presentaban antecedentes personales de dermatitis atópica (sin eccema activo) y 2 tenían hipotiroidismo.
Los diagnósticos diferenciales clínicos/histopatológicos más frecuentemente considerados fueron eccema, lupus eritematoso, dermatofitosis, psoriasis, dermatitis seborreica, pénfigo superficial y PRP.
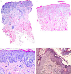
La evaluación histopatológica se realizó en 10 casos de lesiones faciales mediante biopsias en sacabocados de 3mm. En ellas se observó una epidermis con características de hiperplasia regular/psoriasiforme (7/10) con paraqueratosis confluyente (9/10), pero con ausencia de neutrófilos en las capas epidérmicas. Se observó infiltrado inflamatorio linfohistiocitario perivascular (9/10) y áreas de espongiosis (8/10) de manera constante. La espongiosis era leve, afectando principalmente las capas inferiores y medias de la epidermis, excepto en un caso donde fue notablemente pronunciada. En 2 casos adicionales se asoció con exocitosis linfocítica.
Sin embargo, los tapones foliculares dilatados solo se observaron en 5 de las 10 biopsias (aunque no fue posible observar folículos en todas las biopsias), y se encontró acantólisis superficial focal en 3 biopsias (fig. 2); pero la inmunofluorescencia indirecta y directa realizada en estos casos fue negativa, descartando enfermedad ampollosa.
Características histológicas. a. Biopsia de una de las lesiones faciales, presencia de hiperplasia regular/psoriasiforme asociado a paraqueratosis confluyente y estructuras foliculares dilatas. Destaca la ausencia de neutrófilos dentro de las capas epidérmicas. Además, se aprecian infiltrados linfohistiocitarios perivasculares y leve atrofia de glándulas sebáceas (paciente 2, H&E, vista panorámica). b. Biopsia obtenida del paciente 4, se pueden observar epidermis con acantosis, paraqueratosis y focos de espongiosis más acentuados a nivel del epitelio folicular (H&E, ×40). c. La tinción con azul alcián revela la presencia de mucina en la dermis media (paciente 5, ×20). d. Acantólisis subcórnea en la muestra de biopsia del paciente 10 (asterisco), acompañado de hiperpigmentación de la basal, macrófagos con pigmento a nivel dérmico y un leve infiltrado linfocítico perivascular. Presencia de Demodex en orificio folicular (H&E, ×20).
Además, aunque la tinción con azul alcián mostró la presencia de mucina en la dermis reticular media en 2 de las 10 biopsias, no se observaron otros hallazgos compatibles con el diagnóstico de lupus eritematoso (degeneración hidrópica de la capa basal, engrosamiento de la membrana basal –PAS positivo– o infiltrado inflamatorio linfoplasmocitario extenso).
Se observó atrofia parcial de las glándulas sebáceas en la biopsia del paciente 2 (fig. 2a), sin que se detectara de manera significativa en las demás biopsias estudiadas.
Es destacable que las lesiones persistieron a pesar de múltiples enfoques terapéuticos, con un promedio de 3,38 tratamientos por paciente. Los tratamientos más empleados fueron glucocorticoides tópicos (13/13), inhibidores de la calcineurina (9/13), retinoides (7/13) y antifúngicos tópicos (5/13). La duración del tratamiento resultó difícil de estimar; sin embargo, en todos los casos, los tratamientos se mantuvieron durante un período mínimo de al menos un mes. Además, se emplearon otros tratamientos sistémicos con duraciones variables, que proporcionaron resultados igualmente insatisfactorios: hidroxicloroquina, ivermectina, azatioprina, fototerapia o tetraciclinas.
El período de seguimiento fue variable, oscilando entre los 10 meses y los 10 años (mediana: 15 meses) (ver material suplementario).
DiscusiónLa presentación clínica de la DDF en nuestra serie es similar a descripciones previas (pápulo-placas eritematosas-anaranjadas, descamativas y numulares que afectan a la región facial)1,4. Sin embargo, existe una variabilidad histológica sustancial asociada con esta enfermedad, lo que ha llevado a un debate continuo sobre su clasificación y relación con otros trastornos dermatológicos3,5,6.
La presencia de hiperplasia psoriasiforme con paraqueratosis confluyente y ausencia de neutrófilos parece ser concordante con casos reportados en la literatura1. Sin embargo, la presencia de áreas de espongiosis se observó con mayor frecuencia en nuestra cohorte en comparación con descripciones previas (70 vs. 43%, respectivamente), mientras que la ocurrencia de tapones foliculares dilatados fue menos frecuente en comparación con lo reportado en la literatura (50 vs. 71%, respectivamente)1,7.
Además, nuestros hallazgos muestran una menor prevalencia de acantólisis en pacientes occidentales con DDF en comparación con las poblaciones asiáticas, ya que los 8 casos en los que se describe acantólisis superficial pertenecen a la cohorte de población asiática reportada por Gan et al.3.
Asimismo, la presencia de mucina en la dermis reticular media, no descrita previamente, no parece descartar el diagnóstico de DDF8.
La eficacia de los tratamientos tópicos en la DDF es, a día de hoy, limitada, con pocos casos reportados que demuestren una mejora significativa después de varias semanas de tratamiento tópico (6-8 semanas)9–11. Sin embargo, Rypka et al. informaron el primer caso de DDF que mostró una respuesta favorable a ustekinumab después de solo 6 semanas de tratamiento2.
La presencia de atrofia a nivel de las glándulas sebáceas en la histología de las lesiones de DDF se ha descrito previamente, evidenciando una asociación de esta entidad con la psoriasis o la dermatitis seborreica6. Esta hipótesis explicaría la respuesta favorable al tratamiento con ustekinumab a través de un perfil predominante de células T efectoras Th17 en las lesiones de DDF, característico de la psoriasis. Además, esta hipótesis no excluiría la posibilidad de que la DDF sea un subtipo de PRP, ya que esta dolencia también ha mostrado respuesta a este enfoque terapéutico12,13.
Además, está bien establecido que la acantólisis puede observarse en las lesiones de PRP, aunque no en la psoriasis o la dermatitis seborreica. Por lo tanto, nuestro hallazgo de acantólisis en las lesiones de DDF podría ser otra evidencia de apoyo para considerar esta entidad como una variante de PRP14.
Hasta la fecha, nuestra cohorte de casos de DDF constituye la serie más extensa en la literatura e incluye un número sustancial de pacientes caucásicos poco representados en series previas. Basándonos en esta serie, concluimos que, desde el punto de vista clínico, la DDF se caracteriza por rasgos distintivos como pápulo-placas eritematosas-anaranjadas y numulares con escamas secas en la superficie, que afectan predominantemente la región facial. Además, un patrón histológico de hiperplasia psoriasiforme con paraqueratosis confluyente, sin neutrófilos, parece ser el hallazgo histopatológico predominante, mientras que la acantólisis superficial o el tapón folicular pueden ser características adicionales, aunque menos específicas, al menos en la población caucásica.
Enfatizamos la importancia de tener en cuenta la presentación clínica, los hallazgos histológicos y la respuesta terapéutica en conjunto para un diagnóstico preciso de esta entidad.
Aún se necesitan más trabajos de investigación para comprender mejor la patogénesis y clasificación de la DDF, así como sus diferentes opciones de tratamiento.
Conflicto de interesesLos autores declaran no tener ningún conflicto de intereses.





